Skip to main content

MED28 Antibody - BSA Free

Novus Biologicals, part of Bio-Techne | Catalog # NBP1-76931

Novus Biologicals, part of Bio-Techne

Key Product Details

Species Reactivity

Validated:

Human, Mouse

Predicted:

Bovine (100%), Rat (100%). Backed by our 100% Guarantee.

Applications

Immunohistochemistry, Immunohistochemistry-Paraffin, Western Blot, ELISA

Label

Unconjugated

Antibody Source

Polyclonal Rabbit IgG

Format

BSA Free

Concentration

1 mg/ml

Product Specifications

Immunogen

Antibody was raised against a 17 amino acid synthetic peptide from near the center of human MED28. The immunogen is located within amino acids 50 - 100 of MED28. Amino Acid Squence: SQDYVNGTDQEEIRTGVDQ

Clonality

Polyclonal

Host

Rabbit

Isotype

IgG

Description

Novus Biologicals Rabbit MED28 Antibody - BSA Free (NBP1-76931) is a polyclonal antibody validated for use in IHC, WB, ELISA and ICC/IF. All Novus Biologicals antibodies are covered by our 100% guarantee.

Scientific Data Images for MED28 Antibody - BSA Free

Western Blot: MED28 AntibodyBSA Free [NBP1-76931]

Western Blot: MED28 AntibodyBSA Free [NBP1-76931]

Western Blot: MED28 Antibody [NBP1-76931] - Human brain tissue lysate with MED28 antibody at 1 ug/mL in (A) the absence and (B) the presence of blocking peptide.
MED28 Antibody - BSA Free

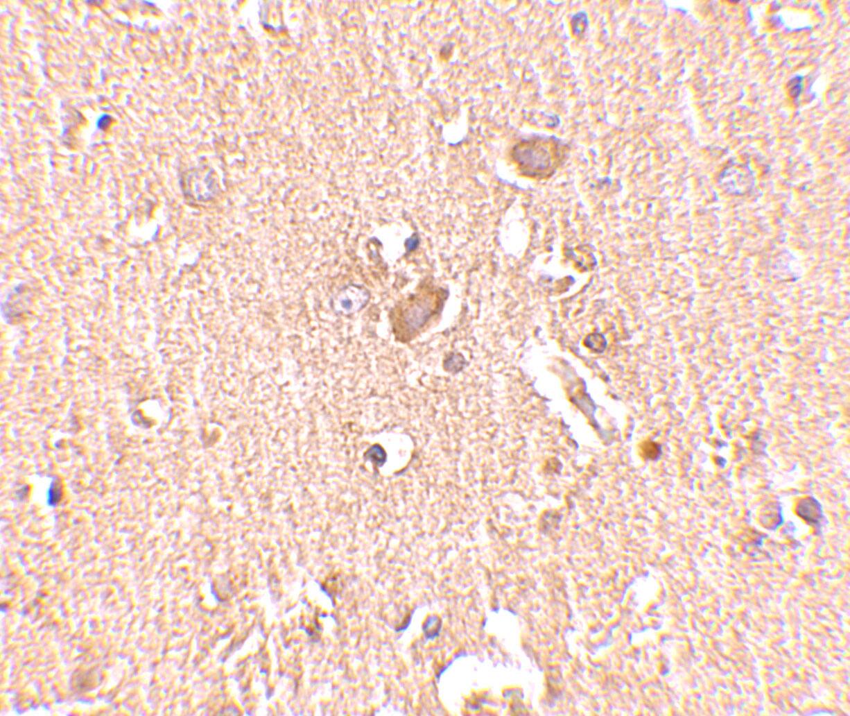
Immunohistochemistry: MED28 Antibody - BSA Free [NBP1-76931] -

Immunohistochemistry: MED28 Antibody - BSA Free [NBP1-76931] - Immunohistochemistry of MED28 in human brain tissue with MED28 antibody at 2.5 ug/mL.

Applications for MED28 Antibody - BSA Free

Application
Recommended Usage

ELISA

1:100-1:2000

Immunohistochemistry

2.5 ug/ml

Immunohistochemistry-Paraffin

2.5 ug/ml

Western Blot

1 ug/ml

Formulation, Preparation, and Storage

Purification

Peptide affinity purified

Formulation

PBS

Format

BSA Free

Preservative

0.02% Sodium Azide

Concentration

1 mg/ml

Shipping

The product is shipped with polar packs. Upon receipt, store it immediately at the temperature recommended below.

Stability & Storage

Store at 4C short term. Aliquot and store at -20C long term. Avoid freeze-thaw cycles.

Background: MED28

The mediator complex is a multi-protein transcriptional co-activator that is expressed ubiquitously in eukaryotes from yeast to mammals and is required for induction of RNA polymerase II (pol II) transcription by DNA binding transcription factor. One of the proteins in this complex is MED28, also known as Magicin. MED28 is expressed in many cell lines and tissues. It has been shown that a down-regulation of MED28 expression in NIH3T3 cells results in a significant induction of several genes associated with smooth muscle cell differentiation and conversely its over-expression represses expression of SMC genes. MED28 can also form a ternary complex with Grb2 and Merlin, the neurofibromatosis 2 tumor suppressor protein, indicating that MED28 may play a role in Merlin's tumor suppressive activity. MED28 has also been recently identified as an HIV dependency factor (HDF), suggesting that MED28 may be an important drug target in HIV treatment. At least two isoforms of MED28 are known to exist.

Alternate Names

DKFZP434N185, EG1DKFZp434N185, Magicin, mediator complex subunit 281500003D12Rik, mediator of RNA polymerase II transcription, subunit 28 homolog (S. cerevisiae), subunit 28 homolog

Gene Symbol

MED28

Additional MED28 Products

Product Documents for MED28 Antibody - BSA Free

Certificate of Analysis

To download a Certificate of Analysis, please enter a lot number in the search box below.

Product Specific Notices for MED28 Antibody - BSA Free

This product is for research use only and is not approved for use in humans or in clinical diagnosis. Primary Antibodies are guaranteed for 1 year from date of receipt.

Loading...
Loading...
Loading...
Loading...