Skip to main content

Melan-A/MART-1 Antibody (MLANA/1761R) - Azide and BSA Free

Novus Biologicals, part of Bio-Techne | Catalog # NBP2-54568

Recombinant Monoclonal Antibody.
Novus Biologicals, part of Bio-Techne

Key Product Details

Species Reactivity

Human, Mouse, Rat

Applications

Immunohistochemistry, Immunohistochemistry-Paraffin, Western Blot, CyTOF-ready

Label

Unconjugated

Antibody Source

Recombinant Monoclonal Rabbit IgG Clone # MLANA/1761R

Format

Azide and BSA Free

Concentration

1 mg/ml

Product Specifications

Immunogen

Recombinant human full-length Melan-A/MART-1 protein (Uniprot: Q16655)

Localization

Cytoplasmic

Specificity

This antibody recognizes a protein doublet of 20-22kDa, identified as MART-1 (Melanoma Antigen Recognized by T cells 1) or Melan-A. MART-1 is a newly identified melanocyte differentiation antigen recognized by autologous cytotoxic T lymphocytes. Seven other melanoma associated antigens recognized by autologous cytotoxic T cells include MAGE-1, MAGE-3, tyrosinase, gp100, gp75, BAGE-1, and GAGE-1. Subcellular fractionation shows that MART-1 is present in melanosomes and endoplasmic reticulum. This monoclonal antibody labels melanomas and other tumors showing melanocytic differentiation. It is also a useful positive-marker for angiomyolipomas. It does not stain tumor cells of epithelial, lymphoid, glial, or mesenchymal origin.

Marker

Melanoma Marker

Clonality

Monoclonal

Host

Rabbit

Isotype

IgG

Description

1.0 mg/ml of antibody purified by Protein A. Prepared in 10mM PBS WITHOUT BSA & azide. Also available at 200 ug/ml WITH BSA & azide (NBP2-53294).

Antibody with azide - store at 2 to 8C. Antibody without azide - store at -20 to -80C.

Scientific Data Images for Melan-A/MART-1 Antibody (MLANA/1761R) - Azide and BSA Free

Western Blot: Melan-A/MART-1 Antibody (MLANA/1761R)Azide and BSA Free [NBP2-54568]

Western Blot: Melan-A/MART-1 Antibody (MLANA/1761R)Azide and BSA Free [NBP2-54568]

Western Blot: Melan-A/MART-1 Antibody (MLANA/1761R) - Azide and BSA Free [NBP2-54568] - Western Blot Analysis of COLO 38 cell lysate using Melan-A/MART-1 antibody (MLANA/1761R).
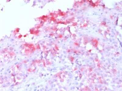
Immunohistochemistry-Paraffin: Melan-A/MART-1 Antibody (MLANA/1761R) - Azide and BSA Free [NBP2-54568]

Immunohistochemistry-Paraffin: Melan-A/MART-1 Antibody (MLANA/1761R) - Azide and BSA Free [NBP2-54568]

Immunohistochemistry-Paraffin: Melan-A/MART-1 Antibody (MLANA/1761R) - Azide and BSA Free [NBP2-54568] - Formalin-fixed, paraffin-embedded Human Melanoma stained with MART-1 Recombinant Rabbit Monoclonal Antibody (MLANA/1761R)
Immunohistochemistry-Paraffin: Melan-A/MART-1 Antibody (MLANA/1761R) - Azide and BSA Free [NBP2-54568]

Immunohistochemistry-Paraffin: Melan-A/MART-1 Antibody (MLANA/1761R) - Azide and BSA Free [NBP2-54568]

Immunohistochemistry-Paraffin: Melan-A/MART-1 Antibody (MLANA/1761R) - Azide and BSA Free [NBP2-54568] - Formalin-fixed, paraffin-embedded Human Skin stained with MART-1 Recombinant Rabbit Monoclonal Antibody (MLANA/1761R)

Applications for Melan-A/MART-1 Antibody (MLANA/1761R) - Azide and BSA Free

Application
Recommended Usage

Immunohistochemistry-Paraffin

0.5 - 1.0 ug/ml

Western Blot

0.5 - 1.0 ug/ml
Application Notes
Immunohistochemistry (Formalin-fixed): 1-2ug/ml for 30 minutes at RT. Staining of formalin-fixed tissues requires heating tissue sections in 10mM Tris with 1mM EDTA, pH 9.0, for 45 min at 95C followed by cooling at RT for 20 minutes.
Optimal dilution for a specific application should be determined.

Formulation, Preparation, and Storage

Purification

Protein A purified

Formulation

10 mM PBS

Format

Azide and BSA Free

Preservative

No Preservative

Concentration

1 mg/ml

Shipping

The product is shipped with polar packs. Upon receipt, store it immediately at the temperature recommended below.

Stability & Storage

Store at -20 to -80C. Avoid freeze-thaw cycles.

Background: Melan-A/MART-1

MART-1 (Melanoma Antigen Recognized by T cells 1) or Melan-A1 is a newly identified melanocyte differentiation antigen recognized by autologous cytotoxic T lymphocytes. Seven other melanoma associated antigens recognized by autologous cytotoxic T cells include MAGE-1, MAGE-3, tyrosinase, gp100, gp75, BAGE-1, and GAGE-1. Subcellular fractionation shows that MART-1 is present in melanosomes and endoplasmic reticulum.

Alternate Names

Antigen LB39-AA, Antigen SK29-AA, MART-1, MelanA, MLANA

Gene Symbol

MLANA

Additional Melan-A/MART-1 Products

Product Documents for Melan-A/MART-1 Antibody (MLANA/1761R) - Azide and BSA Free

Certificate of Analysis

To download a Certificate of Analysis, please enter a lot number in the search box below.

Product Specific Notices for Melan-A/MART-1 Antibody (MLANA/1761R) - Azide and BSA Free

This product is for research use only and is not approved for use in humans or in clinical diagnosis. Primary Antibodies are guaranteed for 1 year from date of receipt.

Loading...
Loading...
Loading...
Loading...