MAGEH1 Antibody - BSA Free
Novus Biologicals, part of Bio-Techne | Catalog # NBP3-45968
Key Product Details
Species Reactivity
Human, Mouse, Rat
Applications
Immunohistochemistry, Western Blot, ELISA
Label
Unconjugated
Antibody Source
Polyclonal Rabbit IgG
Format
BSA Free
Concentration
Please see the vial label for concentration. If unlisted please contact technical services.
Product Specifications
Immunogen
melanoma antigen family H, 1. (Uniprot# Q9H213)
Clonality
Polyclonal
Host
Rabbit
Isotype
IgG
Theoretical MW
28 kDa.
Disclaimer note: The observed molecular weight of the protein may vary from the listed predicted molecular weight due to post translational modifications, post translation cleavages, relative charges, and other experimental factors.
Disclaimer note: The observed molecular weight of the protein may vary from the listed predicted molecular weight due to post translational modifications, post translation cleavages, relative charges, and other experimental factors.
Description
Novus Biologicals Rabbit MAGEH1 Antibody - BSA Free (NBP3-45968) is a polyclonal antibody validated for use in IHC, WB and ELISA. All Novus Biologicals antibodies are covered by our 100% guarantee.
Scientific Data Images for MAGEH1 Antibody - BSA Free
Western Blot: MAGEH1 Antibody - BSA Free [NBP3-45968] -
Western Blot: MAGEH1 Antibody - BSA Free [NBP3-45968] - Y79 cells were subjected to SDS PAGE followed by western blot with (MAGEH1 Antibody) at dilution of 1:600Immunohistochemistry: MAGEH1 Antibody - BSA Free [NBP3-45968] -
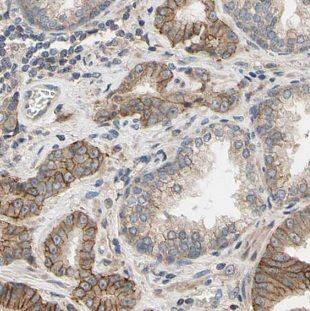
Immunohistochemistry: MAGEH1 Antibody - BSA Free [NBP3-45968] - Immunohistochemistry of paraffin-embedded human prostate cancer tissue slide using (MAGEH1 Antibody) at dilution of 1:50Applications for MAGEH1 Antibody - BSA Free
Application
Recommended Usage
Immunohistochemistry
1:20-1:200
Western Blot
1:500-1:2000
Formulation, Preparation, and Storage
Purification
Immunogen affinity purified
Formulation
PBS, 50% Glycerol, pH (7.3)
Format
BSA Free
Preservative
0.02% Sodium Azide
Concentration
Please see the vial label for concentration. If unlisted please contact technical services.
Shipping
The product is shipped with polar packs. Upon receipt, store it immediately at the temperature recommended below.
Stability & Storage
Store at -20C. Avoid freeze-thaw cycles.
Background: MAGEH1
Alternate Names
Apoptosis-related protein 1, APR-1, APR1melanoma antigen, family H, 1 protein, MAGEH, MAGE-H1 antigen, melanoma antigen family H, 1, melanoma-associated antigen H1, Restin
Gene Symbol
MAGEH1
Additional MAGEH1 Products
Product Documents for MAGEH1 Antibody - BSA Free
Product Specific Notices for MAGEH1 Antibody - BSA Free
This product is for research use only and is not approved for use in humans or in clinical diagnosis. Primary Antibodies are guaranteed for 1 year from date of receipt.
Loading...
Loading...
Loading...
Loading...