Skip to main content

MCCC2 Antibody - BSA Free

Novus Biologicals, part of Bio-Techne | Catalog # NBP3-38493

Novus Biologicals, part of Bio-Techne
Catalog #
Availability
Size / Price
Qty
Loading...
NBP3-38493-20ul
NBP3-38493-100ul

Key Product Details

Species Reactivity

Human, Mouse, Rat

Applications

ELISA, Immunohistochemistry, Immunohistochemistry-Paraffin, Western Blot

Label

Unconjugated

Antibody Source

Polyclonal Rabbit IgG

Format

BSA Free

Concentration

Please see the vial label for concentration. If unlisted please contact technical services.

Product Specifications

Immunogen

Recombinant fusion protein containing a sequence corresponding to amino acids 284-563 of human MCCC2 (NP_071415.1).

Sequence:
LHLTRKVVRNLNYQKKLDVTIEPSEEPLFPADELYGIVGANLKRSFDVREVIARIVDGSRFTEFKAFYGDTLVTGFARIFGYPVGIVGNNGVLFSESAKKGTHFVQLCCQRNIPLLFLQNITGFMVGREYEAEGIAKDGAKMVAAVACAQVPKITLIIGGSYGAGNYGMCGRAYSPRFLYIWPNARISVMGGEQAANVLATITKDQRAREGKQFSSADEAALKEPIIKKFEEEGNPYYSSARVWDDGIIDPADTRLVLGLSFSAALNAPIEKTDFGIFRM

Clonality

Polyclonal

Host

Rabbit

Isotype

IgG

Theoretical MW

61 kDa.
Disclaimer note: The observed molecular weight of the protein may vary from the listed predicted molecular weight due to post translational modifications, post translation cleavages, relative charges, and other experimental factors.

Description

Novus Biologicals Rabbit MCCC2 Antibody - BSA Free (NBP3-38493) is a polyclonal antibody validated for use in IHC, WB and ELISA. All Novus Biologicals antibodies are covered by our 100% guarantee.

Scientific Data Images for MCCC2 Antibody - BSA Free

MCCC2 Antibody

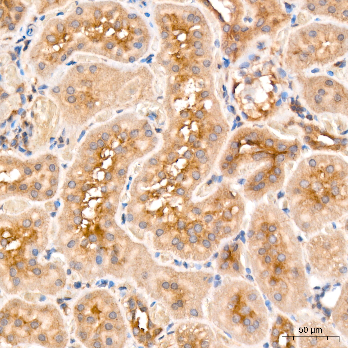
Immunohistochemistry: MCCC2 Antibody [NBP3-38493] -

Immunohistochemistry: MCCC2 Antibody [NBP3-38493] - Immunohistochemistry analysis of MCCC2 in paraffin-embedded rat kidney tissue using MCCC2 Rabbit pAb at a dilution of 1:200 (40x lens). High pressure antigen retrieval was performed with 0.01 M citrate buffer (pH 6.0) prior to IHC staining.
MCCC2 Antibody

Western Blot: MCCC2 Antibody [NBP3-38493] -

Western Blot: MCCC2 Antibody [NBP3-38493] - Western Blot analysis of various lysates using MCCC2 Rabbit pAb at 1:2000 dilution.
Secondary antibody: HRP Goat Anti-Rabbit IgG (H+L) at 1:10000 dilution.
Lysates/proteins: 25 ug per lane.
Blocking buffer: 3% nonfat dry milk in TBST.
Detection: ECL Basic Kit.
Negative control (NC): MOLT-4.
Exposure time: 30s.
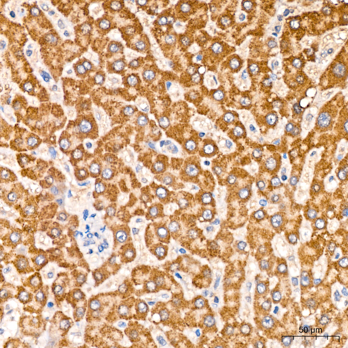
MCCC2 Antibody

Immunohistochemistry: MCCC2 Antibody [NBP3-38493] -

Immunohistochemistry: MCCC2 Antibody [NBP3-38493] - Immunohistochemistry analysis of MCCC2 in paraffin-embedded human liver tissue using MCCC2 Rabbit pAb at a dilution of 1:200 (40x lens). High pressure antigen retrieval was performed with 0.01 M citrate buffer (pH 6.0) prior to IHC staining.

Applications for MCCC2 Antibody - BSA Free

Application
Recommended Usage

Immunohistochemistry-Paraffin

1:50 - 1:200

Western Blot

1:500 - 1:2000

Formulation, Preparation, and Storage

Purification

Affinity purified

Formulation

PBS (pH 7.3), 50% glycerol

Format

BSA Free

Preservative

0.02% Sodium Azide

Concentration

Please see the vial label for concentration. If unlisted please contact technical services.

Shipping

The product is shipped with polar packs. Upon receipt, store it immediately at the temperature recommended below.

Stability & Storage

Store at -20C. Avoid freeze-thaw cycles.

Background: MCCC2

MCCC2 encodes the small subunit of 3-methylcrotonyl-CoA carboxylase. This enzyme functions as a heterodimer and catalyzes the carboxylation of 3-methylcrotonyl-CoA to form 3-methylglutaconyl-CoA. Mutations in this gene are associated with 3-Methylcrotonylglycinuria, an autosomal recessive disorder of leucine catabolism.

Alternate Names

3-methylcrotonyl-CoA:carbon dioxide ligase subunit beta, MCCase subunit beta, MCCBEC 6.4.1.4, methylcrotonoyl-CoA carboxylase 2 (beta), methylcrotonoyl-Coenzyme A carboxylase 2 (beta), mitochondrial, non-biotin containing subunit of 3-methylcrotonyl-CoA carboxylase

Gene Symbol

MCCC2

Additional MCCC2 Products

Product Documents for MCCC2 Antibody - BSA Free

Certificate of Analysis

To download a Certificate of Analysis, please enter a lot number in the search box below.

Product Specific Notices for MCCC2 Antibody - BSA Free

This product is for research use only and is not approved for use in humans or in clinical diagnosis. Primary Antibodies are guaranteed for 1 year from date of receipt.

Loading...
Loading...
Loading...
Loading...