Skip to main content

MBD4 Antibody - BSA Free

Novus Biologicals, part of Bio-Techne | Catalog # NBP1-91189

Novus Biologicals, part of Bio-Techne

Key Product Details

Species Reactivity

Validated:

Human, Mouse (Negative)

Cited:

Human

Applications

Validated:

Immunohistochemistry, Immunohistochemistry-Paraffin, Immunocytochemistry/ Immunofluorescence, Western Blot (Negative)

Cited:

Immunocytochemistry/ Immunofluorescence, IF/IHC

Label

Unconjugated

Antibody Source

Polyclonal Rabbit IgG

Format

BSA Free

Concentration

1.11 mg/ml

Product Specifications

Immunogen

A synthetic peptide made to an internal portion of the human MBD4 protein (between residues 200-250) [UniProt O95243]

Reactivity Notes

Does not react with mouse.

Localization

Nucleus.

Clonality

Polyclonal

Host

Rabbit

Isotype

IgG

Description

Novus Biologicals Rabbit MBD4 Antibody - BSA Free (NBP1-91189) is a polyclonal antibody validated for use in IHC and ICC/IF. Anti-MBD4 Antibody: Cited in 1 publication. All Novus Biologicals antibodies are covered by our 100% guarantee.

Scientific Data Images for MBD4 Antibody - BSA Free

Immunocytochemistry/ Immunofluorescence: MBD4 Antibody - BSA Free [NBP1-91189]

Immunocytochemistry/ Immunofluorescence: MBD4 Antibody - BSA Free [NBP1-91189]

Immunocytochemistry/Immunofluorescence: MBD4 Antibody [NBP1-91189] - MBD4 antibody was tested in HeLa cells with FITC (green). Nuclei and alpha-tubulin were counterstained with DAPI (blue) and Dylight 550 (red).
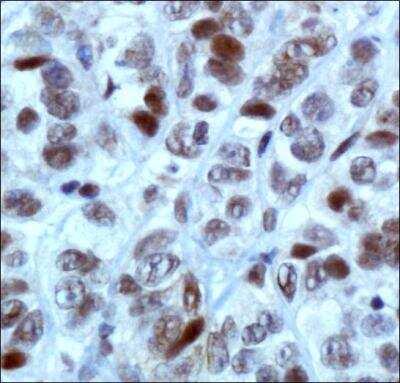
Immunohistochemistry: MBD4 Antibody - BSA Free [NBP1-91189]

Immunohistochemistry: MBD4 Antibody - BSA Free [NBP1-91189]

Immunohistochemistry: MBD4 Antibody [NBP1-91189] - IHC analysis of MBD4 in human breast cancer cells using DAB with hematoxylin counterstain.

Applications for MBD4 Antibody - BSA Free

Application
Recommended Usage

Immunocytochemistry/ Immunofluorescence

1:200

Immunohistochemistry

1:400

Immunohistochemistry-Paraffin

1:400
Application Notes
This MBD4 antibody is useful for Immunocytochemistry/Immunofluorescence and IHC-paraffin embedded sections. In ICC/IF, nuclear staining was observed in HeLa cells. In IHC-P, staining was observed in the nucleus of human breast cancer tissue. Prior to immunostaining paraffin tissues, antigen retrieval with sodium citrate buffer (pH 6.0) is recommended. This antibody is not applicable for Western Blot.

Formulation, Preparation, and Storage

Purification

Immunogen affinity purified

Formulation

PBS and 30% Glycerol

Format

BSA Free

Preservative

0.05% Sodium Azide

Concentration

1.11 mg/ml

Shipping

The product is shipped with polar packs. Upon receipt, store it immediately at the temperature recommended below.

Stability & Storage

Store at 4C short term. Aliquot and store at -20C long term. Avoid freeze-thaw cycles.

Background: MBD4

MBD4, methyl-CpG binding domain protein 4 (MED1), is part of the mammalian DNA glycosylase superfamily. MBD4 may be involved in maintaining genome stability, epigenetics via DNA methylation, as well as carcinogenesis. MBD4 has an amino-proximal methyl-CpG binding domain and a C-terminal mismatch-specific glycosylase domain. This configuration is thought to help maintain genome stability (PMID: 21820404). Proteins with methylcytosine-binding domains act as transcriptional repressors via promoter methylation, as well as promote the gene-silencing effect of DNA methylation. A study of patients with primary immune thrombocytopenia has shown that a decrease in expression of MBD4 may be involved with the pathogenesis of the disease (PMID: 21377502). Additionally, MBD4 has been shown to be a human DNA repair protein that is possibly involved in DNA mismatch repair. Furthermore, a study investigating microsatellite instability found that the MBD4 codon 346 polymorphism may be a factor in colorectal cancer susceptibility in the Korean population (PMID: 19469655).

Long Name

Methyl-CpG Binding Domain Protein 4

Alternate Names

EC 3.2.2.-, G/T mismatch glycosylase, G/U mismatch glycosylase, MED1G/5-fluorouracil mismatch glycosylase with biphasic kinetics, methyl-CpG binding domain protein 4, methyl-CpG-binding domain protein 43,N(4)-ethenocytosine glycosylase, Methyl-CpG-binding endonuclease 1, Methyl-CpG-binding protein MBD4, Mismatch-specific DNA N-glycosylase, putative methyl-CpG binding protein

Entrez Gene IDs

8930 (Human)

Gene Symbol

MBD4

UniProt

Additional MBD4 Products

Product Documents for MBD4 Antibody - BSA Free

Certificate of Analysis

To download a Certificate of Analysis, please enter a lot number in the search box below.

Product Specific Notices for MBD4 Antibody - BSA Free

This product is for research use only and is not approved for use in humans or in clinical diagnosis. Primary Antibodies are guaranteed for 1 year from date of receipt.

Loading...
Loading...
Loading...
Loading...