Skip to main content

MALT1 Antibody (PSH02-32)

Novus Biologicals, part of Bio-Techne | Catalog # NBP3-32562

Recombinant Monoclonal Antibody
Novus Biologicals, part of Bio-Techne
Catalog #
Availability
Size / Price
Qty
Loading...
NBP3-32562

Key Product Details

Species Reactivity

Human, Mouse, Rat

Applications

Immunohistochemistry, Immunohistochemistry-Paraffin, Western Blot, Immunocytochemistry/ Immunofluorescence

Label

Unconjugated

Antibody Source

Recombinant Monoclonal Rabbit IgG Clone # PSH02-32 expressed in HEK293

Concentration

1 mg/ml

Product Specifications

Immunogen

Recombinant protein within Human MALT1 aa 1-400 / 824 (Q9UDY8). (Uniprot: Q9UDY8)

Localization

Cytoplasm, perinuclear region, Nucleus

Clonality

Monoclonal

Host

Rabbit

Isotype

IgG

Theoretical MW

92 kDa.
Disclaimer note: The observed molecular weight of the protein may vary from the listed predicted molecular weight due to post translational modifications, post translation cleavages, relative charges, and other experimental factors.

Description

Novus Biologicals Rabbit MALT1 Antibody (PSH02-32) (NBP3-32562) is a recombinant monoclonal antibody validated for use in IHC, WB and ICC/IF. All Novus Biologicals antibodies are covered by our 100% guarantee.

Scientific Data Images for MALT1 Antibody (PSH02-32)

MALT1 Antibody (PSH02-32)

Western Blot: MALT1 Antibody (PSH02-32) [NBP3-32562]

Western Blot: MALT1 Antibody (PSH02-32) [NBP3-32562] - Western blot analysis of MALT1 on different lysates with Rabbit anti-MALT1 antibody (NBP3-32562) at 1/1,000 dilution.

Lane 1: HCT116 cell lysate
Lane 2: Hela cell lysate
Lane 3: Ramos cell lysate
Lane 4: K-562 cell lysate
Lane 5: Jurkat cell lysate
Lane 6: HepG2 cell lysate
Lane 7: Daudi cell lysate
Lane 8: 786-0 cell lysate
Lane 9: LNCaP cell lysate
Lane 10: PC-3M cell lysate
Lane 11: SW480 cell lysate
Lane 12: Mouse lymph node(no heat)tissue lysate
Lane 13: Mouse thymus tissue lysate
Lane 14: Rat thymus tissue lysate

Cell lysates/proteins at 20 ug/Lane, tissue lysates/proteins at 40 ug/Lane.

Predicted band size: 92 kDa
Observed band size: 92 kDa

Exposure time: 43 seconds;

4-20% SDS-PAGE gel.

Proteins were transferred to a PVDF membrane and blocked with 5% NFDM/TBST for 1 hour at room temperature. The primary antibody (NBP3-32562) at 1/1,000 dilution was used in 5% NFDM/TBST at 4 overnight. Goat Anti-Rabbit IgG - HRP Secondary Antibody at 1/50,000 dilution was used for 1 hour at room temperature.
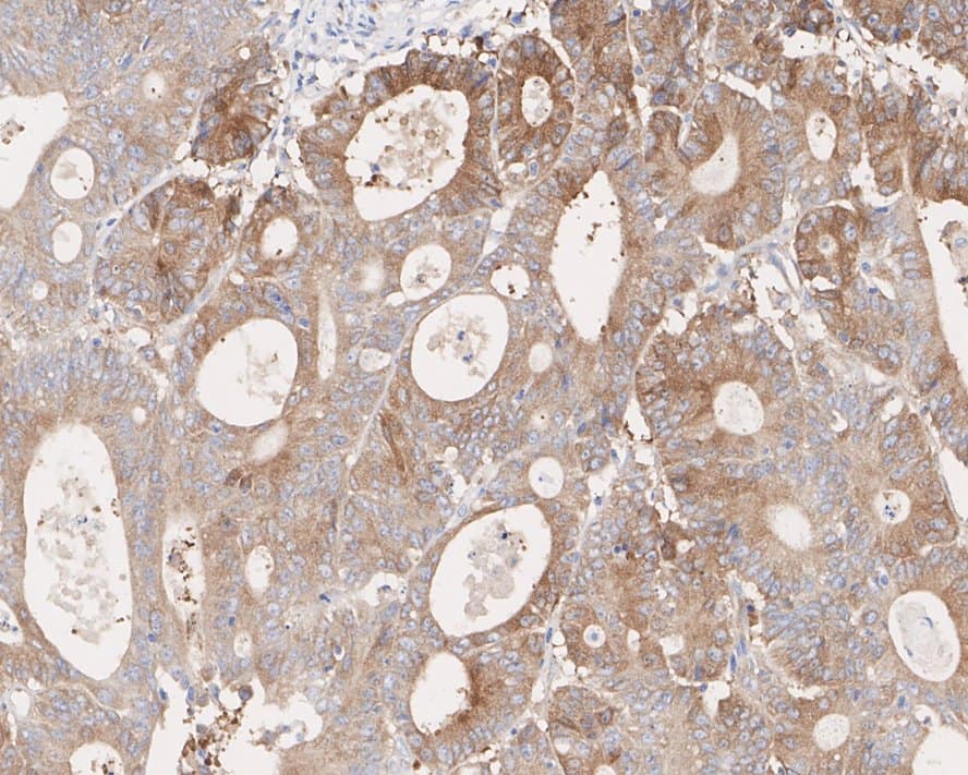
MALT1 Antibody (PSH02-32)

Immunohistochemistry: MALT1 Antibody (PSH02-32) [NBP3-32562]

Immunohistochemistry: MALT1 Antibody (PSH02-32) [NBP3-32562] - Immunohistochemical analysis of paraffin-embedded human colon cancer tissue with Rabbit anti-MALT1 antibody (NBP3-32562) at 1/5,000 dilution.

The section was pre-treated using heat mediated antigen retrieval with sodium citrate buffer (pH 6.0) for 2 minutes. The tissues were blocked in 1% BSA for 20 minutes at room temperature, washed with ddH2O and PBS, and then probed with the primary antibody (NBP3-32562) at 1/5,000 dilution for 1 hour at room temperature. The detection was performed using an HRP conjugated compact polymer system. DAB was used as the chromogen. Tissues were counterstained with hematoxylin and mounted with DPX.
MALT1 Antibody (PSH02-32)

Immunocytochemistry/ Immunofluorescence: MALT1 Antibody (PSH02-32) [NBP3-32562]

Immunocytochemistry/ Immunofluorescence: MALT1 Antibody (PSH02-32) [NBP3-32562] - Immunocytochemistry analysis of Ramos cells labeling MALT1 with Rabbit anti-MALT1 antibody (NBP3-32562) at 1/100 dilution.

Cells were fixed in 100% precooled methanol for 5 minutes at room temperature, then blocked with 1% BSA in 10% negative goat serum for 1 hour at room temperature. Cells were then incubated with Rabbit anti-MALT1 antibody (NBP3-32562) at 1/100 dilution in 1% BSA in PBST overnight at 4 ℃. Goat Anti-Rabbit IgG H&L (iFluor™ 488) was used as the secondary antibody at 1/1,000 dilution. PBS instead of the primary antibody was used as the secondary antibody only control. Nuclear DNA was labelled in blue with DAPI.

Beta tubulin (red) was stained at 1/100 dilution overnight at +4℃. Goat Anti-Mouse IgG H&L (iFluor™ 594) was used as the secondary antibody at 1/1,000 dilution.

Applications for MALT1 Antibody (PSH02-32)

Application
Recommended Usage

Immunocytochemistry/ Immunofluorescence

1:100

Immunohistochemistry-Paraffin

1:2000-1:5000

Western Blot

1:1000

Formulation, Preparation, and Storage

Purification

Protein A purified

Formulation

PBS (pH7.4), 0.1% BSA and 40% Glycerol

Preservative

0.05% Sodium Azide

Concentration

1 mg/ml

Shipping

The product is shipped with polar packs. Upon receipt, store it immediately at the temperature recommended below.

Stability & Storage

Store at 4C short term. Aliquot and store at -20C long term. Avoid freeze-thaw cycles.

Background: MALT1

Mucosa-associated lymphoid tissue lymphoma translocation protein 1 (MALT1), also known as MLT1 or paracaspase 1, is a member of the human paracaspase family and an interacting partner of B-cell lymphoma 10 (Bcl-10) (1). In vitro, In vitro, MALT1 synergizes with BCL10 to enhance nuclear factor B activation (2) and to mediate IB kinase (IKK) activation by facilitating the ubiquitinylation of the NF-B essential modulator (NEMO) (3). MALT1 is found in recurrent chromosomal translocations in non-Hodgkin B-cell lymphoma of the mucosa-associated lymphoid tissue (MALT). One common translocation juxtaposes the MALT1 gene to the IgH promoter region, resulting in up-regulation of Bcl-10 and MALT1 (4). Another common translocation creates a fusion between MALT1 and the inhibitor of apoptosis gene API2 (cIAP2/HIAP1) (5).

Long Name

Mucosa Associated Lymphoid Tissue Lymphoma Translocation Gene 1

Alternate Names

MLT1, Paracaspase

Gene Symbol

MALT1

Additional MALT1 Products

Product Documents for MALT1 Antibody (PSH02-32)

Certificate of Analysis

To download a Certificate of Analysis, please enter a lot number in the search box below.

Product Specific Notices for MALT1 Antibody (PSH02-32)

This product is for research use only and is not approved for use in humans or in clinical diagnosis. Primary Antibodies are guaranteed for 1 year from date of receipt.

Loading...
Loading...
Loading...
Loading...