MAK10 Antibody - BSA Free
Novus Biologicals, part of Bio-Techne | Catalog # NBP1-77056
Conjugate
Catalog #
Key Product Details
Species Reactivity
Validated:
Human, Mouse, Rat
Predicted:
Chicken (100%). Backed by our 100% Guarantee.
Applications
Immunohistochemistry, Immunohistochemistry-Paraffin, Western Blot, ELISA
Label
Unconjugated
Antibody Source
Polyclonal Rabbit IgG
Format
BSA Free
Concentration
1 mg/ml
Product Specifications
Immunogen
Antibody was raised against a 19 amino acid synthetic peptide near the amino terminus of human MAK10. The immunogen is located within amino acids 190 - 240 of MAK10. Amino Acid Squence: KDVEDDMQRRVKSTRSRQGE
Clonality
Polyclonal
Host
Rabbit
Isotype
IgG
Scientific Data Images for MAK10 Antibody - BSA Free
Western Blot: MAK10 AntibodyBSA Free [NBP1-77056]
Western Blot: MAK10 Antibody [NBP1-77056] - Rat heart tissue lysate with MAK10 antibody at 1 ug/mL in the (A) absence and (B) presence of blocking peptide.Immunohistochemistry: MAK10 Antibody - BSA Free [NBP1-77056] -
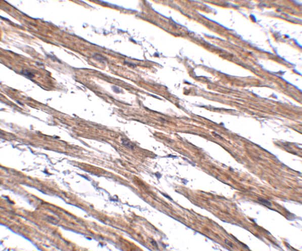
Immunohistochemistry: MAK10 Antibody - BSA Free [NBP1-77056] - Immunohistochemistry of MAK10 in human heart tissue with MAK10 antibody at 2.5 ug/mL.Applications for MAK10 Antibody - BSA Free
Application
Recommended Usage
ELISA
1:100-1:2000
Immunohistochemistry
2.5 ug/ml
Immunohistochemistry-Paraffin
2.5 ug/ml
Western Blot
1 ug/ml
Formulation, Preparation, and Storage
Purification
Peptide affinity purified
Formulation
PBS
Format
BSA Free
Preservative
0.02% Sodium Azide
Concentration
1 mg/ml
Shipping
The product is shipped with polar packs. Upon receipt, store it immediately at the temperature recommended below.
Stability & Storage
Store at 4C short term. Aliquot and store at -20C long term. Avoid freeze-thaw cycles.
Background: MAK10
Alternate Names
bA379P1.1, corneal wound healing-related protein, EGAP, embryonic growth-associated protein homolog, FLJ21613, FLJ22643, MAK10, MAK10 homolog, amino-acid N-acetyltransferase subunit, N(alpha)-acetyltransferase 35, NatC auxiliary subunit, N-alpha-acetyltransferase 35, NatC auxiliary subunit, protein MAK10 homolog
Gene Symbol
NAA35
UniProt
Additional MAK10 Products
Product Documents for MAK10 Antibody - BSA Free
Product Specific Notices for MAK10 Antibody - BSA Free
This product is for research use only and is not approved for use in humans or in clinical diagnosis. Primary Antibodies are guaranteed for 1 year from date of receipt.
Loading...
Loading...
Loading...
Loading...