Skip to main content

MALT1 Antibody - BSA Free

Novus Biologicals, part of Bio-Techne | Catalog # NB100-56158

Novus Biologicals, part of Bio-Techne
Catalog #
Availability
Size / Price
Qty
Loading...
NB100-56158
NB100-56158SS

Key Product Details

Species Reactivity

Human

Applications

Immunohistochemistry, Immunohistochemistry-Paraffin, Immunoprecipitation, Western Blot

Label

Unconjugated

Antibody Source

Polyclonal Rabbit IgG

Format

BSA Free

Concentration

This product is unpurified. The exact concentration of antibody is not quantifiable.

Product Specifications

Immunogen

Full-length recombinant human MALT1/Paracaspase protein was used as immunogen.

Specificity

The antibody recognizes both human MALT1 isoforms a and b. Tranlocations between the MALT1 gene and other genes, can result in MALT1 chimeric (fusion) proteins of various sizes.

Clonality

Polyclonal

Host

Rabbit

Isotype

IgG

Description

Novus Biologicals Rabbit MALT1 Antibody - BSA Free (NB100-56158) is a polyclonal antibody validated for use in IHC, WB and IP. All Novus Biologicals antibodies are covered by our 100% guarantee.

Scientific Data Images for MALT1 Antibody - BSA Free

Western Blot: MALT1 Antibody [NB100-56158]

Western Blot: MALT1 Antibody [NB100-56158]

Western Blot: MALT1 Antibody - Unpurified [NB100-56158] - Analysis of MALT1/Paracaspase expression using this antibody. HEK293N cells transiently transfected with control (empty) plasmid (Ctl-) or human full-length MALT1 (Ctl+) were used as negative or positive controls, respectively. Freshly isolated human polymorphonuclear neutrophils (PMN) and resting B-cells were negative. MALT1 expression was detected in SKW64, Ramos, and BJAB B-cell lymphoma lines, and 3 out of 6 B-cell chronic lymphocytic luekemia (CLL) patients.
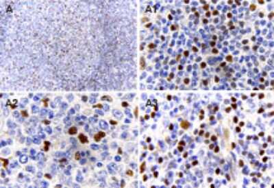
Immunohistochemistry-Paraffin: MALT1 Antibody [NB100-56158]

Immunohistochemistry-Paraffin: MALT1 Antibody [NB100-56158]

Immunohistochemistry-Paraffin: MALT1 Antibody - Unpurified [NB100-56158] - Analysis of MALT1/Paracaspase expression in formalin-fixed human reactive lymph node using this antibody at 1:2000. A) Low magnification A1-A3) high magnification from A. A1) mantle zone A2) germinal center A3) marginal zone. Hematoxylin-eosin counterstain.

Applications for MALT1 Antibody - BSA Free

Application
Recommended Usage

Immunohistochemistry-Paraffin

1:1000-1:5000

Western Blot

1:1000-1:2000
Application Notes
Immunoprecipitation, Western Blot, Immunohistochemistry-Paraffin IHC (frozen): Users should optimize according to model and immunodetection system used (secondary reagents)

Formulation, Preparation, and Storage

Purification

Unpurified

Formulation

Whole antisera

Format

BSA Free

Preservative

0.05% Sodium Azide

Concentration

This product is unpurified. The exact concentration of antibody is not quantifiable.

Shipping

The product is shipped with polar packs. Upon receipt, store it immediately at the temperature recommended below.

Stability & Storage

Store at 4C short term. Aliquot and store at -20C long term. Avoid freeze-thaw cycles.

Background: MALT1

MALT1/Paracaspase (MALT1) was independently identified as a member of the human procaspase family and an interacting partner of B-cell lymphoma (Uren et al., 2000). MALT1 is a caspase-like protein that contains an N-terminal death domain, two Ig-like domains, and a C-terminal caspase-like domain. It binds to Bcl10 through its Ig-like domains and cooperates with Bcl10 to activate NF-kappaB. MALT1 is thought to play an important role in NF-kappaB signaling by enhancing NF-kappaB activation through interaction with Bcl10 (Ho et al., 2005). Interaction between MALT1 and Bcl10 mediates IKK activation in vitro through facilitating the ubiquitination of NEMO by the ubiquitin-conjugating enzyme UBC13. Four recurrent chromosomal translocations have been described in non-Hodgkin B-cell lymphoma of the mucosa-associated lymphoid issue (MALT) type. Two of them, t(14;18)(q32;q21) and t(11;18)(q21;q21), are found in 30% to 50% of extranodal MALT lymphomas. The first translocation juxtaposes the MALT1 gene to the IgH promoter region, resulting in the deregulation of MALT1 expression, whereas the second translocation generates a fusion between MALT1 and the inhibitor of apoptosis gene API2 (cIAP2/HIAP1). The other two much rarer translocations, t(1;14)(p22;q32)and t(1;2)(p22;p12), target Bcl10 gene on the short arm of chromosome 1. Translocations involving Bcl10 and MALT1 may lead to elevated NF-kappaB activity in MALT B-cell lymphoma. Two alternatively spliced transcript variants encoding different isoforms (a and b) have been described for the MALT1 gene. Human MALT1 isoform a is an amino acid protein of 824 amino acids, and human MALT1 isoform b is an amino acid protein of 813 amino acids.

Long Name

Mucosa Associated Lymphoid Tissue Lymphoma Translocation Gene 1

Alternate Names

MLT1, Paracaspase

Entrez Gene IDs

10892 (Human)

Gene Symbol

MALT1

Additional MALT1 Products

Product Documents for MALT1 Antibody - BSA Free

Certificate of Analysis

To download a Certificate of Analysis, please enter a lot number in the search box below.

Product Specific Notices for MALT1 Antibody - BSA Free

This product is for research use only and is not approved for use in humans or in clinical diagnosis. Primary Antibodies are guaranteed for 1 year from date of receipt.

Loading...
Loading...
Loading...
Loading...