Skip to main content

MCCC2 Antibody - BSA Free

Novus Biologicals, part of Bio-Techne | Catalog # NBP2-17237

Novus Biologicals, part of Bio-Techne
Catalog #
Availability
Size / Price
Qty
Loading...
NBP2-17237

Key Product Details

Species Reactivity

Human

Applications

Immunohistochemistry, Immunohistochemistry-Paraffin, Western Blot, Immunocytochemistry/ Immunofluorescence

Label

Unconjugated

Antibody Source

Polyclonal Rabbit IgG

Format

BSA Free

Concentration

Concentrations vary lot to lot. See vial label for concentration. If unlisted please contact technical services.

Product Specifications

Immunogen

Recombinant protein encompassing a sequence within the center region of human MCCC2. The exact sequence is proprietary.

Localization

Mitochondrion matrix

Clonality

Polyclonal

Host

Rabbit

Isotype

IgG

Theoretical MW

61 kDa.
Disclaimer note: The observed molecular weight of the protein may vary from the listed predicted molecular weight due to post translational modifications, post translation cleavages, relative charges, and other experimental factors.

Description

Novus Biologicals Rabbit MCCC2 Antibody - BSA Free (NBP2-17237) is a polyclonal antibody validated for use in IHC, WB and ICC/IF. All Novus Biologicals antibodies are covered by our 100% guarantee.

Scientific Data Images for MCCC2 Antibody - BSA Free

Western Blot: MCCC2 Antibody [NBP2-17237]

Western Blot: MCCC2 Antibody [NBP2-17237]

Western Blot: MCCC2 Antibody [NBP2-17237] - A. 30 ug 293T whole cell lysate/extract B. 30 ug A431 whole cell lysate/extract C. 30 ug HepG2 whole cell lysate/extract 10 % SDS-PAGE MCCC2 antibody dilution: 1:1000.
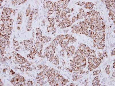
Immunohistochemistry-Paraffin: MCCC2 Antibody [NBP2-17237]

Immunohistochemistry-Paraffin: MCCC2 Antibody [NBP2-17237]

Immunohistochemistry-Paraffin: MCCC2 Antibody [NBP2-17237] - Immunohistochemical analysis of paraffin-embedded Breast ca, using antibody at 1:250 dilution.
MCCC2 Antibody - BSA Free

Immunocytochemistry/ Immunofluorescence: MCCC2 Antibody [NBP2-17237] -

MCCC2 antibody detects MCCC2 protein at Mitochondria by immunofluorescent analysis.
Sample: HeLa cells were fixed in 2% paraformaldehyde/culture medium at 37C for 30 min.
Green: MCCC2 protein stained by MCCC2 antibody (NBP2-17237) diluted at 1:500.
Blue: Hoechst 33343 staining.

Applications for MCCC2 Antibody - BSA Free

Application
Recommended Usage

Immunocytochemistry/ Immunofluorescence

1:100-1:1000

Immunohistochemistry

10 - 1:500

Immunohistochemistry-Paraffin

1:100-1:1000

Western Blot

1:500-1:3000

Formulation, Preparation, and Storage

Purification

Antigen Affinity-purified

Formulation

0.1M Tris, 0.1M Glycine, 20% Glycerol

Format

BSA Free

Preservative

0.01% Thimerosal

Concentration

Concentrations vary lot to lot. See vial label for concentration. If unlisted please contact technical services.

Shipping

The product is shipped with polar packs. Upon receipt, store it immediately at the temperature recommended below.

Stability & Storage

Aliquot and store at -20C or -80C. Avoid freeze-thaw cycles.

Background: MCCC2

This gene encodes the small subunit of 3-methylcrotonyl-CoA carboxylase. This enzyme functions as a heterodimer and catalyzes the carboxylation of 3-methylcrotonyl-CoA to form 3-methylglutaconyl-CoA. Mutations in this gene are associated with 3-Methylcrotonylglycinuria, an autosomal recessive disorder of leucine catabolism. [provided by RefSeq]

Alternate Names

3-methylcrotonyl-CoA:carbon dioxide ligase subunit beta, MCCase subunit beta, MCCBEC 6.4.1.4, methylcrotonoyl-CoA carboxylase 2 (beta), methylcrotonoyl-Coenzyme A carboxylase 2 (beta), mitochondrial, non-biotin containing subunit of 3-methylcrotonyl-CoA carboxylase

Gene Symbol

MCCC2

UniProt

Additional MCCC2 Products

Product Documents for MCCC2 Antibody - BSA Free

Certificate of Analysis

To download a Certificate of Analysis, please enter a lot number in the search box below.

Product Specific Notices for MCCC2 Antibody - BSA Free

This product is for research use only and is not approved for use in humans or in clinical diagnosis. Primary Antibodies are guaranteed for 1 year from date of receipt.

Loading...
Loading...
Loading...
Loading...

⚠ WARNING: This product can expose you to chemicals including mercury, which is known to the State of California to cause reproductive toxicity with developmental effects.  For more information go to www.P65Warnings.ca.gov.