Skip to main content

MAL Antibody (B5-G3)

Novus Biologicals, part of Bio-Techne | Catalog # NBP2-75563

Novus Biologicals, part of Bio-Techne
Catalog #
Availability
Size / Price
Qty
Loading...
NBP2-75563

Key Product Details

Species Reactivity

Human, Mouse, Rat

Applications

Flow Cytometry, Immunohistochemistry, Immunohistochemistry-Paraffin, Western Blot

Label

Unconjugated

Antibody Source

Monoclonal Mouse IgG1 Clone # B5-G3

Concentration

2 mg/ml

Product Specifications

Immunogen

Synthetic peptide within mouse MAL aa 97-146 / 153. (SwissProt: P21145 Human; SwissProt: O09198 Mouse; SwissProt: Q64349 Rat)

Reactivity Notes

Mouse blocking reagent may be needed for IHC and ICC experiments to reduce high background signal. You can find these reagents under catalog numbers PK-2200-NB and MP-2400-NB. Please contact Technical Support if you have any. Please note that this antibody is reactive to Mouse and derived from the same host, Mouse. Mouse-On-questions.

Localization

Membrane.

Clonality

Monoclonal

Host

Mouse

Isotype

IgG1

Theoretical MW

25 kDa.
Disclaimer note: The observed molecular weight of the protein may vary from the listed predicted molecular weight due to post translational modifications, post translation cleavages, relative charges, and other experimental factors.

Description

Novus Biologicals Mouse MAL Antibody (B5-G3) (NBP2-75563) is a monoclonal antibody validated for use in IHC, WB and Flow. All Novus Biologicals antibodies are covered by our 100% guarantee.

Scientific Data Images for MAL Antibody (B5-G3)

Western Blot: MAL Antibody (B5-G3) [NBP2-75563]

Western Blot: MAL Antibody (B5-G3) [NBP2-75563]

Western Blot: MAL Antibody (B5-G3) [NBP2-75563] - Analysis of MAL on mouse kidney (1) and mouse lymphatic vessels (2) tissue lysate using anti-MAL antibody at 1/1,000 dilution.
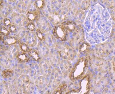
Immunohistochemistry-Paraffin: MAL Antibody (B5-G3) [NBP2-75563]

Immunohistochemistry-Paraffin: MAL Antibody (B5-G3) [NBP2-75563]

Immunohistochemistry-Paraffin: MAL Antibody (B5-G3) [NBP2-75563] - Analysis of paraffin-embedded rat kidney tissue using anti-MAL antibody. Counter stained with hematoxylin.
Flow Cytometry: MAL Antibody (B5-G3) [NBP2-75563]

Flow Cytometry: MAL Antibody (B5-G3) [NBP2-75563]

Flow Cytometry: MAL Antibody (B5-G3) [NBP2-75563] - Analysis of Jurkat cells with MAL antibody at 1/100 dilution (red) compared with an unlabelled control (cells without incubation with primary antibody; black).

Applications for MAL Antibody (B5-G3)

Application
Recommended Usage

Flow Cytometry

1:50-1:200

Immunohistochemistry-Paraffin

1:50-1:200

Western Blot

1:500-1:1000

Formulation, Preparation, and Storage

Purification

Immunogen affinity purified

Formulation

PBS (pH7.4), 0.2% BSA, 50% Glycerol

Preservative

0.05% Sodium Azide

Concentration

2 mg/ml

Shipping

The product is shipped with polar packs. Upon receipt, store it immediately at the temperature recommended below.

Stability & Storage

Store at 4C short term. Aliquot and store at -20C long term. Avoid freeze-thaw cycles.

Background: MAL

The protein encoded by the MAL gene is a highly hydrophobic integral membrane protein belonging to the MAL family of proteolipids. The protein has been localized to the endoplasmic reticulum of T-cells and is a candidate linker protein in T-cell signal transduction. In addition, this proteolipid is localized in compact myelin of cells in the nervous system and has been implicated in myelin biogenesis and/or function. The protein plays a role in the formation, stabilization and maintenance of glycosphingolipid-enriched membrane microdomains. Alternative splicing produces four transcript variants which vary from each other by the presence or absence of alternatively spliced exons 2 and 3. (provided by RefSeq)

Alternate Names

mal, T-cell differentiation protein, myelin and lymphocyte protein, T-cell differentiation protein MAL, T-lymphocyte maturation-associated protein

Gene Symbol

MAL

Additional MAL Products

Product Documents for MAL Antibody (B5-G3)

Certificate of Analysis

To download a Certificate of Analysis, please enter a lot number in the search box below.

Product Specific Notices for MAL Antibody (B5-G3)

This product is for research use only and is not approved for use in humans or in clinical diagnosis. Primary Antibodies are guaranteed for 1 year from date of receipt.

Loading...
Loading...
Loading...
Loading...
Loading...