Skip to main content

MDFI Antibody - BSA Free

Novus Biologicals, part of Bio-Techne | Catalog # NBP2-14225

Novus Biologicals, part of Bio-Techne
Catalog #
Availability
Size / Price
Qty
Loading...
NBP2-14225-25ul
NBP2-14225

Key Product Details

Species Reactivity

Human

Applications

Immunohistochemistry, Immunohistochemistry-Paraffin, Immunocytochemistry/ Immunofluorescence

Label

Unconjugated

Antibody Source

Polyclonal Rabbit IgG

Format

BSA Free

Concentration

Concentrations vary lot to lot. See vial label for concentration. If unlisted please contact technical services.

Product Specifications

Immunogen

This antibody was developed against a recombinant protein corresponding to the amino acids: LPNDSGHPSELGGTRRAGNGALGGPKAHRKLQTHPSLASQGSKKSKSSSKSTTSQIPLQAQEDCC

Clonality

Polyclonal

Host

Rabbit

Isotype

IgG

Description

Novus Biologicals Rabbit MDFI Antibody - BSA Free (NBP2-14225) is a polyclonal antibody validated for use in IHC and ICC/IF. All Novus Biologicals antibodies are covered by our 100% guarantee.

Scientific Data Images for MDFI Antibody - BSA Free

Immunocytochemistry/ Immunofluorescence: MDFI Antibody [NBP2-14225]

Immunocytochemistry/ Immunofluorescence: MDFI Antibody [NBP2-14225]

Immunocytochemistry/Immunofluorescence: MDFI Antibody [NBP2-14225] - Immunofluorescent staining of human cell line A-431 shows localization to nucleoplasm.
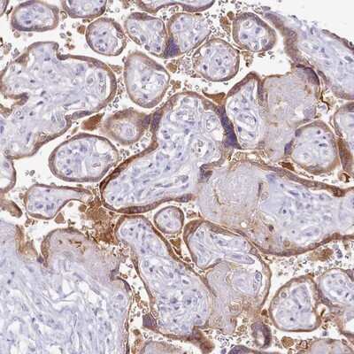
Immunohistochemistry-Paraffin: MDFI Antibody [NBP2-14225]

Immunohistochemistry-Paraffin: MDFI Antibody [NBP2-14225]

Immunohistochemistry-Paraffin: MDFI Antibody [NBP2-14225] - Staining of human placenta shows moderate cytoplasmic positivity in trophoblastic cells.

Applications for MDFI Antibody - BSA Free

Application
Recommended Usage

Immunocytochemistry/ Immunofluorescence

0.25-2 ug/ml

Immunohistochemistry

1:50 - 1:200

Immunohistochemistry-Paraffin

1:50 - 1:200
Application Notes
For IHC-Paraffin, HIER pH 6 retrieval is recommended. Immunocytochemistry/Immunofluorescence Fixation Permeabilization: Use PFA/Triton X-100.

Formulation, Preparation, and Storage

Purification

Affinity purified

Formulation

PBS (pH 7.2) and 40% Glycerol

Format

BSA Free

Preservative

0.02% Sodium Azide

Concentration

Concentrations vary lot to lot. See vial label for concentration. If unlisted please contact technical services.

Shipping

The product is shipped with polar packs. Upon receipt, store it immediately at the temperature recommended below.

Stability & Storage

Store at 4C short term. Aliquot and store at -20C long term. Avoid freeze-thaw cycles.

Background: MDFI

MDFI is a transcription factor that negatively regulates other myogenic family proteins. Studies of the mouse homolog, I-mf, show that it interferes with myogenic factor function by masking nuclear localization signals and preventing DNA binding. Knockout mouse studies show defects in the formation of vertebrae and ribs that also involve cartilage formation in these structures. [provided by RefSeq]

Alternate Names

I-MF, I-mfa, inhibitor of MyoD family a, MyoD family inhibitor, Myogenic repressor I-mf

Gene Symbol

MDFI

Additional MDFI Products

Product Documents for MDFI Antibody - BSA Free

Certificate of Analysis

To download a Certificate of Analysis, please enter a lot number in the search box below.

Product Specific Notices for MDFI Antibody - BSA Free

This product is for research use only and is not approved for use in humans or in clinical diagnosis. Primary Antibodies are guaranteed for 1 year from date of receipt.

Loading...
Loading...
Loading...
Loading...