Skip to main content

MAPRE1 Antibody (C5) - BSA Free

Novus Biologicals, part of Bio-Techne | Catalog # NBP3-41927

Novus Biologicals, part of Bio-Techne
Catalog #
Availability
Size / Price
Qty
Loading...
NBP3-41927

Key Product Details

Species Reactivity

Human, Rat, Porcine

Applications

Immunohistochemistry, Immunohistochemistry-Paraffin, Western Blot

Label

Unconjugated

Antibody Source

Monoclonal Mouse IgG1 kappa Clone # C5

Format

BSA Free

Concentration

1 mg/ml

Product Specifications

Immunogen

Immunized with recombinant Human MAPRE1 (Uniprot#: Q15691; Ala2-Tyr268 (Uniprot#: Q15691)

Clonality

Monoclonal

Host

Mouse

Isotype

IgG1 kappa

Description

Novus Biologicals Mouse MAPRE1 Antibody (C5) - BSA Free (NBP3-41927) is a monoclonal antibody validated for use in IHC and WB. All Novus Biologicals antibodies are covered by our 100% guarantee.

Scientific Data Images for MAPRE1 Antibody (C5) - BSA Free

MAPRE1 Antibody (C5)

Western Blot: MAPRE1 Antibody (C5) [NBP3-41927] -

Western Blot: MAPRE1 Antibody (C5) [NBP3-41927] - Sample: Lane1: Rat Thymus lysate; Lane2: Hela cell lysate; Lane3: Jurkat cell lysate Primary Ab: 3ug/ml NBP3-41927; Second Ab: 0.2ug/mL HRP-Linked Caprine Anti-Mouse IgG Polyclonal Antibody
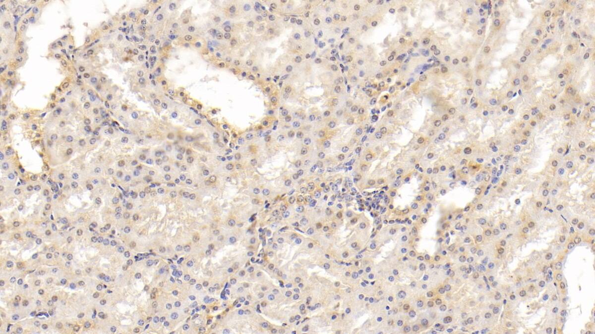
MAPRE1 Antibody (C5)

Immunohistochemistry-Paraffin: MAPRE1 Antibody (C5) [NBP3-41927] -

Immunohistochemistry-Paraffin: MAPRE1 Antibody (C5) [NBP3-41927] - DAB staining on IHC-P; Sample: Human Kidney Tissue; Primary Ab: 30ug/ml NBP3-41927; Second Ab: 2ug/mL HRP-Linked Caprine Anti-Mouse IgG Polyclonal Antibody
MAPRE1 Antibody (C5)

Immunohistochemistry-Paraffin: MAPRE1 Antibody (C5) [NBP3-41927] -

Immunohistochemistry-Paraffin: MAPRE1 Antibody (C5) [NBP3-41927] - DAB staining on IHC-P; Sample: Human Spleen Tissue; Primary Ab: 30ug/ml NBP3-41927; Second Ab: 2ug/mL HRP-Linked Caprine Anti-Mouse IgG Polyclonal Antibody

Applications for MAPRE1 Antibody (C5) - BSA Free

Application
Recommended Usage

Immunohistochemistry

5-20ug/mL

Immunohistochemistry-Paraffin

5-20ug/mL

Western Blot

0.5-2ug/mL

Formulation, Preparation, and Storage

Purification

Protein A or G purified

Formulation

0.01M PBS, pH7.4, 50% glycerol

Format

BSA Free

Preservative

0.05% Proclin 300

Concentration

1 mg/ml

Shipping

The product is shipped with polar packs. Upon receipt, store it immediately at the temperature recommended below.

Stability & Storage

Store at 4C short term. Aliquot and store at -20C long term. Avoid freeze-thaw cycles.

Background: MAPRE1

End -binding protein 1 (EB1) is a member of the RP/EB family and was first identified by its binding to the APC protein which is often mutated in familial and sporadic forms of colorectal cancer. This protein localizes to microtubules, especially the growing ends, in interphase cells. During mitosis, the protein is associated with the centrosomes and spindle microtubules. EB1 also associates with components of the dynactin complex and the intermediate chain of cytoplasmic dynein. Because of these associations, it is thought that EB1 is involved in the regulation of microtubule structures and chromosome stability. [rom NCBI GeneID:22919]

Alternate Names

adenomatous polyposis coli-binding protein EB1, APC-binding protein EB1, EB1MGC129946, End-binding protein 1, MGC117374, microtubule-associated protein RP/EB family member 1, microtubule-associated protein, RP/EB family, member 1

Gene Symbol

MAPRE1

Additional MAPRE1 Products

Product Documents for MAPRE1 Antibody (C5) - BSA Free

Certificate of Analysis

To download a Certificate of Analysis, please enter a lot number in the search box below.

Product Specific Notices for MAPRE1 Antibody (C5) - BSA Free

This product is for research use only and is not approved for use in humans or in clinical diagnosis. Primary Antibodies are guaranteed for 1 year from date of receipt.

Loading...
Loading...
Loading...
Loading...