Skip to main content

MCHR2 Antibody - BSA Free

Novus Biologicals, part of Bio-Techne | Catalog # NLS1907

Novus Biologicals, part of Bio-Techne
Catalog #
Availability
Size / Price
Qty
Loading...
NLS1907

Key Product Details

Species Reactivity

Validated:

Human

Predicted:

Primate (95%). Backed by our 100% Guarantee.

Applications

Immunocytochemistry, Immunohistochemistry, Immunohistochemistry-Paraffin

Label

Unconjugated

Antibody Source

Polyclonal Rabbit IgG

Format

BSA Free

Concentration

1.0 mg/ml

Product Specifications

Immunogen

Synthetic 19 amino acid peptide from C-terminus of human MCHR2.

Epitope

C-Terminus

Reactivity Notes

Predicted cross-reactivity based on sequence identity: Gorilla (95%), Gibbon (89%), Monkey (84%), Marmoset (84%).

Specificity

Human MCHR2. BLAST analysis of the peptide immunogen showed no homology with other human proteins.

Clonality

Polyclonal

Host

Rabbit

Isotype

IgG

Description

Product can be stored undiluted at 4C for up to 1 month.

Scientific Data Images for MCHR2 Antibody - BSA Free

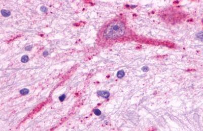
Immunohistochemistry-Paraffin: MCHR2 Antibody - BSA Free [NLS1907]

Immunohistochemistry-Paraffin: MCHR2 Antibody - BSA Free [NLS1907]

Immunohistochemistry-Paraffin: MCHR2 Antibody [NLS1907] - Human brain, neurons. Immunohistochemistry of formalin-fixed, paraffin-embedded tissue after heat-induced antigen retrieval.
Immunohistochemistry-Paraffin: MCHR2 Antibody - BSA Free [NLS1907]

Immunohistochemistry-Paraffin: MCHR2 Antibody - BSA Free [NLS1907]

Immunohistochemistry-Paraffin: MCHR2 Antibody [NLS1907] - Analysis of transfected cells expressing MCHR2 using NLS1907 at 21 ug/ ml.
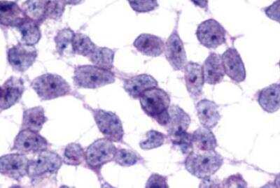
Immunohistochemistry-Paraffin: MCHR2 Antibody - BSA Free [NLS1907]

Immunohistochemistry-Paraffin: MCHR2 Antibody - BSA Free [NLS1907]

Immunohistochemistry-Paraffin: MCHR2 Antibody [NLS1907] - Staining of untransfected HEK293 human embryonic kidney cells.

Applications for MCHR2 Antibody - BSA Free

Application
Recommended Usage

Immunocytochemistry

10 - 20 ug/ml

Immunohistochemistry-Paraffin

21 ug/ml
Application Notes
.

Formulation, Preparation, and Storage

Purification

Immunogen affinity purified

Formulation

PBS

Format

BSA Free

Preservative

0.1% Sodium Azide

Concentration

1.0 mg/ml

Shipping

The product is shipped with polar packs. Upon receipt, store it immediately at the temperature recommended below.

Stability & Storage

Keep as concentrated solution. Aliquot and store at -20C or below. Avoid multiple freeze-thaw cycles.

Background: MCHR2

The G protein-coupled receptor SLT/MCH2 (MCH2) is a Melanin-Concentrating Hormone Receptor. Melanin-concentrating hormone plays an important role in the control of feeding behaviors and energy metabolism. Unlike MCH1, MCH2 signaling is not sensitive to pertussis toxin, and MCH2 cannot reduce forskolin-stimulated cAMP production. MCH2 is expressed predominantly in the brain. One EST has been isolated from a brain library.

Long Name

Melanin-concentrating Hormone Receptor 2

Alternate Names

GPR145, GPRv17, SLT

Entrez Gene IDs

84539 (Human)

Gene Symbol

MCHR2

Additional MCHR2 Products

Product Documents for MCHR2 Antibody - BSA Free

Certificate of Analysis

To download a Certificate of Analysis, please enter a lot number in the search box below.

Product Specific Notices for MCHR2 Antibody - BSA Free

This product is for research use only and is not approved for use in humans or in clinical diagnosis. Primary Antibodies are guaranteed for 1 year from date of receipt.

Loading...
Loading...
Loading...
Loading...