Skip to main content

MARCH1 Antibody - BSA Free

Novus Biologicals, part of Bio-Techne | Catalog # NBP1-91637

Novus Biologicals, part of Bio-Techne
Catalog #
Availability
Size / Price
Qty
Loading...
NBP1-91637
NBP1-91637-25ul

Key Product Details

Species Reactivity

Human

Applications

Immunohistochemistry, Immunohistochemistry-Paraffin

Label

Unconjugated

Antibody Source

Polyclonal Rabbit IgG

Format

BSA Free

Concentration

Concentrations vary lot to lot. See vial label for concentration. If unlisted please contact technical services.

Product Specifications

Immunogen

This antibody was developed against Recombinant Protein corresponding to amino acids: KVYVQLWRRLKAYNRVIFVQNCPDTAKKLEKNFSCNVNTDIKDAVVVPVPQTGANSLPSAEGG

Reactivity Notes

Immunogen displays the following percentage of sequence identity for non-tested species: Mouse (89%), Rat (87%)

Clonality

Polyclonal

Host

Rabbit

Isotype

IgG

Theoretical MW

32 kDa.
Disclaimer note: The observed molecular weight of the protein may vary from the listed predicted molecular weight due to post translational modifications, post translation cleavages, relative charges, and other experimental factors.

Description

Novus Biologicals Rabbit MARCH1 Antibody - BSA Free (NBP1-91637) is a polyclonal antibody validated for use in IHC. All Novus Biologicals antibodies are covered by our 100% guarantee.

Scientific Data Images for MARCH1 Antibody - BSA Free

Immunohistochemistry-Paraffin: MARCH1 Antibody [NBP1-91637]

Immunohistochemistry-Paraffin: MARCH1 Antibody [NBP1-91637]

Immunohistochemistry-Paraffin: MARCH1 Antibody [NBP1-91637] - Staining of human spleen shows moderate cytoplasmic positivity in cells in red pulp and white pulp.
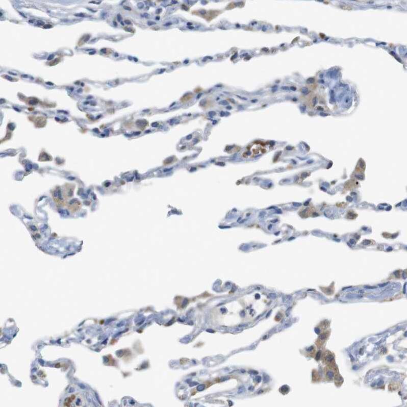
MARCH1 Antibody - BSA Free Immunohistochemistry: MARCH1 Antibody - BSA Free [NBP1-91637]

Immunohistochemistry: MARCH1 Antibody - BSA Free [NBP1-91637]

Staining of human lung shows weak cytoplasmic positivity in macrophages.
MARCH1 Antibody - BSA Free Immunohistochemistry: MARCH1 Antibody - BSA Free [NBP1-91637]

Immunohistochemistry: MARCH1 Antibody - BSA Free [NBP1-91637]

Staining of human skeletal muscle shows very weak cytoplasmic positivity in myocytes as expected.

Applications for MARCH1 Antibody - BSA Free

Application
Recommended Usage

Immunohistochemistry

1:50 - 1:200

Immunohistochemistry-Paraffin

1:50 - 1:200
Application Notes
For IHC-Paraffin: HIER pH 6 retrieval method is recommended.

Formulation, Preparation, and Storage

Purification

Immunogen affinity purified

Formulation

PBS (pH 7.2) and 40% Glycerol

Format

BSA Free

Preservative

0.02% Sodium Azide

Concentration

Concentrations vary lot to lot. See vial label for concentration. If unlisted please contact technical services.

Shipping

The product is shipped with polar packs. Upon receipt, store it immediately at the temperature recommended below.

Stability & Storage

Store at 4C short term. Aliquot and store at -20C long term. Avoid freeze-thaw cycles.

Background: MARCH1

Alternate Names

E3 ubiquitin-protein ligase MARCH1, EC 6.3.2, EC 6.3.2.-, MARCH-IDKFZp564M1682, membrane-associated ring finger (C3HC4) 1, Membrane-associated RING finger protein 1, Membrane-associated RING-CH protein I, RING finger protein 171, RNF171FLJ20668

Entrez Gene IDs

55016 (Human)

Gene Symbol

MARCH1

UniProt

Additional MARCH1 Products

Product Documents for MARCH1 Antibody - BSA Free

Certificate of Analysis

To download a Certificate of Analysis, please enter a lot number in the search box below.

Product Specific Notices for MARCH1 Antibody - BSA Free

This product is for research use only and is not approved for use in humans or in clinical diagnosis. Primary Antibodies are guaranteed for 1 year from date of receipt.

Loading...
Loading...
Loading...
Loading...