Skip to main content

MAK Antibody (OTI5A7)

Novus Biologicals, part of Bio-Techne | Catalog # NBP2-45723

Novus Biologicals, part of Bio-Techne
Catalog #
Availability
Size / Price
Qty
Loading...
NBP2-45723

Key Product Details

Species Reactivity

Human, Rat

Applications

Immunohistochemistry, Immunohistochemistry-Paraffin, Western Blot

Label

Unconjugated

Antibody Source

Monoclonal Mouse IgG1 Clone # OTI5A7

Concentration

1 mg/ml

Product Specifications

Immunogen

Human recombinant protein fragment corresponding to amino acids 291-623 of human MAK(NP_005897) produced in E.coli.

Clonality

Monoclonal

Host

Mouse

Isotype

IgG1

Description

Novus Biologicals Mouse MAK Antibody (OTI5A7) (NBP2-45723) is a monoclonal antibody validated for use in IHC and WB. All Novus Biologicals antibodies are covered by our 100% guarantee.

Scientific Data Images for MAK Antibody (OTI5A7)

Western Blot: MAK Antibody (OTI5A7) [NBP2-45723]

Western Blot: MAK Antibody (OTI5A7) [NBP2-45723]

Western Blot: MAK Antibody (OTI5A7) [NBP2-45723] - HEK293T cells were transfected with the pCMV6-ENTRY control (Left lane) or pCMV6-ENTRY MAK (Right lane) cDNA for 48 hrs and lysed. Equivalent amounts of cell lysates (5 ug per lane) were separated by SDS-PAGE and immunoblotted with anti-MAK.
Immunohistochemistry-Paraffin: MAK Antibody (OTI5A7) [NBP2-45723]

Immunohistochemistry-Paraffin: MAK Antibody (OTI5A7) [NBP2-45723]

Immunohistochemistry-Paraffin: MAK Antibody (OTI5A7) [NBP2-45723] - Staining of paraffin-embedded Carcinoma of Human prostate tissue using anti-MAK mouse monoclonal antibody.
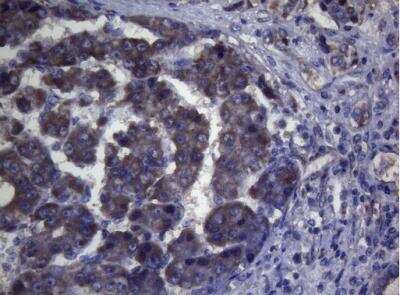
Immunohistochemistry-Paraffin: MAK Antibody (OTI5A7) [NBP2-45723]

Immunohistochemistry-Paraffin: MAK Antibody (OTI5A7) [NBP2-45723]

Immunohistochemistry-Paraffin: MAK Antibody (OTI5A7) [NBP2-45723] - Staining of paraffin-embedded Adenocarcinoma of Human colon tissue using anti-MAK mouse monoclonal antibody.

Applications for MAK Antibody (OTI5A7)

Application
Recommended Usage

Immunohistochemistry

1:150

Western Blot

1:2000

Formulation, Preparation, and Storage

Purification

Immunogen affinity purified

Formulation

PBS (pH 7.3), 1.0% BSA and 50% Glycerol

Preservative

0.02% Sodium Azide

Concentration

1 mg/ml

Shipping

The product is shipped with polar packs. Upon receipt, store it immediately at the temperature recommended below.

Stability & Storage

Store at -20C. Avoid freeze-thaw cycles.

Background: MAK

The product of this gene is a serine/threonine protein kinase related to kinases involved in cell cycle regulation. It is expressed almost exclusively in the testis, primarily in germ cells. Studies of the mouse and rat homologs have localized the kinase to the chromosomes during meiosis in spermatogenesis, specifically to the synaptonemal complex that exists while homologous chromosomes are paired. There is, however, a study of the mouse homolog that has identified high levels of expression in developing sensory epithelia so its function may be more generalized.

Alternate Names

dJ417M14.2, EC 2.7.11, EC 2.7.11.22, male germ cell-associated kinaseserine/threonine protein kinase MAK, serine/threonine-protein kinase MAK

Gene Symbol

MAK

Additional MAK Products

Product Documents for MAK Antibody (OTI5A7)

Certificate of Analysis

To download a Certificate of Analysis, please enter a lot number in the search box below.

Product Specific Notices for MAK Antibody (OTI5A7)

This product is for research use only and is not approved for use in humans or in clinical diagnosis. Primary Antibodies are guaranteed for 1 year from date of receipt.

Loading...
Loading...
Loading...
Loading...