Skip to main content

MATK Antibody - BSA Free

Novus Biologicals, part of Bio-Techne | Catalog # NBP3-04984

Novus Biologicals, part of Bio-Techne
Catalog #
Availability
Size / Price
Qty
Loading...
NBP3-04984-100ul
NBP3-04984-20ul

Key Product Details

Species Reactivity

Human, Mouse, Rat

Applications

Immunohistochemistry, Immunohistochemistry-Paraffin, Western Blot

Label

Unconjugated

Antibody Source

Polyclonal Rabbit IgG

Format

BSA Free

Concentration

Please see the vial label for concentration. If unlisted please contact technical services.

Product Specifications

Immunogen

Recombinant fusion protein containing a sequence corresponding to amino acids 352-466 of human MATK (NP_647611.1). PEALKHGKFTSKSDVWSFGVLLWEVFSYGRAPYPKMSLKEVSEAVEKGYRMEPPEGCPGPVHVLMSSCWEAEPARRPPFRKLAEKLARELRSAGAPASVSGQDADGSTSPRSQEP

Clonality

Polyclonal

Host

Rabbit

Isotype

IgG

Description

Novus Biologicals Rabbit MATK Antibody - BSA Free (NBP3-04984) is a polyclonal antibody validated for use in IHC and WB. All Novus Biologicals antibodies are covered by our 100% guarantee.

Scientific Data Images for MATK Antibody - BSA Free

Western Blot: MATK AntibodyBSA Free [NBP3-04984]

Western Blot: MATK AntibodyBSA Free [NBP3-04984]

Western Blot: MATK Antibody [NBP3-04984] - Analysis of extracts of THP-1 cells, using MATK antibody at 1:1000 dilution. Secondary antibody: HRP Goat Anti-Rabbit IgG (H+L) at 1:10000 dilution. Lysates/proteins: 25ug per lane. Blocking buffer: 3% nonfat dry milk in TBST. Detection: ECL Basic Kit .
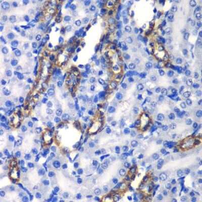
Immunohistochemistry-Paraffin: MATK Antibody - BSA Free [NBP3-04984]

Immunohistochemistry-Paraffin: MATK Antibody - BSA Free [NBP3-04984]

Immunohistochemistry-Paraffin: MATK Antibody [NBP3-04984] - Paraffin-embedded mouse kidney using MATK antibody at dilution of 1:100 (40x lens).
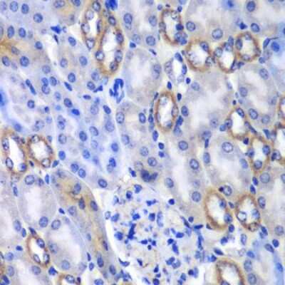
Immunohistochemistry-Paraffin: MATK Antibody - BSA Free [NBP3-04984]

Immunohistochemistry-Paraffin: MATK Antibody - BSA Free [NBP3-04984]

Immunohistochemistry-Paraffin: MATK Antibody [NBP3-04984] - Paraffin-embedded rat kidney using MATK antibody at dilution of 1:100 (40x lens).

Applications for MATK Antibody - BSA Free

Application
Recommended Usage

Immunohistochemistry

1:50-1:200

Western Blot

1:500-1:2000

Formulation, Preparation, and Storage

Purification

Affinity purified

Formulation

PBS (pH 7.3), 50% glycerol

Format

BSA Free

Preservative

0.02% Sodium Azide

Concentration

Please see the vial label for concentration. If unlisted please contact technical services.

Shipping

The product is shipped with polar packs. Upon receipt, store it immediately at the temperature recommended below.

Stability & Storage

Store at -20C. Avoid freeze-thaw cycles.

Background: MATK

MATK, or Megakaryocyte-Associated Tyrosine-Protein Kinase, contains three isoforms that are 56 kDa, 57 kDa, and 52 kDa, and is involved in the regulation of tyrosine kinase and the inhibition of T-cell proliferation. MATK may play a role in signaling in certain types of breast cancer, and the protein is currently being used in research of a variety of diseases and disorders, including macular degeneration, endocarditis, neuroblastoma, colon cancer, ataxia, pharyngitis, pancreatitis, and pancreatic cancer. MATK is linked to the Kit Receptor signaling pathway, the IL-3 signaling pathway, the Neurotrophin signaling pathway, and ERBB2 signaling, through which it interacts with ERBB2, PTK2B, EWSR1, PXN, and SRC.

Alternate Names

CHK, Csk-type protein tyrosine kinase, CTKEC 2.7.10.2, DKFZp434N1212, EC 2.7.10, Hematopoietic consensus tyrosine-lacking kinase, HHYLTK, hydroxyaryl-protein kinase, HYL tyrosine kinase, HYLCsk-homologous kinase, HYLTK, leukocyte carboxyl-terminal src kinase related, Lsk, megakaryocyte-associated tyrosine kinase, megakaryocyte-associated tyrosine-protein kinase, MGC1708, MGC2101, Protein kinase HYL, tyrosine kinase MATK, Tyrosine-protein kinase CTK, tyrosylprotein kinase

Gene Symbol

MATK

Additional MATK Products

Product Documents for MATK Antibody - BSA Free

Certificate of Analysis

To download a Certificate of Analysis, please enter a lot number in the search box below.

Product Specific Notices for MATK Antibody - BSA Free

This product is for research use only and is not approved for use in humans or in clinical diagnosis. Primary Antibodies are guaranteed for 1 year from date of receipt.

Loading...
Loading...
Loading...
Loading...