Melan-A/MART-1 Antibody (rMLANA/788)
Novus Biologicals, part of Bio-Techne | Catalog # NBP2-53293
Conjugate
Catalog #
Forumulation
Catalog #
Key Product Details
Species Reactivity
Human, Mouse, Rat, Canine
Applications
Immunohistochemistry, Immunohistochemistry-Paraffin, Western Blot
Label
Unconjugated
Antibody Source
Monoclonal Mouse IgG1 kappa Clone # rMLANA/788
Concentration
0.2 mg/ml
Product Specifications
Immunogen
Recombinant full-length Melan-A/MART-1 protein (Uniprot: Q16655)
Localization
Cytoplasmic
Specificity
This antibody recognizes a protein doublet of 20-22kDa, identified as MART-1 (Melanoma Antigen Recognized by T cells 1) or Melan-A. MART-1 is a newly identified melanocyte differentiation antigen recognized by autologous cytotoxic T lymphocytes. Seven other melanoma associated antigens recognized by autologous cytotoxic T cells include MAGE-1, MAGE-3, tyrosinase, gp100, gp75, BAGE-1, and GAGE-1. Subcellular fractionation shows that MART-1 is present in melanosomes and endoplasmic reticulum. This monoclonal antibody labels melanomas and other tumors showing melanocytic differentiation. It is also a useful positive-marker for angiomyolipomas. It does not stain tumor cells of epithelial, lymphoid, glial, or mesenchymal origin.
Marker
Melanoma Marker
Clonality
Monoclonal
Host
Mouse
Isotype
IgG1 kappa
Description
200ug/ml of antibody purified from Bioreactor Concentrate by Protein A or G. Prepared in 10 mM PBS with 0.05% BSA & 0.05% azide. Also available WITHOUT BSA & azide at 1.0 mg/ml. (NBP2-54444)
Antibody with azide - store at 2 to 8C. Antibody without azide - store at -20 to -80C.
Antibody with azide - store at 2 to 8C. Antibody without azide - store at -20 to -80C.
Scientific Data Images for Melan-A/MART-1 Antibody (rMLANA/788)
Western Blot: Melan-A/MART-1 Antibody (rMLANA/788) [NBP2-53293]
Western Blot: Melan-A/MART-1 Antibody (rMLANA/788) [NBP2-53293] - Western Blot Analysis of COLO38 cell lysate using Melan-A/MART-1 Mouse Recombinant Monoclonal Antibody (rMLANA/788).Immunohistochemistry-Paraffin: Melan-A/MART-1 Antibody (rMLANA/788) [NBP2-53293]
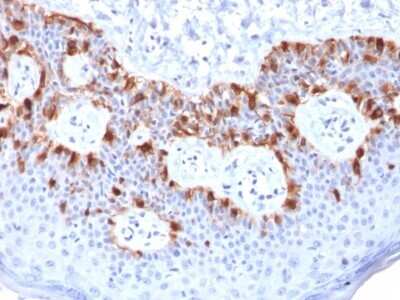
Immunohistochemistry-Paraffin: Melan-A/MART-1 Antibody (rMLANA/788) [NBP2-53293] - Formalin-fixed, paraffin-embedded human Melanoma stained with Melan-A Recombinant Mouse Monoclonal Antibody (rMLANA/788).Applications for Melan-A/MART-1 Antibody (rMLANA/788)
Application
Recommended Usage
Immunohistochemistry-Paraffin
1-2 ug/ml
Western Blot
1-2 ug/ml
Application Notes
Immunohistochemistry (Formalin-fixed): 1-2ug/ml for 30 minutes at RT. Staining of formalin-fixed tissues requires heating tissue sections in 10mM Tris with 1mM EDTA, pH 9.0, for 45 min at 95C followed by cooling at RT for 20 minutes.
Optimal dilution for a specific application should be determined.
Optimal dilution for a specific application should be determined.
Formulation, Preparation, and Storage
Purification
Protein A or G purified
Formulation
10 mM PBS with 0.05% BSA
Preservative
0.05% Sodium Azide
Concentration
0.2 mg/ml
Shipping
The product is shipped with polar packs. Upon receipt, store it immediately at the temperature recommended below.
Stability & Storage
Store at 4C.
Background: Melan-A/MART-1
Alternate Names
Antigen LB39-AA, Antigen SK29-AA, MART-1, MelanA, MLANA
Gene Symbol
MLANA
UniProt
Additional Melan-A/MART-1 Products
Product Documents for Melan-A/MART-1 Antibody (rMLANA/788)
Product Specific Notices for Melan-A/MART-1 Antibody (rMLANA/788)
This product is for research use only and is not approved for use in humans or in clinical diagnosis. Primary Antibodies are guaranteed for 1 year from date of receipt.
Loading...
Loading...
Loading...
Loading...