Skip to main content

MAGIX Antibody - BSA Free

Novus Biologicals, part of Bio-Techne | Catalog # NBP1-93951

Novus Biologicals, part of Bio-Techne
Catalog #
Availability
Size / Price
Qty
Loading...
NBP1-93951
NBP1-93951-25ul

Key Product Details

Species Reactivity

Human

Applications

Immunohistochemistry, Immunohistochemistry-Paraffin

Label

Unconjugated

Antibody Source

Polyclonal Rabbit IgG

Format

BSA Free

Concentration

Concentrations vary lot to lot. See vial label for concentration. If unlisted please contact technical services.

Product Specifications

Immunogen

This antibody was developed against Recombinant Protein corresponding to amino acids: QGLTHAQAVERIRAGGPQLHLVIRRPLETHPGKPRGVGEPRKGVDRSPDPGGPEVTGSRSSSTSLVQHPPSRTTLKKTRGSPEPSPEA

Clonality

Polyclonal

Host

Rabbit

Isotype

IgG

Scientific Data Images for MAGIX Antibody - BSA Free

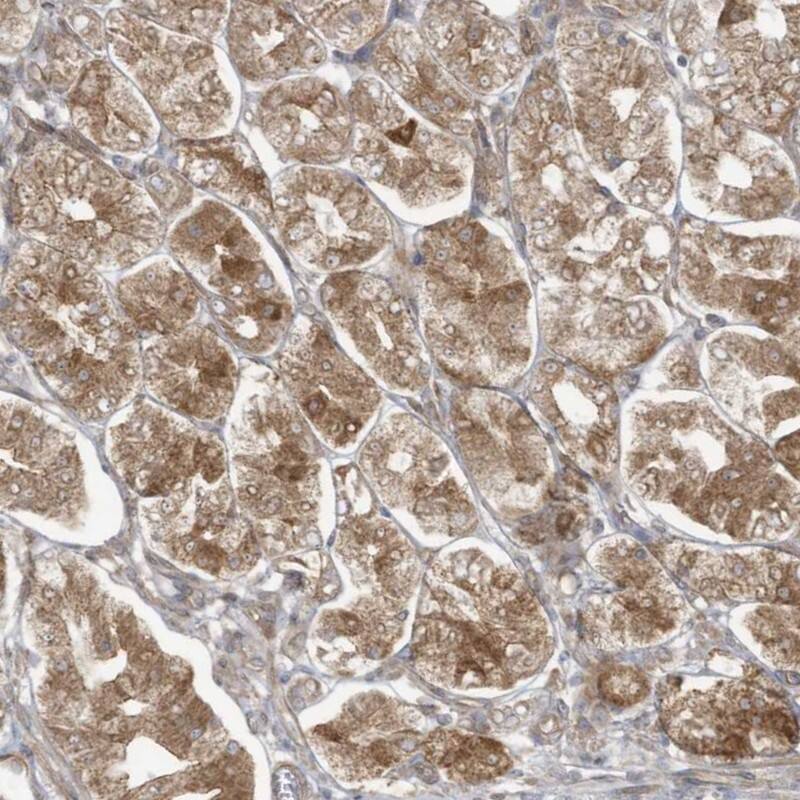
Immunohistochemistry-Paraffin: MAGIX Antibody [NBP1-93951]

Immunohistochemistry-Paraffin: MAGIX Antibody [NBP1-93951]

Immunohistochemistry-Paraffin: MAGIX Antibody [NBP1-93951] - Staining of human pancreas shows strong cytoplasmic positivity in exocrine glandular cells.
MAGIX Antibody - BSA Free Immunohistochemistry: MAGIX Antibody - BSA Free [NBP1-93951]

Immunohistochemistry: MAGIX Antibody - BSA Free [NBP1-93951]

Staining of human stomach shows moderate cytoplasmic positivity in glandular cells.

Applications for MAGIX Antibody - BSA Free

Application
Recommended Usage

Immunohistochemistry

1:50 - 1:200

Immunohistochemistry-Paraffin

1:50 - 1:200
Application Notes
For IHC-Paraffin, HIER pH 6 retrieval is recommended. Immunocytochemistry/Immunofluorescence Fixation Permeabilization: Use PFA/Triton X-100.

Formulation, Preparation, and Storage

Purification

Affinity purified

Formulation

PBS (pH 7.2) and 40% Glycerol

Format

BSA Free

Preservative

0.02% Sodium Azide

Concentration

Concentrations vary lot to lot. See vial label for concentration. If unlisted please contact technical services.

Shipping

The product is shipped with polar packs. Upon receipt, store it immediately at the temperature recommended below.

Stability & Storage

Store at 4C short term. Aliquot and store at -20C long term. Avoid freeze-thaw cycles.

Background: MAGIX

Alternate Names

FLJ21687, MAGI family member, X-linked, X chromosome

Gene Symbol

MAGIX

Additional MAGIX Products

Product Documents for MAGIX Antibody - BSA Free

Certificate of Analysis

To download a Certificate of Analysis, please enter a lot number in the search box below.

Product Specific Notices for MAGIX Antibody - BSA Free

This product is for research use only and is not approved for use in humans or in clinical diagnosis. Primary Antibodies are guaranteed for 1 year from date of receipt.

Loading...
Loading...
Loading...
Loading...