Skip to main content

MDM2/HDM2 Antibody (SMP14) - Azide and BSA Free

Novus Biologicals, part of Bio-Techne | Catalog # NBP2-80845

Novus Biologicals, part of Bio-Techne
Catalog #
Availability
Size / Price
Qty
Loading...
NBP2-80845

Key Product Details

Species Reactivity

Human, Mouse, Rat

Applications

Immunohistochemistry, Immunohistochemistry-Paraffin, Immunohistochemistry-Frozen, Western Blot, Immunoprecipitation

Label

Unconjugated

Antibody Source

Monoclonal Mouse IgG1 kappa Clone # SMP14

Format

Azide and BSA Free

Concentration

1 mg/ml

Product Specifications

Immunogen

Synthetic peptide C-SRPSTSSRRRAISE, corresponding to amino acids 154-167 of human MDM2/HDM2. [UniProt# Q00987]

Epitope

Amino acids 154 - 167.

Reactivity Notes

Rat reactivity reported in scientific literature (PMID: 15625077). Mouse reactivity reported in scientific literature (PMID: 25981963).

Localization

Nuclear and cytoplasmic (expressed predominantly in the nucleoplasm).

Clonality

Monoclonal

Host

Mouse

Isotype

IgG1 kappa

Description

Novus Biologicals Mouse MDM2/HDM2 Antibody (SMP14) - Azide and BSA Free (NB100-2736) is a monoclonal antibody validated for use in IHC, WB and IP. All Novus Biologicals antibodies are covered by our 100% guarantee.

Scientific Data Images for MDM2/HDM2 Antibody (SMP14) - Azide and BSA Free

Western Blot: MDM2/HDM2 Antibody (SMP14)Azide and BSA Free [NBP2-80845]

Western Blot: MDM2/HDM2 Antibody (SMP14)Azide and BSA Free [NBP2-80845]

Western Blot: MDM2/HDM2 Antibody (SMP14) - Azide and BSA Free [NBP2-80845] - Daudi whole cell protein was separated by SDS-PAGE on a 7.5% gel and transferred to PVDF membrane. The membrane was probed with anti-MDM2 antibody at 2 ug/ml and detected with an anti-mouse HRP secondary antibody using chemiluminescence. Image from the standard format of this antibody.
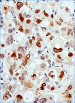
Immunohistochemistry: MDM2/HDM2 Antibody (SMP14) - Azide and BSA Free [NBP2-80845]

Immunohistochemistry: MDM2/HDM2 Antibody (SMP14) - Azide and BSA Free [NBP2-80845]

Immunohistochemistry: MDM2/HDM2 Antibody (SMP14) - Azide and BSA Free [NBP2-80845] - Analysis of tissue section of human breast cancer xenograft using MDM2/HDM2 antibody (clone SMP14) at 1:100 dilution. Several of the cancer cells developed a strong nuclear with weak cytoplasmic immunostaining of MDM2. Image from the standard format of th
Immunohistochemistry: MDM2/HDM2 Antibody (SMP14) - Azide and BSA Free [NBP2-80845]

Immunohistochemistry: MDM2/HDM2 Antibody (SMP14) - Azide and BSA Free [NBP2-80845]

Immunohistochemistry: MDM2/HDM2 Antibody (SMP14) - Azide and BSA Free [NBP2-80845] - Analysis of tissue section of human breast cancer xenograft using MDM2/HDM2 antibody (clone SMP14) at 1:100 dilution. Several of the cancer cells developed a strong nuclear with weak cytoplasmic immunostaining of MDM2. Image from the standard format of th

Applications for MDM2/HDM2 Antibody (SMP14) - Azide and BSA Free

Application
Recommended Usage

Immunohistochemistry

1:100-1:500

Immunohistochemistry-Frozen

1:200-1:500

Immunohistochemistry-Paraffin

1:100-1:500

Immunoprecipitation

1:10-1:500

Western Blot

1:500
Application Notes
This antibody has also been reported useful in IHC on resin tissue sections. Staining of IHC-P tissues requires boiling tissue sections in 10mM citrate buffer, pH 6.0, for 10-20 min followed by cooling at RT for 20 min.

Formulation, Preparation, and Storage

Purification

Protein G purified

Formulation

PBS

Format

Azide and BSA Free

Preservative

No Preservative

Concentration

1 mg/ml

Shipping

The product is shipped with polar packs. Upon receipt, store it immediately at the temperature recommended below.

Stability & Storage

Store at 4C short term. Aliquot and store at -20C long term. Avoid freeze-thaw cycles.

Background: MDM2/HDM2

MDM2, also known as HDM2, is a protein of the E3 ubiquitin-ligase family. MDM2 is found predominantly in the nucleus, most localized to the nucleoplasm. MDM2 is over expressed in a wide range of human malignancies including soft tissue carcinomas and breast cancer. MDM2 ubiquinates or contributes to the ubiquination of a variety of proteins, including p53, thereby contributing to their proteosomal degradation. MDM2's interaction with p53 is inhibitory, causing an arrest of the cell cycle and deregulation of apoptosis, which explains MDM2's presence in many cancers. MDM2 is induced by damage to the DNA, and as a result has many isoforms, most of which are present exclusively in cancerous tissues, and non-existent in normal tissues.

Long Name

Double Minute 2 Protein

Alternate Names

HDM2

Gene Symbol

MDM2

Additional MDM2/HDM2 Products

Product Documents for MDM2/HDM2 Antibody (SMP14) - Azide and BSA Free

Certificate of Analysis

To download a Certificate of Analysis, please enter a lot number in the search box below.

Product Specific Notices for MDM2/HDM2 Antibody (SMP14) - Azide and BSA Free

This product is for research use only and is not approved for use in humans or in clinical diagnosis. Primary Antibodies are guaranteed for 1 year from date of receipt.

Loading...
Loading...
Loading...
Loading...