Skip to main content

MAGEB2 Antibody - BSA Free

Novus Biologicals, part of Bio-Techne | Catalog # NBP2-62688

Novus Biologicals, part of Bio-Techne
Catalog #
Availability
Size / Price
Qty
Loading...
NBP2-62688-25ul
NBP2-62688

Key Product Details

Validated by

Orthogonal Validation, Independent Antibodies

Species Reactivity

Human

Applications

Immunohistochemistry, Immunohistochemistry-Paraffin

Label

Unconjugated

Antibody Source

Polyclonal Rabbit IgG

Format

BSA Free

Concentration

Concentrations vary lot to lot. See vial label for concentration. If unlisted please contact technical services.

Product Specifications

Immunogen

This antibody was developed against a recombinant protein corresponding to amino acids: RDETRGLNVPQVTEAEEEEAPCCSSSVSGGAASSSPAAGIP

Clonality

Polyclonal

Host

Rabbit

Isotype

IgG

Description

Novus Biologicals Rabbit MAGEB2 Antibody - BSA Free (NBP2-62688) is a polyclonal antibody validated for use in IHC. All Novus Biologicals antibodies are covered by our 100% guarantee.

Scientific Data Images for MAGEB2 Antibody - BSA Free

Immunohistochemistry-Paraffin: MAGEB2 Antibody [NBP2-62688]

Immunohistochemistry-Paraffin: MAGEB2 Antibody [NBP2-62688]

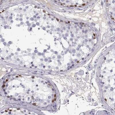
Immunohistochemistry-Paraffin: MAGEB2 Antibody [NBP2-62688] - Analysis in human testis and endometrium tissues using Anti-MAGEB2 antibody. Corresponding MAGEB2 RNA-seq data are presented for the same tissues.
Immunohistochemistry-Paraffin: MAGEB2 Antibody [NBP2-62688]

Immunohistochemistry-Paraffin: MAGEB2 Antibody [NBP2-62688]

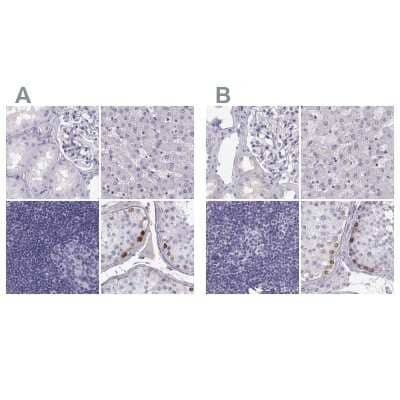
Immunohistochemistry-Paraffin: MAGEB2 Antibody [NBP2-62688] - Staining of human kidney, liver, lymph node and testis using Anti-MAGEB2 antibody NBP2-62688 (A) shows similar protein distribution across tissues to independent antibody NBP2-62697 (B).
Immunohistochemistry-Paraffin: MAGEB2 Antibody [NBP2-62688]

Immunohistochemistry-Paraffin: MAGEB2 Antibody [NBP2-62688]

Immunohistochemistry-Paraffin: MAGEB2 Antibody [NBP2-62688] - Staining of human liver.

Applications for MAGEB2 Antibody - BSA Free

Application
Recommended Usage

Immunohistochemistry

1:500 - 1:1000

Immunohistochemistry-Paraffin

1:500 - 1:1000
Application Notes
For IHC-Paraffin, HIER pH 6 retrieval is recommended.

Formulation, Preparation, and Storage

Purification

Affinity purified

Formulation

PBS (pH 7.2) and 40% Glycerol

Format

BSA Free

Preservative

0.02% Sodium Azide

Concentration

Concentrations vary lot to lot. See vial label for concentration. If unlisted please contact technical services.

Shipping

The product is shipped with polar packs. Upon receipt, store it immediately at the temperature recommended below.

Stability & Storage

Store at 4C short term. Aliquot and store at -20C long term. Avoid freeze-thaw cycles.

Background: MAGEB2

MAGEB2 is a member of the MAGEB gene family. The members of this family have their entire coding sequences located in the last exon, and the encoded proteins show 50 to 68% sequence identity to each other. The promoters and first exons of the MAGEB genes show considerable variability, suggesting that the existence of this gene family enables the same function to be expressed under different transcriptional controls. This gene is localized in the DSS (dosage-sensitive sex reversal) critical region. It is expressed in testis and placenta, and in a significant fraction of tumors of various histological types. The MAGEB genes are clustered on chromosome Xp22-p21. [provided by RefSeq]

Alternate Names

Cancer/testis antigen 3.2, cancer/testis antigen family 3, member 2, CT3.2MAGE-B2 antigen, DAM6MAGE XP-2 antigen, DSS/AHC critical interval MAGE superfamily 6, DSS-AHC critical interval MAGE superfamily 6, MAGE-XP-2, melanoma antigen family B, 2, melanoma-associated antigen B2, MGC26438

Gene Symbol

MAGEB2

Additional MAGEB2 Products

Product Documents for MAGEB2 Antibody - BSA Free

Certificate of Analysis

To download a Certificate of Analysis, please enter a lot number in the search box below.

Product Specific Notices for MAGEB2 Antibody - BSA Free

This product is for research use only and is not approved for use in humans or in clinical diagnosis. Primary Antibodies are guaranteed for 1 year from date of receipt.

Loading...
Loading...
Loading...
Loading...