Skip to main content

MANSC1 Antibody - BSA Free

Novus Biologicals, part of Bio-Techne | Catalog # NBP2-85252

Novus Biologicals, part of Bio-Techne
Catalog #
Availability
Size / Price
Qty
Loading...
NBP2-85252-0.1ml

Key Product Details

Species Reactivity

Human

Applications

Immunohistochemistry, Immunohistochemistry-Paraffin, Western Blot

Label

Unconjugated

Antibody Source

Polyclonal Rabbit

Format

BSA Free

Concentration

1 mg/ml

Product Specifications

Immunogen

The immunogen is a synthetic peptide directed towards the N-terminal region of human MANSC1. Peptide sequence: LTLRLSASQNCLKKSLEDVVIDIQSSLSKGIRGNEPVYTSTQEDCINSCC The peptide sequence for this immunogen was taken from within the described region.

Clonality

Polyclonal

Host

Rabbit

Description

Novus Biologicals Rabbit MANSC1 Antibody - BSA Free (NBP2-85252) is a polyclonal antibody validated for use in IHC and WB. All Novus Biologicals antibodies are covered by our 100% guarantee.

Scientific Data Images for MANSC1 Antibody - BSA Free

Western Blot: MANSC1 Antibody [NBP2-85252]

Western Blot: MANSC1 Antibody [NBP2-85252]

Western Blot: MANSC1 Antibody [NBP2-85252] - WB Suggested Anti-MANSC1 Antibody Titration: 5.0ug/ml. Positive Control: Fetal kidney lysate
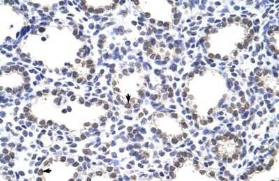
Immunohistochemistry: MANSC1 Antibody [NBP2-85252]

Immunohistochemistry: MANSC1 Antibody [NBP2-85252]

Immunohistochemistry: MANSC1 Antibody [NBP2-85252] - Human Lung

Applications for MANSC1 Antibody - BSA Free

Application
Recommended Usage

Western Blot

1.0 ug/ml

Formulation, Preparation, and Storage

Purification

Protein A purified

Formulation

PBS, 2% Sucrose

Format

BSA Free

Preservative

0.09% Sodium Azide

Concentration

1 mg/ml

Shipping

The product is shipped with polar packs. Upon receipt, store it immediately at the temperature recommended below.

Stability & Storage

Store at 4C short term. Aliquot and store at -20C long term. Avoid freeze-thaw cycles.

Background: MANSC1

Alternate Names

9130403P13Rik, LOH12CR3FLJ10298, Loss of heterozygosity 12 chromosomal region 3 protein, MANSC domain containing 1, MANSC domain-containing protein 1

Gene Symbol

MANSC1

Additional MANSC1 Products

Product Documents for MANSC1 Antibody - BSA Free

Certificate of Analysis

To download a Certificate of Analysis, please enter a lot number in the search box below.

Product Specific Notices for MANSC1 Antibody - BSA Free

This product is for research use only and is not approved for use in humans or in clinical diagnosis. Primary Antibodies are guaranteed for 1 year from date of receipt.

Loading...
Loading...
Loading...
Loading...