Skip to main content

MAK Antibody - BSA Free

Novus Biologicals, part of Bio-Techne | Catalog # NBP3-35755

Novus Biologicals, part of Bio-Techne
Catalog #
Availability
Size / Price
Qty
Loading...
NBP3-35755-100ul
NBP3-35755-20ul

Key Product Details

Species Reactivity

Human, Mouse, Rat

Applications

Immunohistochemistry, Immunohistochemistry-Paraffin, Western Blot, ELISA

Label

Unconjugated

Antibody Source

Polyclonal Rabbit IgG

Format

BSA Free

Concentration

Please see the vial label for concentration. If unlisted please contact technical services.

Product Specifications

Immunogen

Recombinant fusion protein containing a sequence corresponding to amino acids 370-435 of human MAK (NP_005897.1).

Sequence:
TLFPSIVKNMPTKPNGTLSHKSGRRRWGQTIFKSGDSWEELEDYDFGASHSKKPSMGVFKEKRKKD

Clonality

Polyclonal

Host

Rabbit

Isotype

IgG

Theoretical MW

71 kDa.
Disclaimer note: The observed molecular weight of the protein may vary from the listed predicted molecular weight due to post translational modifications, post translation cleavages, relative charges, and other experimental factors.

Description

Novus Biologicals Rabbit MAK Antibody - BSA Free (NBP3-35755) is a polyclonal antibody validated for use in IHC, WB and ELISA. All Novus Biologicals antibodies are covered by our 100% guarantee.

Scientific Data Images for MAK Antibody - BSA Free

MAK Antibody

Immunohistochemistry: MAK Antibody [NBP3-35755] -

Immunohistochemistry: MAK Antibody [NBP3-35755] - Immunohistochemistry analysis of paraffin-embedded Human colon carcinoma using MAK Rabbit pAb at dilution of 1:100 (40x lens). Microwave antigen retrieval performed with 0.01M PBS Buffer (pH 7.2) prior to IHC staining.
MAK Antibody

Immunohistochemistry: MAK Antibody [NBP3-35755] -

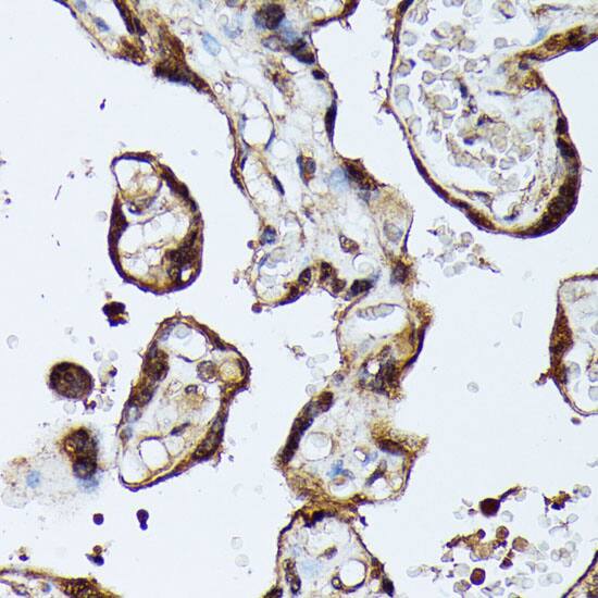
Immunohistochemistry: MAK Antibody [NBP3-35755] - Immunohistochemistry analysis of paraffin-embedded Human placenta using MAK Rabbit pAb at dilution of 1:100 (40x lens). Microwave antigen retrieval performed with 0.01M PBS Buffer (pH 7.2) prior to IHC staining.
MAK Antibody

Immunohistochemistry: MAK Antibody [NBP3-35755] -

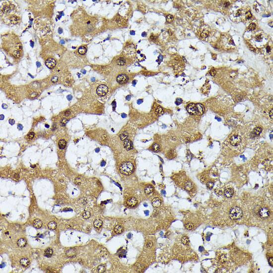
Immunohistochemistry: MAK Antibody [NBP3-35755] - Immunohistochemistry analysis of paraffin-embedded Human liver using MAK Rabbit pAb at dilution of 1:100 (40x lens). Microwave antigen retrieval performed with 0.01M PBS Buffer (pH 7.2) prior to IHC staining.

Applications for MAK Antibody - BSA Free

Application
Recommended Usage

Immunohistochemistry-Paraffin

1:50 - 1:100

Western Blot

1:500 - 1:2000

Formulation, Preparation, and Storage

Purification

Affinity purified

Formulation

PBS (pH 7.3), 50% glycerol

Format

BSA Free

Preservative

0.01% Thimerosal

Concentration

Please see the vial label for concentration. If unlisted please contact technical services.

Shipping

The product is shipped with polar packs. Upon receipt, store it immediately at the temperature recommended below.

Stability & Storage

Store at -20C. Avoid freeze-thaw cycles.

Background: MAK

The product of this gene is a serine/threonine protein kinase related to kinases involved in cell cycle regulation. It is expressed almost exclusively in the testis, primarily in germ cells. Studies of the mouse and rat homologs have localized the kinase to the chromosomes during meiosis in spermatogenesis, specifically to the synaptonemal complex that exists while homologous chromosomes are paired. There is, however, a study of the mouse homolog that has identified high levels of expression in developing sensory epithelia so its function may be more generalized.

Alternate Names

dJ417M14.2, EC 2.7.11, EC 2.7.11.22, male germ cell-associated kinaseserine/threonine protein kinase MAK, serine/threonine-protein kinase MAK

Gene Symbol

MAK

Additional MAK Products

Product Documents for MAK Antibody - BSA Free

Certificate of Analysis

To download a Certificate of Analysis, please enter a lot number in the search box below.

Product Specific Notices for MAK Antibody - BSA Free

This product is for research use only and is not approved for use in humans or in clinical diagnosis. Primary Antibodies are guaranteed for 1 year from date of receipt.

Loading...
Loading...
Loading...
Loading...