Skip to main content

Melan-A/MART-1 Antibody (CL12864) - Azide and BSA Free

Novus Biologicals, part of Bio-Techne | Catalog # NBP3-43932

Novus Biologicals, part of Bio-Techne

Key Product Details

Validated by

Orthogonal Validation

Species Reactivity

Human

Applications

Immunohistochemistry-Paraffin, Western Blot, Immunocytochemistry/ Immunofluorescence

Label

Unconjugated

Antibody Source

Monoclonal Mouse IgG1 Clone # CL12864

Format

Azide and BSA Free

Concentration

LYOPH mg/ml

Product Specifications

Immunogen

This antibody was generated using a recombinant protein sequence of Q16655, with the exact immunogen sequence remaining proprietary.

Clonality

Monoclonal

Host

Mouse

Isotype

IgG1

Description

Novus Biologicals Mouse Melan-A/MART-1 Antibody (CL12864) - Azide and BSA Free (NBP3-18562) is a monoclonal antibody validated for use in IHC, WB and ICC/IF. All Novus Biologicals antibodies are covered by our 100% guarantee.

Scientific Data Images for Melan-A/MART-1 Antibody (CL12864) - Azide and BSA Free

Melan-A/MART-1 Antibody (CL12864) - Azide and BSA Free Immunohistochemistry-Paraffin: Melan-A/MART-1 Antibody [NBP3-43932]

Immunohistochemistry-Paraffin: Melan-A/MART-1 Antibody [NBP3-43932]

Analysis in human skin and prostate tissues using NBP3-43932 antibody. Corresponding Melan-A/MART-1 RNA-seq data are presented for the same tissues.
Melan-A/MART-1 Antibody (CL12864) - Azide and BSA Free Immunohistochemistry-Paraffin: Melan-A/MART-1 Antibody [NBP3-43932]

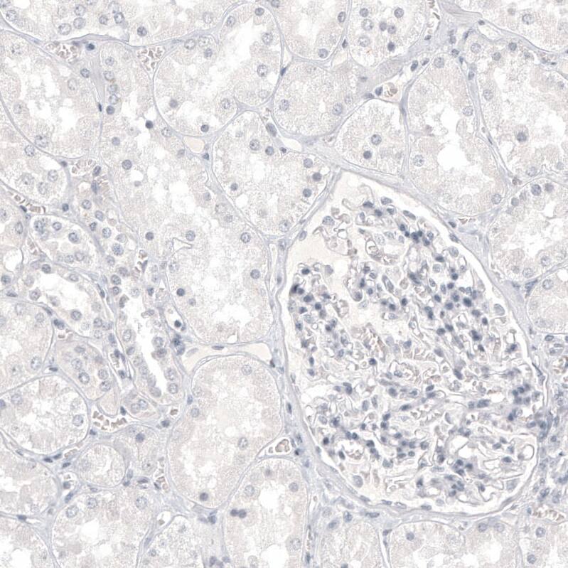
Immunohistochemistry-Paraffin: Melan-A/MART-1 Antibody [NBP3-43932]

Staining of human kidney shows no positivity as expected.
Melan-A/MART-1 Antibody (CL12864) - Azide and BSA Free Immunohistochemistry-Paraffin: Melan-A/MART-1 Antibody [NBP3-43932]

Immunohistochemistry-Paraffin: Melan-A/MART-1 Antibody [NBP3-43932]

Staining of human cervix shows no positivity in squamous epithelial cells as expected.

Applications for Melan-A/MART-1 Antibody (CL12864) - Azide and BSA Free

Application
Recommended Usage

Immunocytochemistry/ Immunofluorescence

2-10 ug/ml

Immunohistochemistry-Paraffin

1:200 - 1:500

Western Blot

1 ug/ml
Application Notes
For use with IHC-Paraffin, HIER pH 6 retrieval is recommended. For use with Immunocytochemistry/ Immunofluorescence/IF, PFA/Triton X-100 is recommended for fixation/permeabilization.

Formulation, Preparation, and Storage

Purification

Protein A purified

Reconstitution

Centrifuge the vial of lyophilized antibody at 12,000 x g for 20 seconds. Reconstitute by adding sterile, distilled water to achieve a final antibody concentration of 1mg/ml.

Formulation

Lyophilized from a 0.2 um filtered solution in PBS with Trehalose

Format

Azide and BSA Free

Preservative

No Preservative

Concentration

LYOPH mg/ml

Shipping

The product is shipped at ambient temperature. Upon receipt, store it immediately at the temperature recommended below.

Stability & Storage

Store at 4C short term. Aliquot and store at -20C long term. Avoid freeze-thaw cycles.

Background: Melan-A/MART-1

MART-1 (Melanoma Antigen Recognized by T cells 1) or Melan-A1 is a newly identified melanocyte differentiation antigen recognized by autologous cytotoxic T lymphocytes. Seven other melanoma associated antigens recognized by autologous cytotoxic T cells include MAGE-1, MAGE-3, tyrosinase, gp100, gp75, BAGE-1, and GAGE-1. Subcellular fractionation shows that MART-1 is present in melanosomes and endoplasmic reticulum.

Alternate Names

Antigen LB39-AA, Antigen SK29-AA, MART-1, MelanA, MLANA

Gene Symbol

MLANA

Additional Melan-A/MART-1 Products

Product Documents for Melan-A/MART-1 Antibody (CL12864) - Azide and BSA Free

Certificate of Analysis

To download a Certificate of Analysis, please enter a lot number in the search box below.

Product Specific Notices for Melan-A/MART-1 Antibody (CL12864) - Azide and BSA Free

This product is for research use only and is not approved for use in humans or in clinical diagnosis. Primary Antibodies are guaranteed for 1 year from date of receipt.

Loading...
Loading...
Loading...
Loading...
Loading...