Skip to main content

MCCC2 Antibody - BSA Free

Novus Biologicals, part of Bio-Techne | Catalog # NBP2-38930

Novus Biologicals, part of Bio-Techne
Catalog #
Availability
Size / Price
Qty
Loading...
NBP2-38930
NBP2-38930-25ul

Key Product Details

Validated by

Orthogonal Validation, Independent Antibodies

Species Reactivity

Validated:

Human

Predicted:

Mouse (94%), Rat (93%). Backed by our 100% Guarantee.

Applications

Immunohistochemistry, Immunohistochemistry-Paraffin, Western Blot, Immunocytochemistry/ Immunofluorescence

Label

Unconjugated

Antibody Source

Polyclonal Rabbit IgG

Format

BSA Free

Concentration

Concentrations vary lot to lot. See vial label for concentration. If unlisted please contact technical services.

Product Specifications

Immunogen

This antibody was developed against a recombinant protein corresponding to amino acids: LPCIYLVDSGGAYLPRQADVFPDRDHFGRTFYNQAIMSSKNIAQIAVVMGSCTAGGAYVPAMADENIIVRKQGTIFLAGP

Clonality

Polyclonal

Host

Rabbit

Isotype

IgG

Description

Novus Biologicals Rabbit MCCC2 Antibody - BSA Free (NBP2-38930) is a polyclonal antibody validated for use in IHC, WB and ICC/IF. All Novus Biologicals antibodies are covered by our 100% guarantee.

Scientific Data Images for MCCC2 Antibody - BSA Free

Immunohistochemistry-Paraffin: MCCC2 Antibody [NBP2-38930]

Immunohistochemistry-Paraffin: MCCC2 Antibody [NBP2-38930]

Immunohistochemistry-Paraffin: MCCC2 Antibody [NBP2-38930] - Staining in human kidney and skeletal muscle tissues using anti-MCCC2 antibody. Corresponding MCCC2 RNA-seq data are presented for the same tissues.
Immunohistochemistry-Paraffin: MCCC2 Antibody [NBP2-38930]

Immunohistochemistry-Paraffin: MCCC2 Antibody [NBP2-38930]

Immunohistochemistry-Paraffin: MCCC2 Antibody [NBP2-38930] - Staining of human kidney, liver, skeletal muscle and skin using Anti-MCCC2 antibody NBP2-38930 (A) shows similar protein distribution across tissues to independent antibody NBP2-38403 (B).
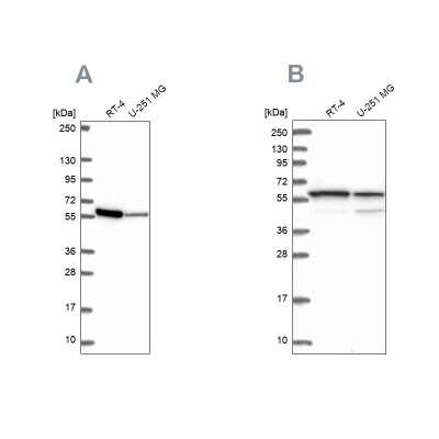
Western Blot: MCCC2 Antibody [NBP2-38930]

Western Blot: MCCC2 Antibody [NBP2-38930]

Western Blot: MCCC2 Antibody [NBP2-38930] - Analysis using Anti-MCCC2 antibody NBP2-38930 (A) shows similar pattern to independent antibody NBP1-82794 (B).

Applications for MCCC2 Antibody - BSA Free

Application
Recommended Usage

Immunocytochemistry/ Immunofluorescence

0.25-2 ug/ml

Immunohistochemistry

1:500 - 1:1000

Immunohistochemistry-Paraffin

1:500 - 1:1000

Western Blot

0.04-0.4 ug/ml
Application Notes
For IHC-Paraffin, HIER pH 6 retrieval is recommended. ICC/IF Fixation Permeabilization: Use PFA/Triton X-100.

Formulation, Preparation, and Storage

Purification

Affinity purified

Formulation

PBS (pH 7.2) and 40% Glycerol

Format

BSA Free

Preservative

0.02% Sodium Azide

Concentration

Concentrations vary lot to lot. See vial label for concentration. If unlisted please contact technical services.

Shipping

The product is shipped with polar packs. Upon receipt, store it immediately at the temperature recommended below.

Stability & Storage

Store at 4C short term. Aliquot and store at -20C long term. Avoid freeze-thaw cycles.

Background: MCCC2

MCCC2 encodes the small subunit of 3-methylcrotonyl-CoA carboxylase. This enzyme functions as a heterodimer and catalyzes the carboxylation of 3-methylcrotonyl-CoA to form 3-methylglutaconyl-CoA. Mutations in this gene are associated with 3-Methylcrotonylglycinuria, an autosomal recessive disorder of leucine catabolism.

Alternate Names

3-methylcrotonyl-CoA:carbon dioxide ligase subunit beta, MCCase subunit beta, MCCBEC 6.4.1.4, methylcrotonoyl-CoA carboxylase 2 (beta), methylcrotonoyl-Coenzyme A carboxylase 2 (beta), mitochondrial, non-biotin containing subunit of 3-methylcrotonyl-CoA carboxylase

Gene Symbol

MCCC2

UniProt

Additional MCCC2 Products

Product Documents for MCCC2 Antibody - BSA Free

Certificate of Analysis

To download a Certificate of Analysis, please enter a lot number in the search box below.

Product Specific Notices for MCCC2 Antibody - BSA Free

This product is for research use only and is not approved for use in humans or in clinical diagnosis. Primary Antibodies are guaranteed for 1 year from date of receipt.

Loading...
Loading...
Loading...
Loading...