Skip to main content

MDG1 Antibody - BSA Free

Novus Biologicals, part of Bio-Techne | Catalog # NBP1-87731

Novus Biologicals, part of Bio-Techne
Catalog #
Availability
Size / Price
Qty
Loading...
NBP1-87731
NBP1-87731-25ul

Key Product Details

Species Reactivity

Human

Applications

Immunohistochemistry, Immunohistochemistry-Paraffin

Label

Unconjugated

Antibody Source

Polyclonal Rabbit IgG

Format

BSA Free

Concentration

Concentrations vary lot to lot. See vial label for concentration. If unlisted please contact technical services.

Product Specifications

Immunogen

This antibody was developed against Recombinant Protein corresponding to amino acids: TLSDANRRKEYDTLGHSAFTSGKGQRGSGSSFEQSFNFNFDDLFKDFGFFGQNQNTGSKKRFENHFQTRQDG

Reactivity Notes

Immunogen displays the following percentage of sequence identity for non-tested species: Mouse (88%), Rat (86%)

Clonality

Polyclonal

Host

Rabbit

Isotype

IgG

Description

Novus Biologicals Rabbit MDG1 Antibody - BSA Free (NBP1-87731) is a polyclonal antibody validated for use in IHC. All Novus Biologicals antibodies are covered by our 100% guarantee.

Scientific Data Images for MDG1 Antibody - BSA Free

Immunohistochemistry-Paraffin: MDG1 Antibody [NBP1-87731]

Immunohistochemistry-Paraffin: MDG1 Antibody [NBP1-87731]

Immunohistochemistry-Paraffin: MDG1 Antibody [NBP1-87731] - Staining of human testis shows moderate granular cytoplasmic positivity in cells in seminiferous ducts.
Immunohistochemistry-Paraffin: MDG1 Antibody [NBP1-87731]

Immunohistochemistry-Paraffin: MDG1 Antibody [NBP1-87731]

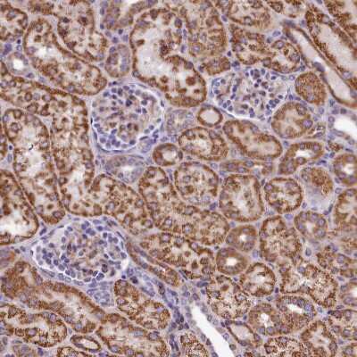
Immunohistochemistry-Paraffin: MDG1 Antibody [NBP1-87731] - Staining of human kidney shows strong granular cytoplasmic positivity in cells in tubules.
Immunohistochemistry-Paraffin: MDG1 Antibody [NBP1-87731]

Immunohistochemistry-Paraffin: MDG1 Antibody [NBP1-87731]

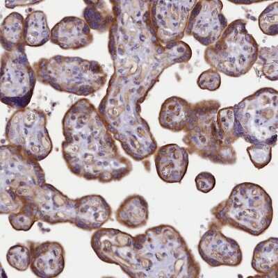
Immunohistochemistry-Paraffin: MDG1 Antibody [NBP1-87731] - Staining of human placenta shows strong granular cytoplasmic positivity in trophoblastic cells.

Applications for MDG1 Antibody - BSA Free

Application
Recommended Usage

Immunohistochemistry

1:200 - 1:500

Immunohistochemistry-Paraffin

1:200 - 1:500
Application Notes
For IHC-Paraffin, HIER pH 6 retrieval is recommended.

Formulation, Preparation, and Storage

Purification

Immunogen affinity purified

Formulation

PBS (pH 7.2) and 40% Glycerol

Format

BSA Free

Preservative

0.02% Sodium Azide

Concentration

Concentrations vary lot to lot. See vial label for concentration. If unlisted please contact technical services.

Shipping

The product is shipped with polar packs. Upon receipt, store it immediately at the temperature recommended below.

Stability & Storage

Store at 4C short term. Aliquot and store at -20C long term. Avoid freeze-thaw cycles.

Background: MDG1

MDG1 acts as a co-chaperone with an Hsp70 protein

Alternate Names

DKFZp564F1862, DnaJ (Hsp40) homolog, subfamily B, member 9, dnaJ homolog subfamily B member 9, endoplasmic reticulum DnaJ homolog 4, ERdj4, MDG-1, MDG1MSTP049, Microvascular endothelial differentiation gene 1 protein, MST049

Gene Symbol

DNAJB9

Additional MDG1 Products

Product Documents for MDG1 Antibody - BSA Free

Certificate of Analysis

To download a Certificate of Analysis, please enter a lot number in the search box below.

Product Specific Notices for MDG1 Antibody - BSA Free

This product is for research use only and is not approved for use in humans or in clinical diagnosis. Primary Antibodies are guaranteed for 1 year from date of receipt.

Loading...
Loading...
Loading...
Loading...