Skip to main content

Max Antibody - BSA Free

Novus Biologicals, part of Bio-Techne | Catalog # NBP1-49963

Novus Biologicals, part of Bio-Techne

Key Product Details

Species Reactivity

Validated:

Human

Cited:

Human

Predicted:

Chicken (100%), Feline (100%), Mouse (100%). Backed by our 100% Guarantee.

Applications

Validated:

Immunohistochemistry, Immunohistochemistry-Paraffin, Western Blot, Immunoprecipitation

Cited:

Immunohistochemistry-Paraffin, Western Blot

Label

Unconjugated

Antibody Source

Polyclonal Rabbit IgG

Format

BSA Free

Concentration

1.0 mg/ml

Product Specifications

Immunogen

The immunogen for this product maps to a region between residue 110 and 160 of human MYC Associated Factor X using the numbering given in entry NP_002373.3 (GeneID 4149).

Reactivity Notes

Cat (100%).

Clonality

Polyclonal

Host

Rabbit

Isotype

IgG

Description

Novus Biologicals Rabbit Max Antibody - BSA Free (NBP1-49963) is a polyclonal antibody validated for use in IHC, WB and IP. Anti-Max Antibody: Cited in 2 publications. All Novus Biologicals antibodies are covered by our 100% guarantee.

Scientific Data Images for Max Antibody - BSA Free

Western Blot: Max Antibody [NBP1-49963]

Western Blot: Max Antibody [NBP1-49963]

Western Blot: Max Antibody [NBP1-49963] - Detection of Human MAX by Western Blot and Immunoprecipitation. Samples: Whole cell lysate (5, 15 and 50 mcg for WB; 1 mg for IP, 20% of IP loaded) from HeLa cells. Antibodies: Affinity purified rabbit anti-MAX antibody used for WB at 0.1 mcg/ml (A) and 0.4 mcg/ml (B) and used for IP at 3 mcg/mg lysate. For blotting immunoprecipitated MAX was used. Detection: Chemiluminescence with exposure times of 3 minutes (A) and 30 seconds (B).
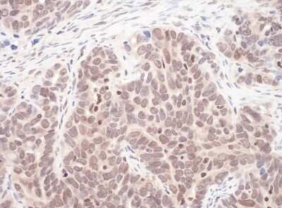
Immunohistochemistry-Paraffin: Max Antibody [NBP1-49963]

Immunohistochemistry-Paraffin: Max Antibody [NBP1-49963]

Immunohistochemistry-Paraffin: Max Antibody [NBP1-49963] - Section of human ovarian carcinoma. Antibody: Affinity purified rabbit anti-MAX used at a dilution of 1:1,000 (1ug/ml). Detection: Vector ImmPACT NovaRED

Applications for Max Antibody - BSA Free

Application
Recommended Usage

Immunohistochemistry

1:500 - 1:2000

Immunohistochemistry-Paraffin

1:500 - 1:2000

Immunoprecipitation

2-5 ug/mg lysate

Western Blot

1:2000-1:10000
Application Notes
Epitope retrieval with citrate buffer pH 6.0 is recommended for FFPE tissue sections

Formulation, Preparation, and Storage

Purification

Immunogen affinity purified

Formulation

Tris-Citrate/Phosphate (pH 7.0 - 8.0)

Format

BSA Free

Preservative

0.09% Sodium Azide

Concentration

1.0 mg/ml

Shipping

The product is shipped with polar packs. Upon receipt, store it immediately at the temperature recommended below.

Stability & Storage

Store at 4C. Do not freeze.

Background: Max

The protein encoded by this gene is a member of the basic helix-loop-helix leucine zipper (bHLHZ) family of transcription factors. It is able to form homodimers and heterodimers with other family members, which include Mad, Mxi1 and Myc. Myc is an oncoprotein implicated in cell proliferation, differentiation and apoptosis. The homodimers and heterodimers compete for a common DNA target site (the E box) and rearrangement among these dimer forms provides a complex system of transcriptional regulation. Multiple alternatively spliced transcript variants have been described for this gene but the full-length nature for some of them is unknown. [provided by RefSeq]

Long Name

Myc associated factor X

Alternate Names

BHLHD4, bHLHd4MGC11225, bHLHd5, bHLHd6, bHLHd7, bHLHd8, Class D basic helix-loop-helix protein 4, helix-loop-helix zipper protein, MAX protein, MGC10775, MGC18164, MGC34679, MGC36767, MYC associated factor X, Myc-associated factor X, orf1, protein max

Gene Symbol

MAX

Additional Max Products

Product Documents for Max Antibody - BSA Free

Certificate of Analysis

To download a Certificate of Analysis, please enter a lot number in the search box below.

Product Specific Notices for Max Antibody - BSA Free

This product is for research use only and is not approved for use in humans or in clinical diagnosis. Primary Antibodies are guaranteed for 1 year from date of receipt.

Loading...
Loading...
Loading...
Loading...