Skip to main content

MAP4K3 Antibody - BSA Free

Novus Biologicals, part of Bio-Techne | Catalog # NBP3-45957

Novus Biologicals, part of Bio-Techne
Catalog #
Availability
Size / Price
Qty
Loading...
NBP3-45957

Key Product Details

Species Reactivity

Human, Mouse, Rat

Applications

ELISA, Immunohistochemistry, Western Blot

Label

Unconjugated

Antibody Source

Polyclonal Rabbit IgG

Format

BSA Free

Concentration

Please see the vial label for concentration. If unlisted please contact technical services.

Product Specifications

Immunogen

mitogen-activated protein kinase kinase kinase kinase 3. (Uniprot# Q8IVH8)

Clonality

Polyclonal

Host

Rabbit

Isotype

IgG

Theoretical MW

110 kDa.
Disclaimer note: The observed molecular weight of the protein may vary from the listed predicted molecular weight due to post translational modifications, post translation cleavages, relative charges, and other experimental factors.

Description

Novus Biologicals Rabbit MAP4K3 Antibody - BSA Free (NBP3-45957) is a polyclonal antibody validated for use in IHC, WB and ELISA. All Novus Biologicals antibodies are covered by our 100% guarantee.

Scientific Data Images for MAP4K3 Antibody - BSA Free

MAP4K3 Antibody - BSA Free

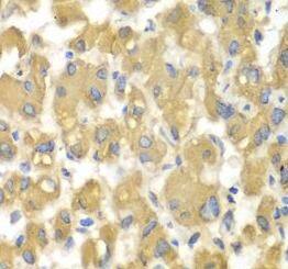
Immunohistochemistry: MAP4K3 Antibody - BSA Free [NBP3-45957] -

Immunohistochemistry: MAP4K3 Antibody - BSA Free [NBP3-45957] - Immunohistochemistry of paraffin-embedded human liver injury using (MAP4K3 antibody) at dilution of 1:100
MAP4K3 Antibody - BSA Free

Western Blot: MAP4K3 Antibody - BSA Free [NBP3-45957] -

Western Blot: MAP4K3 Antibody - BSA Free [NBP3-45957] - Human skeletal muscle tissue were subjected to SDS PAGE followed by western blot with (MAP4K3 antibody) at dilution of 1:1000

Applications for MAP4K3 Antibody - BSA Free

Application
Recommended Usage

Immunohistochemistry

1:50 - 1:200

Western Blot

1:500 - 1:2000

Formulation, Preparation, and Storage

Purification

Immunogen affinity purified

Formulation

PBS, 50% Glycerol, pH (7.3)

Format

BSA Free

Preservative

0.02% Sodium Azide

Concentration

Please see the vial label for concentration. If unlisted please contact technical services.

Shipping

The product is shipped with polar packs. Upon receipt, store it immediately at the temperature recommended below.

Stability & Storage

Store at -20C. Avoid freeze-thaw cycles.

Background: MAP4K3

Several mammalian kinases have been identified which exhibit sequence similarity to the Saccharomyces cerevisiae serine/threonine kinase STE20. STE20 is involved in relaying signals from G-protein coupled receptors to cytosolic MAP kinase cascades, and it lies upstream of a MAP kinase kinase kinase. Mammalian STE20-like kinases include GLK, KHS, NIK, YSK1, HPK1, Krs-1, Krs-2 and human GC kinase. GLK (for GC-like kinase) is an 885 amino acid protein that shares a high degree of homology with GC kinase and HPK1. Like many of the STE20-like kinases, GLK specifically activates the JNK pathway. Epistasis studies with dominant negative mutants of MEKK1 suggest that GLK functions upstream of MEKK1 in the JNK signaling pathway.

Alternate Names

EC 2.7.11, EC 2.7.11.1, germinal center kinase-like kinase, Germinal center kinase-related protein kinase, GLKMEKKK 3, MAPK/ERK kinase kinase kinase 3, MAPKKKK3, MEK kinase kinase 3, mitogen-activated protein kinase kinase kinase kinase 3, RAB8IPL1

Gene Symbol

MAP4K3

Additional MAP4K3 Products

Product Documents for MAP4K3 Antibody - BSA Free

Certificate of Analysis

To download a Certificate of Analysis, please enter a lot number in the search box below.

Product Specific Notices for MAP4K3 Antibody - BSA Free

This product is for research use only and is not approved for use in humans or in clinical diagnosis. Primary Antibodies are guaranteed for 1 year from date of receipt.

Loading...
Loading...
Loading...
Loading...