Skip to main content

MCM3AP Antibody - BSA Free

Novus Biologicals, part of Bio-Techne | Catalog # NBP3-46263

Novus Biologicals, part of Bio-Techne
Catalog #
Availability
Size / Price
Qty
Loading...
NBP3-46263

Key Product Details

Species Reactivity

Human, Mouse, Rat

Applications

ELISA, Immunocytochemistry/ Immunofluorescence, Immunohistochemistry, Immunoprecipitation, Western Blot

Label

Unconjugated

Antibody Source

Polyclonal Rabbit IgG

Format

BSA Free

Concentration

Please see the vial label for concentration. If unlisted please contact technical services.

Product Specifications

Immunogen

minichromosome maintenance complex component 3 associated protein. (Uniprot# O60318)

Clonality

Polyclonal

Host

Rabbit

Isotype

IgG

Theoretical MW

80 kDa.
Disclaimer note: The observed molecular weight of the protein may vary from the listed predicted molecular weight due to post translational modifications, post translation cleavages, relative charges, and other experimental factors.

Description

Novus Biologicals Rabbit MCM3AP Antibody - BSA Free (NBP3-46263) is a polyclonal antibody validated for use in IHC, WB, ELISA, ICC/IF and IP. All Novus Biologicals antibodies are covered by our 100% guarantee.

Scientific Data Images for MCM3AP Antibody - BSA Free

MCM3AP Antibody - BSA Free

Western Blot: MCM3AP Antibody - BSA Free [NBP3-46263] -

Western Blot: MCM3AP Antibody - BSA Free [NBP3-46263] - Mouse brain tissue were subjected to SDS PAGE followed by western blot with (MCM3AP antibody) at dilution of 1:300
MCM3AP Antibody - BSA Free

Immunoprecipitation: MCM3AP Antibody - BSA Free [NBP3-46263] -

Immunoprecipitation: MCM3AP Antibody - BSA Free [NBP3-46263] - IP Result of anti-MCM3AP (IP:, 4ug; Detection: 1:500) with mouse brain tissue lysate 4000ug.
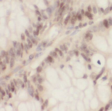
MCM3AP Antibody - BSA Free

Immunohistochemistry: MCM3AP Antibody - BSA Free [NBP3-46263] -

Immunohistochemistry: MCM3AP Antibody - BSA Free [NBP3-46263] - Immunohistochemistry of paraffin-embedded human colon cancer using (MCM3AP antibody) at dilution of 1:50

Applications for MCM3AP Antibody - BSA Free

Application
Recommended Usage

Immunocytochemistry/ Immunofluorescence

1:20-1:200

Immunohistochemistry

1:10-1:100

Immunoprecipitation

1:500-1:1000

Western Blot

1:200-1:1000

Formulation, Preparation, and Storage

Purification

Immunogen affinity purified

Formulation

PBS, 50% Glycerol, pH (7.3)

Format

BSA Free

Preservative

0.02% Sodium Azide

Concentration

Please see the vial label for concentration. If unlisted please contact technical services.

Shipping

The product is shipped with polar packs. Upon receipt, store it immediately at the temperature recommended below.

Stability & Storage

Store at -20C. Avoid freeze-thaw cycles.

Background: MCM3AP

The mini-chromosome maintenance (MCM) family of proteins, including MCM2, MCM3, MCM4 (Cdc21), MCM5 (Cdc46), MCM6 (Mis5) and MCM7 (Cdc47), are regulators of DNA replication that act to ensure replication occurs only once in the cell cycle. Expression of MCM proteins increases during cell growth, peaking at G1 to S phase. The MCM proteins each contain an ATP-binding motif, which is predicted to mediate ATP-dependent opening of double-stranded DNA. MCM proteins are regulated by E2F transcription factors, which induce MCM expression, and by protein kinases, which interact with MCM proteins to maintain the postreplicative state of the cell. MCM2/MCM4 complexes function as substrates for Cdc2/cyclin B in vitro. Cleavage of MCM3, which can be prevented by caspase inhibitors, results in the inactivation of the MCM complex (composed of at least MCM proteins 2

Alternate Names

80 kDa MCM3-associated protein, FLJ44336, GANPFLJ45306, human mRNA for MCM3 import factor10Protein GANP, KIAA0572MAP80germinal center-associated nuclear protein, Map80, MCM3 import protein, MCM3 minichromosome maintenance deficient 3 (S. cerevisiae) associated protein, MCM3 minichromosome maintenance deficient 3 associated protein, minichromosome maintenance complex component 3 associated protein, minichromosome maintenance deficient (S. cerevisiae) 3-associated protein, minichromosome maintenance deficient 3-associated protein

Gene Symbol

MCM3AP

Additional MCM3AP Products

Product Documents for MCM3AP Antibody - BSA Free

Certificate of Analysis

To download a Certificate of Analysis, please enter a lot number in the search box below.

Product Specific Notices for MCM3AP Antibody - BSA Free

This product is for research use only and is not approved for use in humans or in clinical diagnosis. Primary Antibodies are guaranteed for 1 year from date of receipt.

Loading...
Loading...
Loading...
Loading...