MATH2/NEUROD6 Antibody - Azide and BSA Free
Novus Biologicals, part of Bio-Techne | Catalog # NBP2-29865
Key Product Details
Species Reactivity
Human, Mouse
Applications
Immunohistochemistry, Immunohistochemistry-Paraffin, Western Blot, Immunocytochemistry/ Immunofluorescence
Label
Unconjugated
Antibody Source
Polyclonal Rabbit IgG
Format
Azide and BSA Free
Concentration
Please see the vial label for concentration. If unlisted please contact technical services.
Product Specifications
Immunogen
Synthetic peptide.
Specificity
Recognizes NeuroD 6 (MATH2, NEX1), a Helix-loop-helix class of transcription factor.
Clonality
Polyclonal
Host
Rabbit
Isotype
IgG
Description
Relevant Entrez Gene Numbers: NM_022728.2
Scientific Data Images for MATH2/NEUROD6 Antibody - Azide and BSA Free
Immunocytochemistry/ Immunofluorescence: MATH2/NEUROD6 Antibody [NBP2-29865]
Immunocytochemistry/Immunofluorescence: MATH2/NEUROD6 Antibody [NBP2-29865] - Confocal IF analysis of PC12 using anti NeuroD6 Rabbit pAB (Red). Actin filaments have been labeled with Alexa Fluor 488 -Phalloidin (Green). Nuclear is stained with DAPI (Blue).Immunohistochemistry: MATH2/NEUROD6 Antibody [NBP2-29865]
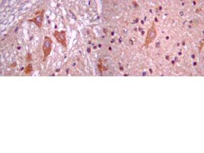
Immunohistochemistry: MATH2/NEUROD6 Antibody [NBP2-29865] - Detects NeuroD6 in paraffin embedded rat brain tissue at 1:300 dilution.Applications for MATH2/NEUROD6 Antibody - Azide and BSA Free
Application
Recommended Usage
Immunocytochemistry/ Immunofluorescence
1:200-1:1000
Immunohistochemistry
1:200-1:1000
Western Blot
1:200-1:1000
Application Notes
The rehydrated antibody solutions can be stored undiluted at 2-8C degrees for 2 months without any significant loss of activity. Note, the solution is not sterile, thus care should be taken if product is stored atTo reconstitute the antibody, centrifuge the antibody vial at moderate speed (5,000 rpm) for 5 minutes to pellet the precipitated antibody product. Carefully remove the ammonium sulfate/PBS buffer solution and discard. It is not necessary to remove all of the ammonium sulfate/PBS solution: 10 uL of residual ammonium sulfate solution will not effect the resuspension of the antibody. Do not let the protein pellet dry, as severe loss of antibody reactivity can occur.
Resuspend the antibody pellet in any suitable biological buffer, standard PBS or TBS (pH 7.3-7.5) are typical. Volumes required are not critical but it is suggested that the final antibody concentration be between 0.1 mg/mL and 1.0 mg/mL. For example, to achieve a 1 mg/mL concentration with 50 ug of precipitated antibody, the amount of buffer needed would be 50 uL.
Carefully add the liquid buffer to the pellet. DO NOT VORTEX. Mix by gentle stirring with a wide pipet tip or gentle finger-tapping. Let the precipitated antibody rehydrate for 1 hour at 4-25C degrees prior to use. Small particles of precipitated antibody that fail to resuspend are normal. Vials are overfilled to compensate for any losses. 2-8C degrees .
Resuspend the antibody pellet in any suitable biological buffer, standard PBS or TBS (pH 7.3-7.5) are typical. Volumes required are not critical but it is suggested that the final antibody concentration be between 0.1 mg/mL and 1.0 mg/mL. For example, to achieve a 1 mg/mL concentration with 50 ug of precipitated antibody, the amount of buffer needed would be 50 uL.
Carefully add the liquid buffer to the pellet. DO NOT VORTEX. Mix by gentle stirring with a wide pipet tip or gentle finger-tapping. Let the precipitated antibody rehydrate for 1 hour at 4-25C degrees prior to use. Small particles of precipitated antibody that fail to resuspend are normal. Vials are overfilled to compensate for any losses. 2-8C degrees .
Formulation, Preparation, and Storage
Purification
Immunogen affinity purified
Formulation
50% saturated ammonium sulfate and PBS
Format
Azide and BSA Free
Preservative
No Preservative
Concentration
Please see the vial label for concentration. If unlisted please contact technical services.
Shipping
The product is shipped with polar packs. Upon receipt, store it immediately at the temperature recommended below.
Stability & Storage
Store at -70C. Avoid freeze-thaw cycles.
Background: MATH2/NEUROD6
Alternate Names
ATOH2, BHLHA2, bHLHa2MATH2, Class A basic helix-loop-helix protein 2, Math-2, NeuroD6, neurogenic differentiation 6, neurogenic differentiation factor 6, NEX1M, Protein atonal homolog 2
Gene Symbol
NEUROD6
UniProt
Additional MATH2/NEUROD6 Products
Product Documents for MATH2/NEUROD6 Antibody - Azide and BSA Free
Product Specific Notices for MATH2/NEUROD6 Antibody - Azide and BSA Free
Relevant Entrez Gene Numbers: NM_022728.2
This product is for research use only and is not approved for use in humans or in clinical diagnosis. Primary Antibodies are guaranteed for 1 year from date of receipt.
Loading...
Loading...
Loading...
Loading...