Skip to main content

MBD1 Antibody (100B272.1) - BSA Free

Novus Biologicals, part of Bio-Techne | Catalog # NB100-56537

Novus Biologicals, part of Bio-Techne
Catalog #
Availability
Size / Price
Qty
Loading...
NB100-56537SS
NB100-56537

Key Product Details

Validated by

Knockout/Knockdown

Species Reactivity

Validated:

Human, Mouse

Cited:

Human, Mouse

Applications

Validated:

Immunohistochemistry, Immunohistochemistry-Paraffin, Immunohistochemistry-Frozen, Western Blot, Immunocytochemistry/ Immunofluorescence, Immunoprecipitation, Chromatin Immunoprecipitation, Chromatin Immunoprecipitation (ChIP), Knockdown Validated

Cited:

Immunohistochemistry-Frozen, Western Blot, Immunocytochemistry/ Immunofluorescence, Immunoprecipitation, Chemotaxis

Label

Unconjugated

Antibody Source

Monoclonal Mouse IgG1 Clone # 100B272.1

Format

BSA Free

Concentration

1.0 mg/ml

Product Specifications

Immunogen

This antibody was generated by immunizing mice with a synthetic peptide corresponding to amino acids 391-405 (SESEDGAGSPPPYRR) of human MBD1; GenBank no ref|NP_056671.2|

Reactivity Notes

Mouse reactivity reported in scientific literature (PMID: 25798578)

Specificity

There are many isoforms of human MBD1 ranging from 503 (~55 kDa) to 655 (~71 kDa) amino acids in length. Researchers are encouraged to use the provided immunogen sequence to determine if this antibody is suitable for testing a specific isoform of interest.

Clonality

Monoclonal

Host

Mouse

Isotype

IgG1

Description

Novus Biologicals Mouse MBD1 Antibody (100B272.1) - BSA Free (NB100-56537) is a monoclonal antibody validated for use in IHC, WB, ICC/IF, IP and ChIP. Anti-MBD1 Antibody: Cited in 10 publications. All Novus Biologicals antibodies are covered by our 100% guarantee.

Scientific Data Images for MBD1 Antibody (100B272.1) - BSA Free

Knockdown Validated: MBD1 Antibody (100B272.1) [NB100-56537]

Western Blot: MBD1 Antibody (100B272.1) [NB100-56537]

Western Blot: MBD1 Antibody (100B272.1) [NB100-56537] - blot shows lysates of HEK293T human embryonic kidney parental cell line and MBD1 knockout (KO) HEK293T cell line. PVDF membrane was probed with 2.0 ug/ml of Mouse Anti-Human MBD1 Monoclonal Antibody (Catalog # NB100-56537) followed by HRP-conjugated Anti-Mouse IgG Secondary Antibody (Catalog #HAF018). Specific band was detected for MBD1 at approximately 60 kDa (as indicated) in the parental HEK293T cell line, but is not detectable in the knockout HEK293T cell line. This experiment was conducted under reducing conditions.
Western Blot: MBD1 Antibody (100B272.1) [NB100-56537]

Western Blot: MBD1 Antibody (100B272.1) [NB100-56537]

Western Blot: MBD1 Antibody (100B272.1) [NB100-56537] - Analysis using Azide and BSA Free version of NB100-56537. Jurkat cell lysate using anti-MBD1 antibody. Image from verified customer review.
Immunocytochemistry/ Immunofluorescence: MBD1 Antibody (100B272.1) [NB100-56537]

Immunocytochemistry/ Immunofluorescence: MBD1 Antibody (100B272.1) [NB100-56537]

Immunocytochemistry/Immunofluorescence: MBD1 Antibody (100B272.1) [NB100-56537] - NIH3T3 cells were fixed for 10 minutes using 4% PFA and then permeabilized for 5 minutes using 1X PBS + 0.5% Triton-X100. The cells were incubated with anti-MBD1 (100B272.1) at 2 ug/ml overnight at 4C and detected with an anti-mouse Dylight 488 (Green) at a 1:500 dilution. Actin was detected with Phalloidin 568 (Red) at a 1:500 dilution. Nuclei were counterstained with DAPI (Blue). Cells were imaged using a 40X objective.

Applications for MBD1 Antibody (100B272.1) - BSA Free

Application
Recommended Usage

Chromatin Immunoprecipitation

1:10-1:500. Use reported in scientific literature (PMID 25798578)

Chromatin Immunoprecipitation (ChIP)

1:10-1:500

Immunocytochemistry/ Immunofluorescence

reported in scientific literature (PMID 24464130)

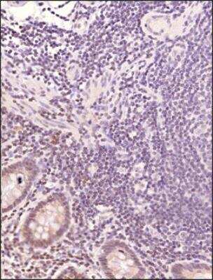
Immunohistochemistry

1:200

Immunohistochemistry-Frozen

reported in scientific literature (PMID 24464130)

Immunohistochemistry-Paraffin

1:200

Immunoprecipitation

1:10-1:500. Use reported in scientific literature (PMID 15327775)

Western Blot

2-4 ug/ml

Reviewed Applications

Read 2 reviews rated 4 using NB100-56537 in the following applications:

Formulation, Preparation, and Storage

Purification

Protein G purified

Formulation

PBS

Format

BSA Free

Preservative

0.02% Sodium Azide

Concentration

1.0 mg/ml

Shipping

The product is shipped with polar packs. Upon receipt, store it immediately at the temperature recommended below.

Stability & Storage

Store at 4C short term. Aliquot and store at -20C long term. Avoid freeze-thaw cycles.

Background: MBD1

DNA methylation, or the addition of methyl groups to cytosine bases in the dinucleotide CpG, is imperative to proper development and regulates gene expression. The methylation pattern involves the enzymatic processes of methylation and demethylation. The demethylation enzyme was recently found to be a mammalian protein, which exhibits demethylase activity associated to a methyl-CpG-binding domain (MBD). The enzyme is able to revert methylated cytosine bases to cytosines within the particular dinucleotide sequence mdCpdG by catalyzing the cleaving of the methyl group as methanol. MeCP2 and MBD1 (PCM1) are first found to repress transcription by binding specifically to methylated DNA. MBD2 and MBD4 (also known as MED1) were later found to colocalize with foci of heavily methylated satellite DNA and believed to mediate the biological functions of the methylation signal. Surprisingly, MBD3 does not bind methylated DNA both in vivo and in vitro. MBD1, MBD2, MBD3, and MBD4 are found to be expressed in somatic tissues, but the expression of MBD1 and MBD2 is reduced or absent in embryonic stem cells, which are known to be deficient in MeCP1 activity. MBD4 have homology to bacterial base excision repair DNA N-glycosylases/lyases. In some microsatellite unstable tumors MBD4 is mutated at an exonic polynucleotide tract.

Alternate Names

CXXC-type zinc finger protein 3, methyl-CpG binding domain protein 1, methyl-CpG binding domain protein 1 isoform PCM1, methyl-CpG-binding domain protein 1, Methyl-CpG-binding protein MBD1, PCM1CXXC3RFT, Protein containing methyl-CpG-binding domain 1, the regulator of fibroblast growth factor 2 (FGF-2) transcription

Gene Symbol

MBD1

UniProt

Additional MBD1 Products

Product Documents for MBD1 Antibody (100B272.1) - BSA Free

Certificate of Analysis

To download a Certificate of Analysis, please enter a lot number in the search box below.

Product Specific Notices for MBD1 Antibody (100B272.1) - BSA Free

This product is for research use only and is not approved for use in humans or in clinical diagnosis. Primary Antibodies are guaranteed for 1 year from date of receipt.

Loading...
Loading...
Loading...
Loading...