Skip to main content

MCM9 Antibody - BSA Free

Novus Biologicals, part of Bio-Techne | Catalog # NBP1-86740

Novus Biologicals, part of Bio-Techne
Catalog #
Availability
Size / Price
Qty
Loading...
NBP1-86740-25ul
NBP1-86740

Key Product Details

Species Reactivity

Human

Applications

Immunohistochemistry, Immunohistochemistry-Paraffin, Immunocytochemistry/ Immunofluorescence

Label

Unconjugated

Antibody Source

Polyclonal Rabbit IgG

Format

BSA Free

Concentration

Concentrations vary lot to lot. See vial label for concentration. If unlisted please contact technical services.

Product Specifications

Immunogen

This antibody was developed against Recombinant Protein corresponding to amino acids: SPPPERKNRGERGPSSPPTTTAPMRVSKRKSFQLRGSTEKLIVSKESLFTLPELGDEAFDCDWD

Clonality

Polyclonal

Host

Rabbit

Isotype

IgG

Scientific Data Images for MCM9 Antibody - BSA Free

MCM9 Antibody

Immunohistochemistry-Paraffin: MCM9 Antibody [NBP1-86740] -

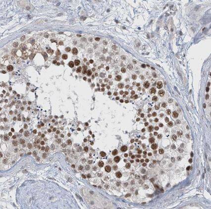
Immunohistochemistry-Paraffin: MCM9 Antibody [NBP1-86740] - Staining of human Testis shows strong nuclear positivity in cells in seminiferous ducts.
MCM9 Antibody

Immunohistochemistry-Paraffin: MCM9 Antibody [NBP1-86740] -

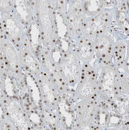
Immunohistochemistry-Paraffin: MCM9 Antibody [NBP1-86740] - Staining of human Kidney shows moderate nuclear positivity in cells in tubules.
MCM9 Antibody

Immunohistochemistry-Paraffin: MCM9 Antibody [NBP1-86740] -

Immunohistochemistry-Paraffin: MCM9 Antibody [NBP1-86740] - Staining of human Skeletal muscle shows very weak nuclear positivity in myocytes.

Applications for MCM9 Antibody - BSA Free

Application
Recommended Usage

Immunocytochemistry/ Immunofluorescence

0.25-2 ug/ml

Immunohistochemistry

1:50 - 1:200

Immunohistochemistry-Paraffin

1:50 - 1:200
Application Notes
For IHC-Paraffin, HIER pH 6 retrieval is recommended. ICC/IF Fixation Permeabilization: Use PFA/Triton X-100.

Formulation, Preparation, and Storage

Purification

Affinity purified

Formulation

PBS (pH 7.2) and 40% Glycerol

Format

BSA Free

Preservative

0.02% Sodium Azide

Concentration

Concentrations vary lot to lot. See vial label for concentration. If unlisted please contact technical services.

Shipping

The product is shipped with polar packs. Upon receipt, store it immediately at the temperature recommended below.

Stability & Storage

Store at 4C short term. Aliquot and store at -20C long term. Avoid freeze-thaw cycles.

Background: MCM9

MCMDC1 - minichromosome maintenance deficient domain containing 1

Alternate Names

C6orf61, chromosome 6 open reading frame 61, dJ329L24.1, dJ329L24.3, DNA replication licensing factor MCM9, FLJ13942, FLJ20170, FLJ56845, hMCM9, MCMDC1, MGC35304, minichromosome maintenance complex component 9, Mini-chromosome maintenance deficient 9, minichromosome maintenance deficient domain containing 1, Mini-chromosome maintenance deficient domain-containing protein 1

Gene Symbol

MCM9

Additional MCM9 Products

Product Documents for MCM9 Antibody - BSA Free

Certificate of Analysis

To download a Certificate of Analysis, please enter a lot number in the search box below.

Product Specific Notices for MCM9 Antibody - BSA Free

This product is for research use only and is not approved for use in humans or in clinical diagnosis. Primary Antibodies are guaranteed for 1 year from date of receipt.

Loading...
Loading...
Loading...
Loading...