Skip to main content

Melan-A/MART-1 Antibody (A103 + M2-7C10 + M2-9E3) - IHC-Prediluted

Novus Biologicals, part of Bio-Techne | Catalog # NBP2-44392

Novus Biologicals, part of Bio-Techne
Catalog #
Availability
Size / Price
Qty
Loading...
NBP2-44392

Key Product Details

Species Reactivity

Human, Mouse, Rat, Canine

Applications

Immunohistochemistry, Immunohistochemistry-Paraffin

Label

Unconjugated

Antibody Source

Monoclonal Mouse IgG1 Kappa/IgG2b Lambda/IgG2b Kappa Clone # A103 + M2-7C10 + M2-9E3

Format

IHC-Prediluted

Concentration

Please see the vial label for concentration. If unlisted please contact technical services.

Product Specifications

Immunogen

Recombinant full-length hMelan-A/MART-1 protein (A103; M2-7C10; M2-9E3) (Uniprot: Q16655)

Localization

Cytoplasmic

Specificity

This antibody recognizes a protein doublet of 20-22kDa, identified as MART-1 (Melanoma Antigen Recognized by T cells 1) or Melan-A. MART-1 is a newly identified melanocyte differentiation antigen recognized by autologous cytotoxic T lymphocytes. Seven other melanoma associated antigens recognized by autologous cytotoxic T cells include MAGE-1, MAGE-3, tyrosinase, gp100, gp75, BAGE-1, and GAGE-1. Subcellular fractionation shows that MART-1 is present in melanosomes and endoplasmic reticulum. This monoclonal antibody cocktail labels melanomas and other tumors showing melanocytic differentiation. It is also a useful positive-marker for angiomyolipomas. It does not stain tumor cells of epithelial, lymphoid, glial, or mesenchymal origin.

Marker

Melanoma Marker

Clonality

Monoclonal

Host

Mouse

Isotype

IgG1 Kappa/IgG2b Lambda/IgG2b Kappa

Description

The prediluted antibody does not require any mixing, dilution, reconstitution, or titration; the antibody is ready-to-use and optimized for staining.

Scientific Data Images for Melan-A/MART-1 Antibody (A103 + M2-7C10 + M2-9E3) - IHC-Prediluted

Immunohistochemistry-Paraffin: Melan-A/MART-1 Antibody (A103 + M2-7C10 + M2-9E3) - IHC-Prediluted [NBP2-44392]

Immunohistochemistry-Paraffin: Melan-A/MART-1 Antibody (A103 + M2-7C10 + M2-9E3) - IHC-Prediluted [NBP2-44392]

Immunohistochemistry-Paraffin: Melan-A/MART-1 Antibody (A103 + M2-7C10 + M2-9E3) - IHC-Prediluted [NBP2-44392] - Paraffin-embedded human melanoma. pH 9 antigen retrieval. Image from verified customer review. Image using the Azide and BSA Free format of this antibody.
Immunohistochemistry-Paraffin: Melan-A/MART-1 Antibody (A103 + M2-7C10 + M2-9E3) - IHC-Prediluted [NBP2-44392]

Immunohistochemistry-Paraffin: Melan-A/MART-1 Antibody (A103 + M2-7C10 + M2-9E3) - IHC-Prediluted [NBP2-44392]

Immunohistochemistry-Paraffin: Melan-A/MART-1 Antibody (A103 + M2-7C10 + M2-9E3) - IHC-Prediluted [NBP2-44392] - Immunohistochemistry-Paraffin: Melan-A/MART-1 Antibody (A103 + M2-7C10 + M2-9E3) [NBP2-34244]
Immunohistochemistry-Paraffin: Melan-A/MART-1 Antibody (A103 + M2-7C10 + M2-9E3) - IHC-Prediluted [NBP2-44392]

Immunohistochemistry-Paraffin: Melan-A/MART-1 Antibody (A103 + M2-7C10 + M2-9E3) - IHC-Prediluted [NBP2-44392]

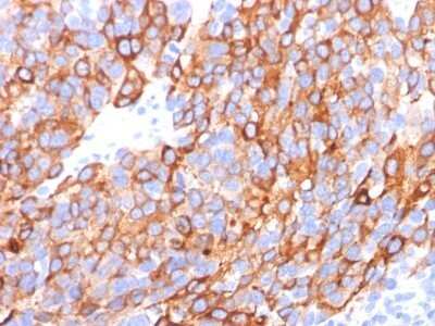
Immunohistochemistry-Paraffin: Melan-A/MART-1 Antibody (A103 + M2-7C10 + M2-9E3) - IHC-Prediluted [NBP2-44392] - Formalin-fixed, paraffin-embedded human melanoma stained with Melan-A MAb (A103+M2-7C10+M2-9E3). Note cytoplasmic staining of cells.

Applications for Melan-A/MART-1 Antibody (A103 + M2-7C10 + M2-9E3) - IHC-Prediluted

Application
Recommended Usage

Immunohistochemistry-Paraffin

0.5 - 1.0 ug/ml
Application Notes
Immunohistochemistry (Formalin-fixed): 1-2ug/ml for 30 minutes at RT. Staining of formalin-fixed tissues requires heating tissue sections in 10mM Tris with 1mM EDTA, pH 9.0, for 45 min at 95C followed by cooling at RT for 20 minutes.
Optimal dilution for a specific application should be determined.

Formulation, Preparation, and Storage

Purification

Protein A or G purified

Formulation

10 mM PBS with 0.05% BSA

Format

IHC-Prediluted

Preservative

0.05% Sodium Azide

Concentration

Please see the vial label for concentration. If unlisted please contact technical services.

Shipping

The product is shipped with polar packs. Upon receipt, store it immediately at the temperature recommended below.

Stability & Storage

Store at 4C.

Background: Melan-A/MART-1

MART-1 (Melanoma Antigen Recognized by T cells 1) or Melan-A1 is a newly identified melanocyte differentiation antigen recognized by autologous cytotoxic T lymphocytes. Seven other melanoma associated antigens recognized by autologous cytotoxic T cells include MAGE-1, MAGE-3, tyrosinase, gp100, gp75, BAGE-1, and GAGE-1. Subcellular fractionation shows that MART-1 is present in melanosomes and endoplasmic reticulum.

Alternate Names

Antigen LB39-AA, Antigen SK29-AA, MART-1, MelanA, MLANA

Gene Symbol

MLANA

Additional Melan-A/MART-1 Products

Product Documents for Melan-A/MART-1 Antibody (A103 + M2-7C10 + M2-9E3) - IHC-Prediluted

Certificate of Analysis

To download a Certificate of Analysis, please enter a lot number in the search box below.

Product Specific Notices for Melan-A/MART-1 Antibody (A103 + M2-7C10 + M2-9E3) - IHC-Prediluted

This product is for research use only and is not approved for use in humans or in clinical diagnosis. Primary Antibodies are guaranteed for 1 year from date of receipt.

Loading...
Loading...
Loading...
Loading...