Skip to main content

Melanophilin Antibody (OTI6E8)

Novus Biologicals, part of Bio-Techne | Catalog # NBP2-45883

Novus Biologicals, part of Bio-Techne
Catalog #
Availability
Size / Price
Qty
Loading...
NBP2-45883

Key Product Details

Species Reactivity

Human

Applications

Immunohistochemistry, Immunohistochemistry-Paraffin, Western Blot

Label

Unconjugated

Antibody Source

Monoclonal Mouse IgG2A Clone # OTI6E8

Concentration

1 mg/ml

Product Specifications

Immunogen

Human recombinant protein fragment corresponding to amino acids 295-600 of human MLPH(NP_077006) produced in E.coli.

Clonality

Monoclonal

Host

Mouse

Isotype

IgG2A

Theoretical MW

65.8 kDa.
Disclaimer note: The observed molecular weight of the protein may vary from the listed predicted molecular weight due to post translational modifications, post translation cleavages, relative charges, and other experimental factors.

Description

Novus Biologicals Mouse Melanophilin Antibody (OTI6E8) (NBP2-45883) is a monoclonal antibody validated for use in IHC and WB. All Novus Biologicals antibodies are covered by our 100% guarantee.

Scientific Data Images for Melanophilin Antibody (OTI6E8)

Western Blot: Melanophilin Antibody (OTI6E8) [NBP2-45883]

Western Blot: Melanophilin Antibody (OTI6E8) [NBP2-45883]

Western Blot: Melanophilin Antibody (6E8) [NBP2-45883] - Analysis of HEK293T cells were transfected with the pCMV6-ENTRY control (Left lane) or pCMV6-ENTRY Melanophilin.
Immunohistochemistry: Melanophilin Antibody (OTI6E8) [NBP2-45883]

Immunohistochemistry: Melanophilin Antibody (OTI6E8) [NBP2-45883]

Immunohistochemistry: Melanophilin Antibody (OTI6E8) [NBP2-45883] - Melanophilin Antibody (6E8) [NBP2-45883] - Analysis of Carcinoma of Human prostate tissue using MLPH mouse monoclonal antibody.(Heat-induced epitope retrieval by 1mM EDTA in 10mM Tris buffer (pH8.5) at 120C for 3 min)(1:150)
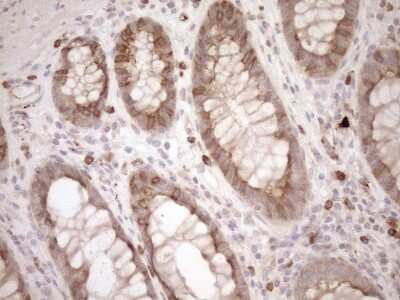
Immunohistochemistry: Melanophilin Antibody (OTI6E8) [NBP2-45883]

Immunohistochemistry: Melanophilin Antibody (OTI6E8) [NBP2-45883]

Immunohistochemistry: Melanophilin Antibody (6E8) [NBP2-45883] - Analysis of Human colon tissue. (Heat-induced epitope retrieval by 1mM EDTA in 10mM Tris buffer (pH8.5) at 120C for 3 min)(1:150)

Applications for Melanophilin Antibody (OTI6E8)

Application
Recommended Usage

Immunohistochemistry

1:150

Western Blot

1:2000

Formulation, Preparation, and Storage

Purification

Immunogen affinity purified

Formulation

PBS (pH 7.3), 1.0% BSA and 50% Glycerol

Preservative

0.02% Sodium Azide

Concentration

1 mg/ml

Shipping

The product is shipped with polar packs. Upon receipt, store it immediately at the temperature recommended below.

Stability & Storage

Store at -20C. Avoid freeze-thaw cycles.

Background: Melanophilin

Melanophilin is a Rab effector protein involved in melanosome transport. It serves as a link between melanosome-bound RAB27A and the motor protein MYO5A.

Alternate Names

exophilin-3, l(1)-3Rk, l1Rk3, ln, melanophilin, MGC2771, MGC59733, SLAC2A, Slac-2a, SLAC2-A, Slp homolog lacking C2 domains a, Synaptotagmin-like protein 2a

Gene Symbol

MLPH

Additional Melanophilin Products

Product Documents for Melanophilin Antibody (OTI6E8)

Certificate of Analysis

To download a Certificate of Analysis, please enter a lot number in the search box below.

Product Specific Notices for Melanophilin Antibody (OTI6E8)

This product is for research use only and is not approved for use in humans or in clinical diagnosis. Primary Antibodies are guaranteed for 1 year from date of receipt.

Loading...
Loading...
Loading...
Loading...