Skip to main content

MAGEB4 Antibody - BSA Free

Novus Biologicals, part of Bio-Techne | Catalog # NBP1-85404

Novus Biologicals, part of Bio-Techne
Catalog #
Availability
Size / Price
Qty
Loading...
NBP1-85404-25ul
NBP1-85404

Key Product Details

Validated by

Orthogonal Validation

Species Reactivity

Human

Applications

Immunohistochemistry, Immunohistochemistry-Paraffin

Label

Unconjugated

Antibody Source

Polyclonal Rabbit IgG

Format

BSA Free

Concentration

Concentrations vary lot to lot. See vial label for concentration. If unlisted please contact technical services.

Product Specifications

Immunogen

This antibody was developed against Recombinant Protein corresponding to amino acids: KVGQPTAAEKEESPSSSSSVLRDTASSSLAFGIPQEPQREPPTTSAAAAMSCTGSDKGDESQDEENASSSQASTSTERSLKDSLTRKTKMLVQFLLYKYKMKEPTTKAEMLKIISKKYKEHFPE

Clonality

Polyclonal

Host

Rabbit

Isotype

IgG

Scientific Data Images for MAGEB4 Antibody - BSA Free

Immunohistochemistry-Paraffin: MAGEB4 Antibody [NBP1-85404]

Immunohistochemistry-Paraffin: MAGEB4 Antibody [NBP1-85404]

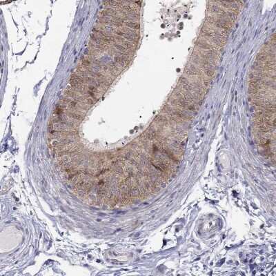
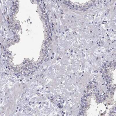
Immunohistochemistry-Paraffin: MAGEB4 Antibody [NBP1-85404] - Staining in human epididymis and prostate tissues using anti-MAGEB4 antibody. Corresponding MAGEB4 RNA-seq data are presented for the same tissues.
Immunohistochemistry-Paraffin: MAGEB4 Antibody [NBP1-85404]

Immunohistochemistry-Paraffin: MAGEB4 Antibody [NBP1-85404]

Immunohistochemistry-Paraffin: MAGEB4 Antibody [NBP1-85404] - Staining of human epididymis shows high expression.
Immunohistochemistry-Paraffin: MAGEB4 Antibody [NBP1-85404]

Immunohistochemistry-Paraffin: MAGEB4 Antibody [NBP1-85404]

Immunohistochemistry-Paraffin: MAGEB4 Antibody [NBP1-85404] - Staining of human prostate shows low expression as expected.

Applications for MAGEB4 Antibody - BSA Free

Application
Recommended Usage

Immunohistochemistry

1:500 - 1:1000

Immunohistochemistry-Paraffin

1:500 - 1:1000
Application Notes
For IHC-Paraffin, HIER pH 6 retrieval is recommended.

Formulation, Preparation, and Storage

Purification

Affinity purified

Formulation

PBS (pH 7.2) and 40% Glycerol

Format

BSA Free

Preservative

0.02% Sodium Azide

Concentration

Concentrations vary lot to lot. See vial label for concentration. If unlisted please contact technical services.

Shipping

The product is shipped with polar packs. Upon receipt, store it immediately at the temperature recommended below.

Stability & Storage

Store at 4C short term. Aliquot and store at -20C long term. Avoid freeze-thaw cycles.

Background: MAGEB4

MAGEB4 is a member of the MAGEB gene family. The members of this family have their entire coding sequences located in the last exon, and the encoded proteins show 50 to 68% sequence identity to each other. The promoters and first exons of the MAGEB genes show considerable variability, suggesting that the existence of this gene family enables the same function to be expressed under different transcriptional controls. The MAGEB genes are clustered on chromosome Xp22-p21. This gene sequence ends in the first intron of MAGEB1, another family member. This gene is expressed in testis. [provided by RefSeq]

Alternate Names

cancer/testis antigen family 3, member 6, CT3.6, MAGE-B4 antigen, melanoma antigen family B, 4, melanoma-associated antigen B4, MGC33144

Gene Symbol

MAGEB4

Additional MAGEB4 Products

Product Documents for MAGEB4 Antibody - BSA Free

Certificate of Analysis

To download a Certificate of Analysis, please enter a lot number in the search box below.

Product Specific Notices for MAGEB4 Antibody - BSA Free

This product is for research use only and is not approved for use in humans or in clinical diagnosis. Primary Antibodies are guaranteed for 1 year from date of receipt.

Loading...
Loading...
Loading...
Loading...