MARCO Antibody (PSH04-31)
Novus Biologicals, part of Bio-Techne | Catalog # NBP3-32568
Recombinant Monoclonal Antibody
Key Product Details
Species Reactivity
Human, Mouse
Applications
Immunohistochemistry, Immunohistochemistry-Paraffin, Western Blot
Label
Unconjugated
Antibody Source
Recombinant Monoclonal Rabbit IgG Clone # PSH04-31 expressed in HEK293
Concentration
1 mg/ml
Product Specifications
Immunogen
Synthetic peptide within human MARCO aa 401-450 / 520. (Uniprot: Q9UEW3)
Localization
Cell membrane.
Clonality
Monoclonal
Host
Rabbit
Isotype
IgG
Theoretical MW
53 kDa.
Disclaimer note: The observed molecular weight of the protein may vary from the listed predicted molecular weight due to post translational modifications, post translation cleavages, relative charges, and other experimental factors.
Disclaimer note: The observed molecular weight of the protein may vary from the listed predicted molecular weight due to post translational modifications, post translation cleavages, relative charges, and other experimental factors.
Description
Novus Biologicals Rabbit MARCO Antibody (PSH04-31) (NBP3-32568) is a recombinant monoclonal antibody validated for use in IHC and WB. All Novus Biologicals antibodies are covered by our 100% guarantee.
Scientific Data Images for MARCO Antibody (PSH04-31)
Western Blot: MARCO Antibody (PSH04-31) [NBP3-32568]
Western Blot: MARCO Antibody (PSH04-31) [NBP3-32568] - Western blot analysis of MARCO on different lysates with Rabbit anti-MARCO antibody (NBP3-32568) at 1/2,000 dilution.Lane 1: Human liver tissue lysate
Lane 2: Human lung tissue lysate
Lysates/proteins at 40 ug/Lane.
Predicted band size: 53 kDa
Observed band size: 70 kDa
Exposure time: 3 minutes; ECL;
4-20% SDS-PAGE gel.
Proteins were transferred to a PVDF membrane and blocked with 5% NFDM/TBST for 1 hour at room temperature. The primary antibody (NBP3-32568) at 1/2,000 dilution was used in 5% NFDM/TBST at 4 overnight. Goat Anti-Rabbit IgG - HRP Secondary Antibody at 1/50,000 dilution was used for 1 hour at room temperature.
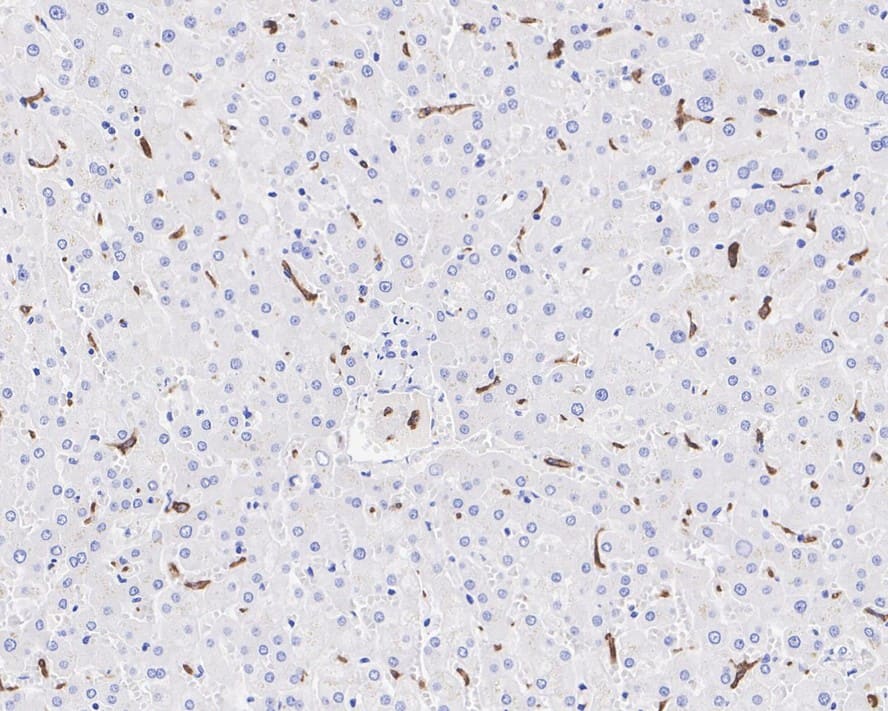
Immunohistochemistry: MARCO Antibody (PSH04-31) [NBP3-32568]
Immunohistochemistry: MARCO Antibody (PSH04-31) [NBP3-32568] - Immunohistochemical analysis of paraffin-embedded human liver tissue with Rabbit anti-MARCO antibody (NBP3-32568) at 1/1,000 dilution.The section was pre-treated using heat mediated antigen retrieval with Tris-EDTA buffer (pH 9.0) for 20 minutes. The tissues were blocked in 1% BSA for 20 minutes at room temperature, washed with ddH2O and PBS, and then probed with the primary antibody (NBP3-32568) at 1/1,000 dilution for 1 hour at room temperature. The detection was performed using an HRP conjugated compact polymer system. DAB was used as the chromogen. Tissues were counterstained with hematoxylin and mounted with DPX.
Applications for MARCO Antibody (PSH04-31)
Application
Recommended Usage
Immunohistochemistry-Paraffin
1:1000
Western Blot
1:1000-1:2000
Formulation, Preparation, and Storage
Purification
Protein A purified
Formulation
PBS (pH7.4), 0.1% BSA and 40% Glycerol
Preservative
0.05% Sodium Azide
Concentration
1 mg/ml
Shipping
The product is shipped with polar packs. Upon receipt, store it immediately at the temperature recommended below.
Stability & Storage
Store at 4C short term. Aliquot and store at -20C long term. Avoid freeze-thaw cycles.
Background: MARCO
Long Name
Macrophage Receptor with Collagenous Structure/Scavenger Receptor, Class A, Member 2
Alternate Names
SCARA2
Gene Symbol
MARCO
Additional MARCO Products
Product Documents for MARCO Antibody (PSH04-31)
Product Specific Notices for MARCO Antibody (PSH04-31)
This product is for research use only and is not approved for use in humans or in clinical diagnosis. Primary Antibodies are guaranteed for 1 year from date of receipt.
Loading...
Loading...
Loading...
Loading...