Skip to main content

Meis homeobox 3 Antibody (OTI3E12) - Azide and BSA Free

Novus Biologicals, part of Bio-Techne | Catalog # NBP2-72642

Novus Biologicals, part of Bio-Techne
Catalog #
Availability
Size / Price
Qty
Loading...
NBP2-72642
Conjugate
Catalog #

Key Product Details

Species Reactivity

Human, Mouse, Rat

Applications

Immunohistochemistry, Immunohistochemistry-Paraffin, Western Blot, Flow Cytometry, CyTOF-ready

Label

Unconjugated

Antibody Source

Monoclonal Mouse IgG1 Clone # OTI3E12

Format

Azide and BSA Free

Concentration

LYOPH mg/ml

Product Specifications

Immunogen

Human recombinant protein fragment corresponding to amino acids 1-261 of human MEIS3 (NP_064545) produced in E.coli.

Reactivity Notes

Please note that this antibody is reactive to Mouse and derived from the same host, Mouse. Mouse-On-Mouse blocking reagent may be needed for IHC and ICC experiments to reduce high background signal. You can find these reagents under catalog numbers PK-2200-NB and MP-2400-NB. Please contact Technical Support if you have any questions.

Clonality

Monoclonal

Host

Mouse

Isotype

IgG1

Theoretical MW

46 kDa.
Disclaimer note: The observed molecular weight of the protein may vary from the listed predicted molecular weight due to post translational modifications, post translation cleavages, relative charges, and other experimental factors.

Scientific Data Images for Meis homeobox 3 Antibody (OTI3E12) - Azide and BSA Free

Western Blot: Meis homeobox 3 Antibody (OTI3E12)Azide and BSA Free [NBP2-72642]

Western Blot: Meis homeobox 3 Antibody (OTI3E12)Azide and BSA Free [NBP2-72642]

Western Blot: Meis homeobox 3 Antibody (OTI3E12) - Azide and BSA Free [NBP2-72642] - HEK293T cells were transfected with the pCMV6-ENTRY control (Left lane) or pCMV6-ENTRY Meis homeobox 3 (Right lane) cDNA for 48 hrs and lysed. Equivalent amounts of cell lysates (5 ug per lane) were separated by SDS-PAGE and immunoblotted with anti-Meis h
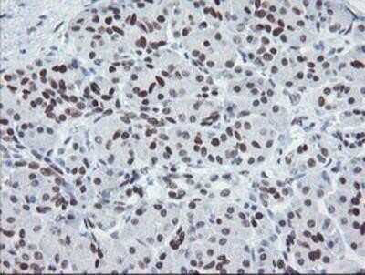
Immunohistochemistry: Meis homeobox 3 Antibody (OTI3E12) - Azide and BSA Free [NBP2-72642]

Immunohistochemistry: Meis homeobox 3 Antibody (OTI3E12) - Azide and BSA Free [NBP2-72642]

Immunohistochemistry: Meis homeobox 3 Antibody (OTI3E12) - Azide and BSA Free [NBP2-72642] - Staining of paraffin-embedded Human prostate tissue using anti-Meis homeobox 3 mouse monoclonal antibody.
Flow Cytometry: Meis homeobox 3 Antibody (OTI3E12) - Azide and BSA Free [NBP2-72642]

Flow Cytometry: Meis homeobox 3 Antibody (OTI3E12) - Azide and BSA Free [NBP2-72642]

Flow Cytometry: Meis homeobox 3 Antibody (OTI3E12) - Azide and BSA Free [NBP2-72642] - HEK293T cells transfected with either overexpression plasmid (Red) or empty vector control plasmid (Blue) were immunostaining by anti-Meis homeobox 3 antibody, and then analyzed by flow cytometry.

Applications for Meis homeobox 3 Antibody (OTI3E12) - Azide and BSA Free

Application
Recommended Usage

Flow Cytometry

1:100

Immunohistochemistry

1:150

Western Blot

1:2000

Formulation, Preparation, and Storage

Purification

Immunogen affinity purified

Reconstitution

we recommend adding 100uL distilled water to a final antibody concentration of about 1 mg/mL. To use this carrier-free antibody for conjugation experiment, we strongly recommend performing another round of desalting process.

Formulation

Lyophilized from PBS (pH 7.3) with 8% Trehalose

Format

Azide and BSA Free

Preservative

No Preservative

Concentration

LYOPH mg/ml

Shipping

The product is shipped with polar packs. Upon receipt, store it immediately at the temperature recommended below.

Stability & Storage

Store at -20C. Avoid freeze-thaw cycles.

Background: Meis homeobox 3

MEIS3, also known as Homeobox protein Meis3, has 3 isoforms, a 375 amino acid isoform that is 41 kDa, a 421 amino acid isoform that is 46 kDa, and a 358 amino acid isoform that is 39 kDa, and is nucleus located. Little is currently known about its function. Studies are performed on the relationship of this protein to neuronitis. MEIS3 protein involvement has been observed with relation to HOXA13 in the regulation of transcription, DNA-dependent, negative regulation of apoptotic process, and positive regulation of protein kinase B signaling cascade pathways.

Alternate Names

DKFZp547H236, Meis homeobox 3, Meis1, myeloid ecotropic viral integration site 1 homolog 3, Meis1, myeloid ecotropic viral integration site 1 homolog 3 (mouse), Meis1-related protein 2, MRG2homeobox protein Meis3

Gene Symbol

MEIS3

Additional Meis homeobox 3 Products

Product Documents for Meis homeobox 3 Antibody (OTI3E12) - Azide and BSA Free

Certificate of Analysis

To download a Certificate of Analysis, please enter a lot number in the search box below.

Product Specific Notices for Meis homeobox 3 Antibody (OTI3E12) - Azide and BSA Free

This product is for research use only and is not approved for use in humans or in clinical diagnosis. Primary Antibodies are guaranteed for 1 year from date of receipt.

Loading...
Loading...
Loading...
Loading...
Loading...
Loading...