Skip to main content

MAP7D1 Antibody - BSA Free

Novus Biologicals, part of Bio-Techne | Catalog # NBP1-83866

Novus Biologicals, part of Bio-Techne
Catalog #
Availability
Size / Price
Qty
Loading...
NBP1-83866
NBP1-83866-25ul

Key Product Details

Validated by

Orthogonal Validation

Species Reactivity

Human

Applications

Immunohistochemistry, Immunohistochemistry-Paraffin, Western Blot, Immunocytochemistry/ Immunofluorescence

Label

Unconjugated

Antibody Source

Polyclonal Rabbit IgG

Format

BSA Free

Concentration

Concentrations vary lot to lot. See vial label for concentration. If unlisted please contact technical services.

Product Specifications

Immunogen

This antibody was developed against Recombinant Protein corresponding to amino acids: EPVKAVEARSPGLQKEAVQKEEPIPQEPQWSLPSKELPASLVNGLQPLPAHQENGFSTNGPSGDKSLSRTPETLLPFAEAEAFLKKAVVQSPQVTEVL

Reactivity Notes

Immunogen displays the following percentage of sequence identity for non-tested species: Mouse (81%)

Clonality

Polyclonal

Host

Rabbit

Isotype

IgG

Scientific Data Images for MAP7D1 Antibody - BSA Free

Immunocytochemistry/ Immunofluorescence: MAP7D1 Antibody [NBP1-83866]

Immunocytochemistry/ Immunofluorescence: MAP7D1 Antibody [NBP1-83866]

Immunocytochemistry/Immunofluorescence: MAP7D1 Antibody [NBP1-83866] - Immunofluorescent staining of human cell line U-251 MG shows localization to cytosol & microtubules.
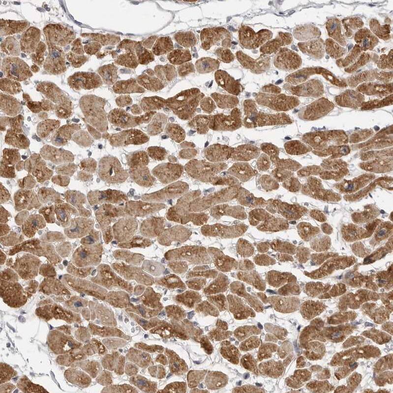
MAP7D1 Antibody - BSA Free Immunohistochemistry-Paraffin: MAP7D1 Antibody - BSA Free [NBP1-83866]

Immunohistochemistry-Paraffin: MAP7D1 Antibody - BSA Free [NBP1-83866]

Staining of human heart muscle shows moderate to strong cytoplasmic positivity in myocytes.
MAP7D1 Antibody - BSA Free Western Blot: MAP7D1 Antibody - BSA Free [NBP1-83866]

Western Blot: MAP7D1 Antibody - BSA Free [NBP1-83866]

Analysis in human cell lines U-251MG and MCF-7 using Anti-MAP7D1 antibody. Corresponding MAP7D1 RNA-seq data are presented for the same cell lines. Loading control: Anti-GAPDH.

Applications for MAP7D1 Antibody - BSA Free

Application
Recommended Usage

Immunocytochemistry/ Immunofluorescence

0.25-2 ug/ml

Immunohistochemistry

1:20 - 1:50

Immunohistochemistry-Paraffin

1:20 - 1:50

Western Blot

0.04-0.4 ug/ml
Application Notes
For IHC-Paraffin, HIER pH 6 retrieval method is recommended. ICC/IF, Fixation Permeabilization: Use PFA/Triton X-100.

Formulation, Preparation, and Storage

Purification

Affinity purified

Formulation

PBS (pH 7.2) and 40% Glycerol

Format

BSA Free

Preservative

0.02% Sodium Azide

Concentration

Concentrations vary lot to lot. See vial label for concentration. If unlisted please contact technical services.

Shipping

The product is shipped with polar packs. Upon receipt, store it immediately at the temperature recommended below.

Stability & Storage

Store at 4C short term. Aliquot and store at -20C long term. Avoid freeze-thaw cycles.

Background: MAP7D1

Alternate Names

MAP7 domain containing 1

Gene Symbol

MAP7D1

Additional MAP7D1 Products

Product Documents for MAP7D1 Antibody - BSA Free

Certificate of Analysis

To download a Certificate of Analysis, please enter a lot number in the search box below.

Product Specific Notices for MAP7D1 Antibody - BSA Free

This product is for research use only and is not approved for use in humans or in clinical diagnosis. Primary Antibodies are guaranteed for 1 year from date of receipt.

Loading...
Loading...
Loading...
Loading...