MAVS Antibody - BSA Free
Novus Biologicals, part of Bio-Techne | Catalog # NBP2-38613
Key Product Details
Validated by
Orthogonal Validation, Independent Antibodies
Species Reactivity
Human
Applications
Immunohistochemistry, Immunohistochemistry-Paraffin
Label
Unconjugated
Antibody Source
Polyclonal Rabbit IgG
Format
BSA Free
Concentration
Concentrations vary lot to lot. See vial label for concentration. If unlisted please contact technical services.
Product Specifications
Immunogen
This antibody was developed against a recombinant protein corresponding to amino acids: PVSPSVSFQPLARSTPRASRLPGPTGSVVSTGTSFSSSSPGLASAGAAEGKQGAESDQAEPIICSSGAEAPANSLPSKVPTTLMPVNTVALKV
Clonality
Polyclonal
Host
Rabbit
Isotype
IgG
Description
Novus Biologicals Rabbit MAVS Antibody - BSA Free (NBP2-38613) is a polyclonal antibody validated for use in IHC. All Novus Biologicals antibodies are covered by our 100% guarantee.
Scientific Data Images for MAVS Antibody - BSA Free
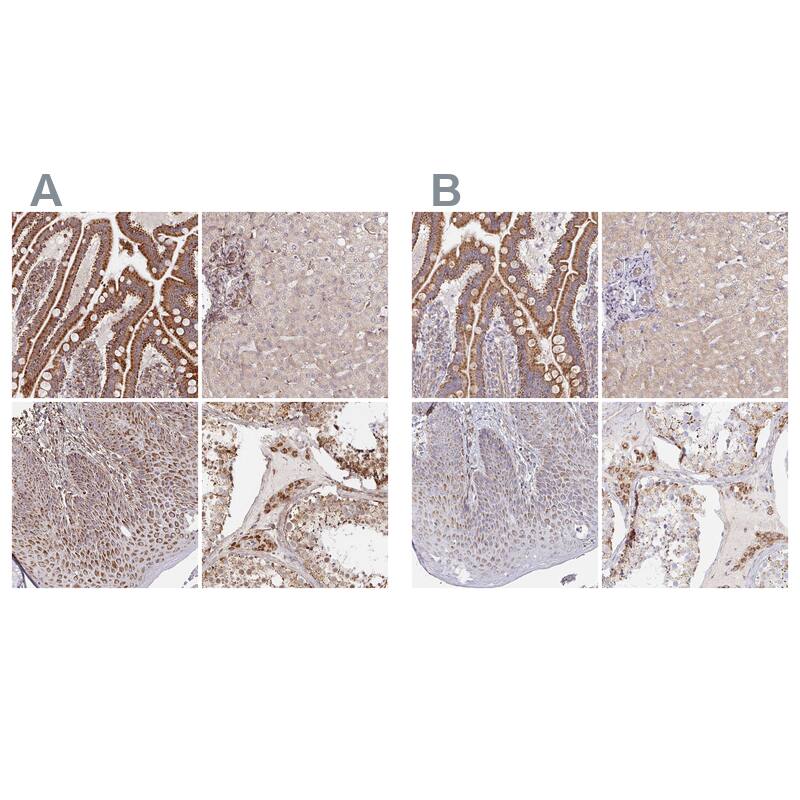
Immunohistochemistry-Paraffin: MAVS Antibody [NBP2-38613]
Immunohistochemistry-Paraffin: MAVS Antibody [NBP2-38613] - Staining of human liver shows low expression as expected.Immunohistochemistry-Paraffin: MAVS Antibody [NBP2-38613]
Immunohistochemistry-Paraffin: MAVS Antibody [NBP2-38613] - Staining of human rectum shows high expression.Applications for MAVS Antibody - BSA Free
Application
Recommended Usage
Immunohistochemistry
1:50 - 1:200
Immunohistochemistry-Paraffin
1:50 - 1:200
Application Notes
For IHC-Paraffin, HIER pH 6 retrieval is recommended.
Formulation, Preparation, and Storage
Purification
Immunogen affinity purified
Formulation
PBS (pH 7.2) and 40% Glycerol
Format
BSA Free
Preservative
0.02% Sodium Azide
Concentration
Concentrations vary lot to lot. See vial label for concentration. If unlisted please contact technical services.
Shipping
The product is shipped with polar packs. Upon receipt, store it immediately at the temperature recommended below.
Stability & Storage
Store at 4C short term. Aliquot and store at -20C long term. Avoid freeze-thaw cycles.
Background: MAVS
Long Name
Mitochondrial Antiviral Signaling Protein
Alternate Names
Cardif, IPS-1, VISA
Gene Symbol
MAVS
UniProt
Additional MAVS Products
Product Documents for MAVS Antibody - BSA Free
Product Specific Notices for MAVS Antibody - BSA Free
This product is for research use only and is not approved for use in humans or in clinical diagnosis. Primary Antibodies are guaranteed for 1 year from date of receipt.
Loading...
Loading...
Loading...
Loading...
Loading...