MCTP1 Antibody - BSA Free
Novus Biologicals, part of Bio-Techne | Catalog # NBP1-59355
Key Product Details
Species Reactivity
Human
Applications
Immunohistochemistry, Immunohistochemistry-Paraffin, Western Blot
Label
Unconjugated
Antibody Source
Polyclonal Rabbit IgG
Format
BSA Free
Concentration
0.5 mg/ml
Product Specifications
Immunogen
Synthetic peptides corresponding to MCTP1(multiple C2 domains, transmembrane 1) The peptide sequence was selected from the middle region of MCTP1. Peptide sequence LVWGINKFTKKLRSPYAIDNNELLDFLSRVPSDVQVVQYQELKPDPSHSP. The peptide sequence for this immunogen was taken from within the described region.
Clonality
Polyclonal
Host
Rabbit
Isotype
IgG
Description
The addition of 50% glycerol is optional for those storing this antibody at -20C and not aliquoting smaller units. However, please note that glycerol may interrupt some downstream antibody applications and should be added with caution.
Scientific Data Images for MCTP1 Antibody - BSA Free
Western Blot: MCTP1 Antibody [NBP1-59355]
Western Blot: MCTP1 Antibody [NBP1-59355] - Hela tissue lysate at a concentration of 1ug/ml.Immunohistochemistry-Paraffin: MCTP1 Antibody [NBP1-59355]
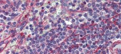
Immunohistochemistry-Paraffin: MCTP1 Antibody [NBP1-59355] - Human Spleen Tissue, 5 ug/ml.Immunohistochemistry: MCTP1 Antibody [NBP1-59355]
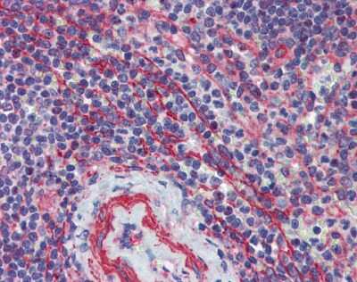
Immunohistochemistry: MCTP1 Antibody [NBP1-59355] - Analysis of human spleen after heat-induced Antigen retrieval. Antibody concentration 5 ug/ml.Applications for MCTP1 Antibody - BSA Free
Application
Recommended Usage
Immunohistochemistry
1:10-1:500
Immunohistochemistry-Paraffin
1:10-1:500
Western Blot
1.0 ug/ml
Formulation, Preparation, and Storage
Purification
Affinity purified
Formulation
PBS, 2% Sucrose
Format
BSA Free
Preservative
0.09% Sodium Azide
Concentration
0.5 mg/ml
Shipping
The product is shipped with polar packs. Upon receipt, store it immediately at the temperature recommended below.
Stability & Storage
Store at 4C short term. Aliquot and store at -20C long term. Avoid freeze-thaw cycles.
Background: MCTP1
Alternate Names
FLJ22344, multiple C2 and transmembrane domain-containing protein 1, multiple C2 domains, transmembrane 1, multiple C2-domains with two transmembrane regions 1
Gene Symbol
MCTP1
UniProt
Additional MCTP1 Products
Product Documents for MCTP1 Antibody - BSA Free
Product Specific Notices for MCTP1 Antibody - BSA Free
This product is for research use only and is not approved for use in humans or in clinical diagnosis. Primary Antibodies are guaranteed for 1 year from date of receipt.
Loading...
Loading...
Loading...
Loading...