Skip to main content

MAP6 Antibody - BSA Free

Novus Biologicals, part of Bio-Techne | Catalog # NBP2-14220

Novus Biologicals, part of Bio-Techne
Catalog #
Availability
Size / Price
Qty
Loading...
NBP2-14220-25ul
NBP2-14220

Key Product Details

Validated by

Orthogonal Validation, Independent Antibodies

Species Reactivity

Human

Applications

Immunohistochemistry, Immunohistochemistry-Paraffin, Western Blot

Label

Unconjugated

Antibody Source

Polyclonal Rabbit IgG

Format

BSA Free

Concentration

Concentrations vary lot to lot. See vial label for concentration. If unlisted please contact technical services.

Product Specifications

Immunogen

This antibody was developed against a recombinant protein corresponding to the amino acids: TSASHKPTRKAKDKQAVSGQAAKKKSAEGPSTTKPDDKEQSKEMNNKLAEAKESLAQPVSDSSKTQGPVATEPDKDQGSVVPGLLKGQGPMVQEPLKKQGSVVPGPPKDLGPM

Clonality

Polyclonal

Host

Rabbit

Isotype

IgG

Scientific Data Images for MAP6 Antibody - BSA Free

Immunohistochemistry-Paraffin: MAP6 Antibody [NBP2-14220]

Immunohistochemistry-Paraffin: MAP6 Antibody [NBP2-14220]

Immunohistochemistry-Paraffin: MAP6 Antibody [NBP2-14220] - Staining in human cerebral cortex and pancreas tissues using anti-MAP6 antibody. Corresponding MAP6 RNA-seq data are presented for the same tissues.
Western Blot: MAP6 Antibody [NBP2-14220]

Western Blot: MAP6 Antibody [NBP2-14220]

Western Blot: MAP6 Antibody [NBP2-14220] - Analysis in human cell line CACO-2 and human cell line HeLa.
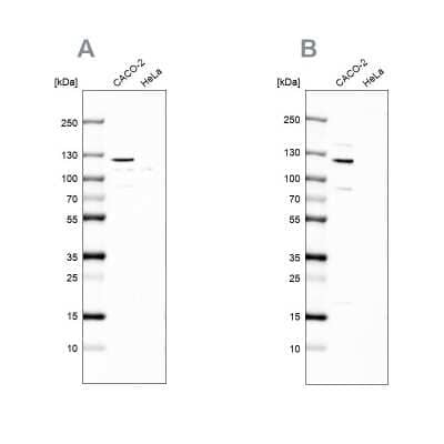
Western Blot: MAP6 Antibody [NBP2-14220]

Western Blot: MAP6 Antibody [NBP2-14220]

Western Blot: MAP6 Antibody [NBP2-14220] - Analysis NBP2-14220 (A) shows similar pattern to independent antibody NBP2-14221 (B).

Applications for MAP6 Antibody - BSA Free

Application
Recommended Usage

Immunohistochemistry

1:1000 - 1:2500

Immunohistochemistry-Paraffin

1:1000-1:2500

Western Blot

0.04-0.4 ug/ml
Application Notes
For IHC-Paraffin, HIER pH 6 retrieval is recommended.

Formulation, Preparation, and Storage

Purification

Affinity purified

Formulation

PBS (pH 7.2) and 40% Glycerol

Format

BSA Free

Preservative

0.02% Sodium Azide

Concentration

Concentrations vary lot to lot. See vial label for concentration. If unlisted please contact technical services.

Shipping

The product is shipped with polar packs. Upon receipt, store it immediately at the temperature recommended below.

Stability & Storage

Store at 4C short term. Aliquot and store at -20C long term. Avoid freeze-thaw cycles.

Background: MAP6

Alternate Names

microtubule-associated protein 6

Gene Symbol

MAP6

Additional MAP6 Products

Product Documents for MAP6 Antibody - BSA Free

Certificate of Analysis

To download a Certificate of Analysis, please enter a lot number in the search box below.

Product Specific Notices for MAP6 Antibody - BSA Free

This product is for research use only and is not approved for use in humans or in clinical diagnosis. Primary Antibodies are guaranteed for 1 year from date of receipt.

Loading...
Loading...
Loading...
Loading...