Melanoma Associated Antigen (PNL2) Antibody (PNL2)
Novus Biologicals, part of Bio-Techne | Catalog # NBP2-45284
Conjugate
Catalog #
Forumulation
Catalog #
Key Product Details
Species Reactivity
Human, Mouse, Canine
Applications
Immunohistochemistry, Immunohistochemistry-Paraffin, Immunofluorescence, Immunocytochemistry/ Immunofluorescence
Label
Unconjugated
Antibody Source
Monoclonal Mouse IgG1 kappa Clone # PNL2
Concentration
0.2 mg/ml
Product Specifications
Immunogen
Melanocyte antigen
Localization
Cytoplasmic
Specificity
Anti-PNL2 is a novel monoclonal antibody, which has recently been introduced as an immunohistochemical reagent to stain melanocytes and tumors derived therefrom. The antigen recognized by PNL2 is different from Melan A and gp100. Its epitope is not destroyed by digestion with neuraminidase i.e. its epitope id not glycosylated. Anti-PNL2 may be most useful because of its high sensitivity for metastatic melanoma (87%), as opposed to 76% for anti-HMB45 and 82% for anti-MART-1. Anti-PNL2 labels intra-epidermal nevi while the dermal component of compound nevi are largely non-reactive with anti-PNL2. Antibodies against PNL2, MART-1 (Melan A) and HMB45 stain most clear cell sarcoma cells and a few cells in angio-myolipomas and lymphangioleiomyomatosis. Anti-PNL2 is a useful antibody for the identification of melanomas and clear cell sarcomas. Differential diagnosis is aided by the results from a panel of antibodies, including antibodies against HMB45, MART-1, tyrosinase, and MiTF.
Clonality
Monoclonal
Host
Mouse
Isotype
IgG1 kappa
Description
200ug/ml of antibody purified from Bioreactor Concentrate by Protein A or G. Prepared in 10 mM PBS with 0.05% BSA & 0.05% azide. Also available WITHOUT BSA & azide at 1.0 mg/ml. (NBP3-11561)
Antibody with azide - store at 2 to 8C. Antibody without azide - store at -20 to -80C.
Antibody with azide - store at 2 to 8C. Antibody without azide - store at -20 to -80C.
Scientific Data Images for Melanoma Associated Antigen (PNL2) Antibody (PNL2)
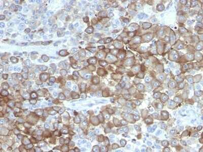
Immunohistochemistry-Paraffin: Melanoma Associated Antigen (PNL2) Antibody (PNL2) [NBP2-45284]
Immunohistochemistry-Paraffin: Melanoma Associated Antigen (PNL2) Antibody (PNL2) [NBP2-45284] - Human Melanoma stained with PNL2 Monoclonal Antibody.Applications for Melanoma Associated Antigen (PNL2) Antibody (PNL2)
Application
Recommended Usage
Immunocytochemistry/ Immunofluorescence
1-2 ug/ml
Immunofluorescence
0.5 - 1.0 ug/ml
Immunohistochemistry-Paraffin
1-2 ug/ml
Application Notes
Immunohistochemistry (Formalin-fixed): 1-2ug/ml for 30 minutes at RT. Staining of formalin-fixed tissues requires heating tissue sections in 10mM Tris with 1mM EDTA, pH 9.0, for 45 min at 95C followed by cooling at RT for 20 minutes.
Optimal dilution for a specific application should be determined.
Optimal dilution for a specific application should be determined.
Formulation, Preparation, and Storage
Purification
Protein A or G purified
Formulation
10 mM PBS with 0.05% BSA
Preservative
0.05% Sodium Azide
Concentration
0.2 mg/ml
Shipping
The product is shipped with polar packs. Upon receipt, store it immediately at the temperature recommended below.
Stability & Storage
Store at 4C.
Background: Melanoma Associated Antigen (PNL2)
Additional Melanoma Associated Antigen (PNL2) Products
Product Documents for Melanoma Associated Antigen (PNL2) Antibody (PNL2)
Product Specific Notices for Melanoma Associated Antigen (PNL2) Antibody (PNL2)
This product is for research use only and is not approved for use in humans or in clinical diagnosis. Primary Antibodies are guaranteed for 1 year from date of receipt.
Loading...
Loading...
Loading...
Loading...