Skip to main content

MAVS Antibody - BSA Free

Novus Biologicals, part of Bio-Techne | Catalog # NB100-80859

Novus Biologicals, part of Bio-Techne
Catalog #
Availability
Size / Price
Qty
Loading...
NB100-80859

Key Product Details

Species Reactivity

Human, Mouse, Rat

Applications

ELISA, Immunocytochemistry/ Immunofluorescence, Immunohistochemistry, Immunohistochemistry-Paraffin, Western Blot

Label

Unconjugated

Antibody Source

Polyclonal Rabbit IgG

Format

BSA Free

Concentration

1.0 mg/ml

Product Specifications

Immunogen

A 17 amino acid synthetic peptide near the center of human MAVS. The immunogen is located within amino acids 130 - 180 of MAVS.

Epitope

Near the center, aa 130-180

Specificity

17 amino acid peptide from near the center of human MAVS.

Clonality

Polyclonal

Host

Rabbit

Isotype

IgG

Theoretical MW

56.5 kDa.
Disclaimer note: The observed molecular weight of the protein may vary from the listed predicted molecular weight due to post translational modifications, post translation cleavages, relative charges, and other experimental factors.

Description

Novus Biologicals Rabbit MAVS Antibody - BSA Free (NB100-80859) is a polyclonal antibody validated for use in IHC, WB, ELISA and ICC/IF. All Novus Biologicals antibodies are covered by our 100% guarantee.

Scientific Data Images for MAVS Antibody - BSA Free

Western Blot: MAVS AntibodyBSA Free [NB100-80859]

Western Blot: MAVS AntibodyBSA Free [NB100-80859]

Western Blot: MAVS Antibody - BSA Free [NB100-80859] - Rat brain tissue lysate with VISA antibody at (A) 0.5, (B) 1 and (C) 2 ug/ml.
Immunocytochemistry/ Immunofluorescence: MAVS Antibody - BSA Free [NB100-80859]

Immunocytochemistry/ Immunofluorescence: MAVS Antibody - BSA Free [NB100-80859]

Immunocytochemistry/Immunofluorescence: MAVS Antibody - BSA Free [NB100-80859] - Mouse Brain cells with VISA antibody at 20 ug/ml.
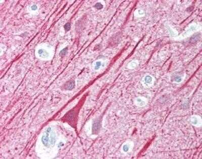
Immunohistochemistry-Paraffin: MAVS Antibody - BSA Free [NB100-80859]

Immunohistochemistry-Paraffin: MAVS Antibody - BSA Free [NB100-80859]

Immunohistochemistry-Paraffin: MAVS Antibody - BSA Free [NB100-80859] - Staining of human brain, cortex tissue after heat-induced antigen retrieval. Antibody concentration 5 ug/ml.

Applications for MAVS Antibody - BSA Free

Application
Recommended Usage

Immunohistochemistry

5 ug/ml

Immunohistochemistry-Paraffin

5 ug/ml

Western Blot

0.5-2 ug/ml
Application Notes
.

Reviewed Applications

Read 1 review rated 5 using NB100-80859 in the following applications:

Formulation, Preparation, and Storage

Purification

Peptide affinity purified

Formulation

PBS

Format

BSA Free

Preservative

0.02% Sodium Azide

Concentration

1.0 mg/ml

Shipping

The product is shipped with polar packs. Upon receipt, store it immediately at the temperature recommended below.

Stability & Storage

Store at 4C short term. Aliquot and store at -20C long term. Avoid freeze-thaw cycles.

Background: MAVS

MAVS (Mitochondrial Antiviral Signaling) mediates the activation of NF-kappaB and IRF3 in response to antiviral infection. Silencing of MAVS expression permits derepression of viral replication, while over expression of MAVS boosts antiviral immunity.

Long Name

Mitochondrial Antiviral Signaling Protein

Alternate Names

Cardif, IPS-1, VISA

Entrez Gene IDs

57506 (Human); 228607 (Mouse); 311430 (Rat)

Gene Symbol

MAVS

UniProt

Additional MAVS Products

Product Documents for MAVS Antibody - BSA Free

Certificate of Analysis

To download a Certificate of Analysis, please enter a lot number in the search box below.

Product Specific Notices for MAVS Antibody - BSA Free

This product is for research use only and is not approved for use in humans or in clinical diagnosis. Primary Antibodies are guaranteed for 1 year from date of receipt.

Loading...
Loading...
Loading...
Loading...
Loading...