Skip to main content

MCM5 Antibody - BSA Free

Novus Biologicals, part of Bio-Techne | Catalog # NBP3-35353

Novus Biologicals, part of Bio-Techne
Catalog #
Availability
Size / Price
Qty
Loading...
NBP3-35353-20ul
NBP3-35353-100ul

Key Product Details

Species Reactivity

Human, Mouse, Rat

Applications

ELISA, Immunocytochemistry/ Immunofluorescence, Immunohistochemistry, Immunohistochemistry-Paraffin, Immunoprecipitation, Western Blot

Label

Unconjugated

Antibody Source

Polyclonal Rabbit IgG

Format

BSA Free

Concentration

Please see the vial label for concentration. If unlisted please contact technical services.

Product Specifications

Immunogen

Recombinant fusion protein containing a sequence corresponding to amino acids 1-230 of human MCM5 (NP_006730.2).

Sequence:
MSGFDDPGIFYSDSFGGDAQADEGQARKSQLQRRFKEFLRQYRVGTDRTGFTFKYRDELKRHYNLGEYWIEVEMEDLASFDEDLADYLYKQPAEHLQLLEEAAKEVADEVTRPRPSGEEVLQDIQVMLKSDASPSSIRSLKSDMMSHLVKIPGIIIAASAVRAKATRISIQCRSCRNTLTNIAMRPGLEGYALPRKCNTDQAGRPKCPLDPYFIMPDKCKCVDFQTLKLQ

Clonality

Polyclonal

Host

Rabbit

Isotype

IgG

Theoretical MW

82 kDa.
Disclaimer note: The observed molecular weight of the protein may vary from the listed predicted molecular weight due to post translational modifications, post translation cleavages, relative charges, and other experimental factors.

Description

Novus Biologicals Rabbit MCM5 Antibody - BSA Free (NBP3-35353) is a polyclonal antibody validated for use in IHC, WB, ELISA, ICC/IF and IP. All Novus Biologicals antibodies are covered by our 100% guarantee.

Scientific Data Images for MCM5 Antibody - BSA Free

MCM5 Antibody

Immunoprecipitation: MCM5 Antibody [NBP3-35353] -

Immunoprecipitation: MCM5 Antibody [NBP3-35353] - Immunoprecipitation analysis of 300 ug extracts of Raji cells using 3 ug MCM5 antibody. Western blot was performed from the immunoprecipitate using MCM5 antibody at a dilution of 1:1000.
MCM5 Antibody

Western Blot: MCM5 Antibody [NBP3-35353] -

Western Blot: MCM5 Antibody [NBP3-35353] - Western blot analysis of various lysates using MCM5 Rabbit pAb at 1:1000 dilution.
Secondary antibody: HRP-conjugated Goat anti-Rabbit IgG (H+L) at 1:10000 dilution.
Lysates/proteins: 25ug per lane.
Blocking buffer: 3% nonfat dry milk in TBST.
Detection: ECL Basic Kit.
Exposure time: 1s.
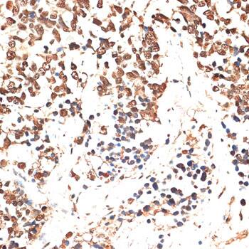
MCM5 Antibody

Immunohistochemistry: MCM5 Antibody [NBP3-35353] -

Immunohistochemistry: MCM5 Antibody [NBP3-35353] - Immunohistochemistry analysis of paraffin-embedded Human lung cancer using MCM5 Rabbit pAb at dilution of 1:100 (40x lens). Microwave antigen retrieval performed with 0.01M PBS Buffer (pH 7.2) prior to IHC staining.

Applications for MCM5 Antibody - BSA Free

Application
Recommended Usage

Immunocytochemistry/ Immunofluorescence

1:50 - 1:200

Immunohistochemistry-Paraffin

1:50 - 1:200

Immunoprecipitation

0.5ug - 4ug antibody for 200ug - 400ug extracts of whole cells

Western Blot

1:500 - 1:2000

Formulation, Preparation, and Storage

Purification

Affinity purified

Formulation

PBS (pH 7.3), 50% glycerol

Format

BSA Free

Preservative

0.02% Sodium Azide

Concentration

Please see the vial label for concentration. If unlisted please contact technical services.

Shipping

The product is shipped with polar packs. Upon receipt, store it immediately at the temperature recommended below.

Stability & Storage

Store at -20C. Avoid freeze-thaw cycles.

Background: MCM5

MCM5 (Mini Chromosome Maintenance protein-5) is involved in the control of DNA replication. MCM proteins have DNA dependent ATPase motifs in their central domain which is conserved from yeast to mammals. MCM proteins form a complex which exhibits ATPase and helicase activities. In G0 phase levels of MCM 2 and 5 are lower than that of MCM7 and 3 but increase as the cell enters G1/S phase of the cell cycle. It has been reported that immunocytochemical assessment of Mcm5 expression may be of value in improving the accuracy of cervical smear testing for the detection of malignancy.

Alternate Names

CDC46 homolog, CDC46DNA replication licensing factor MCM5, EC 3.6.4.12, MCM5 minichromosome maintenance deficient 5, cell division cycle 46, MCM5 minichromosome maintenance deficient 5, cell division cycle 46 (S.cerevisiae), MGC5315, minichromosome maintenance complex component 5, minichromosome maintenance deficient (S. cerevisiae) 5 (cell division cycle 46), minichromosome maintenance deficient 5 (cell division cycle 46), P1-CDC46

Gene Symbol

MCM5

Additional MCM5 Products

Product Documents for MCM5 Antibody - BSA Free

Certificate of Analysis

To download a Certificate of Analysis, please enter a lot number in the search box below.

Product Specific Notices for MCM5 Antibody - BSA Free

This product is for research use only and is not approved for use in humans or in clinical diagnosis. Primary Antibodies are guaranteed for 1 year from date of receipt.

Loading...
Loading...
Loading...
Loading...