Skip to main content

MAS1L Antibody - BSA Free

Novus Biologicals, part of Bio-Techne | Catalog # NBP1-85157

Novus Biologicals, part of Bio-Techne
Catalog #
Availability
Size / Price
Qty
Loading...
NBP1-85157
NBP1-85157-25ul

Key Product Details

Species Reactivity

Human

Applications

Immunohistochemistry, Immunohistochemistry-Paraffin, Immunocytochemistry/ Immunofluorescence

Label

Unconjugated

Antibody Source

Polyclonal Rabbit IgG

Format

BSA Free

Concentration

Concentrations vary lot to lot. See vial label for concentration. If unlisted please contact technical services.

Product Specifications

Immunogen

This antibody was developed against Recombinant Protein corresponding to amino acids: ICWFSQRAGWTVFAESQISLSCSLCLHSGDQEAQNPNLVSQLCGVFLQNETNETIHMQMSMAVGQQALPLNIIA

Clonality

Polyclonal

Host

Rabbit

Isotype

IgG

Scientific Data Images for MAS1L Antibody - BSA Free

Immunocytochemistry/ Immunofluorescence: MAS1L Antibody [NBP1-85157]

Immunocytochemistry/ Immunofluorescence: MAS1L Antibody [NBP1-85157]

Immunocytochemistry/Immunofluorescence: MAS1L Antibody [NBP1-85157] - Immunofluorescent staining of human cell line A-431 shows localization to nucleoplasm, plasma membrane & cytosol.
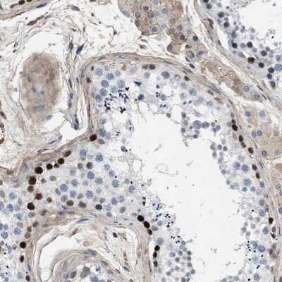
Immunohistochemistry-Paraffin: MAS1L Antibody [NBP1-85157]

Immunohistochemistry-Paraffin: MAS1L Antibody [NBP1-85157]

Immunohistochemistry-Paraffin: MAS1L Antibody [NBP1-85157] - Staining of human testis shows strong positivity in basal cells of ductus seminiferus.

Applications for MAS1L Antibody - BSA Free

Application
Recommended Usage

Immunocytochemistry/ Immunofluorescence

0.25-2 ug/ml

Immunohistochemistry

1:500 - 1:1000

Immunohistochemistry-Paraffin

1:500 - 1:1000
Application Notes
For IHC-Paraffin, HIER pH 6 retrieval is recommended. Immunocytochemistry/Immunofluorescence Fixation Permeabilization: Use PFA/Triton X-100.

Formulation, Preparation, and Storage

Purification

Affinity purified

Formulation

PBS (pH 7.2) and 40% Glycerol

Format

BSA Free

Preservative

0.02% Sodium Azide

Concentration

Concentrations vary lot to lot. See vial label for concentration. If unlisted please contact technical services.

Shipping

The product is shipped with polar packs. Upon receipt, store it immediately at the temperature recommended below.

Stability & Storage

Store at 4C short term. Aliquot and store at -20C long term. Avoid freeze-thaw cycles.

Background: MAS1L

MRG is an Orphan-A GPCR with an unknown ligand highly similar to other MRG receptors. It is most similar to the product of the MAS protooncogene, which controls cellular responses to angiotensin. MRG has been reported absent in the adrenal, liver, kidney, and vascular smooth muscle.

Long Name

MAS1 Proto-Oncogene Like

Alternate Names

DJ994E9.2, MAS-L, MAS-R, Mas-Related G-Protein Coupled Receptor MRG, MAS1 Oncogene-Like, MAS1-Like, MRG

Gene Symbol

MAS1L

Additional MAS1L Products

Product Documents for MAS1L Antibody - BSA Free

Certificate of Analysis

To download a Certificate of Analysis, please enter a lot number in the search box below.

Product Specific Notices for MAS1L Antibody - BSA Free

This product is for research use only and is not approved for use in humans or in clinical diagnosis. Primary Antibodies are guaranteed for 1 year from date of receipt.

Loading...
Loading...
Loading...
Loading...