Skip to main content

MAGEB1 Antibody (OTI4E12) - Azide and BSA Free

Novus Biologicals, part of Bio-Techne | Catalog # NBP2-72573

Novus Biologicals, part of Bio-Techne
Catalog #
Availability
Size / Price
Qty
Loading...
NBP2-72573
Conjugate
Catalog #

Key Product Details

Species Reactivity

Human, Mouse, Canine

Applications

Immunohistochemistry, Immunohistochemistry-Paraffin, Western Blot

Label

Unconjugated

Antibody Source

Monoclonal Mouse IgG1 Clone # OTI4E12

Format

Azide and BSA Free

Concentration

LYOPH mg/ml

Product Specifications

Immunogen

Full length human recombinant protein of human MAGEB1 (NP_796379) produced in E.coli.

Reactivity Notes

Please note that this antibody is reactive to Mouse and derived from the same host, Mouse. Mouse-On-Mouse blocking reagent may be needed for IHC and ICC experiments to reduce high background signal. You can find these reagents under catalog numbers PK-2200-NB and MP-2400-NB. Please contact Technical Support if you have any questions.

Clonality

Monoclonal

Host

Mouse

Isotype

IgG1

Theoretical MW

38.9 kDa.
Disclaimer note: The observed molecular weight of the protein may vary from the listed predicted molecular weight due to post translational modifications, post translation cleavages, relative charges, and other experimental factors.

Scientific Data Images for MAGEB1 Antibody (OTI4E12) - Azide and BSA Free

Western Blot: MAGEB1 Antibody (OTI4E12)Azide and BSA Free [NBP2-72573]

Western Blot: MAGEB1 Antibody (OTI4E12)Azide and BSA Free [NBP2-72573]

Western Blot: MAGEB1 Antibody (OTI4E12) - Azide and BSA Free [NBP2-72573] - Analysis of HEK293T cells were transfected with the pCMV6-ENTRY control (Left lane) or pCMV6-ENTRY MAGEB1.
Western Blot: MAGEB1 Antibody (OTI4E12)Azide and BSA Free [NBP2-72573]

Western Blot: MAGEB1 Antibody (OTI4E12)Azide and BSA Free [NBP2-72573]

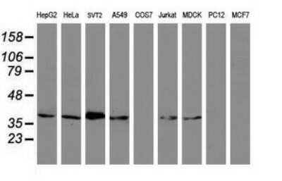
Western Blot: MAGEB1 Antibody (OTI4E12) - Azide and BSA Free [NBP2-72573] - Analysis of extracts (35ug) from 9 different cell lines (HepG2: human; HeLa: human; SVT2: mouse; A549: human; COS7: monkey; Jurkat: human; MDCK: canine; PC12: rat; MCF7: human).

Applications for MAGEB1 Antibody (OTI4E12) - Azide and BSA Free

Application
Recommended Usage

Immunohistochemistry

1:100

Western Blot

1:2000

Formulation, Preparation, and Storage

Purification

Immunogen affinity purified

Reconstitution

we recommend adding 100uL distilled water to a final antibody concentration of about 1 mg/mL. To use this carrier-free antibody for conjugation experiment, we strongly recommend performing another round of desalting process.

Formulation

Lyophilized from PBS (pH 7.3) with 8% Trehalose

Format

Azide and BSA Free

Preservative

No Preservative

Concentration

LYOPH mg/ml

Shipping

The product is shipped with polar packs. Upon receipt, store it immediately at the temperature recommended below.

Stability & Storage

Store at -20C. Avoid freeze-thaw cycles.

Background: MAGEB1

MAGEB1 is a member of the MAGEB gene family. The members of this family have their entire coding sequences located in the last exon, and the encoded proteins show 50 to 68% sequence identity to each other. The promoters and first exons of the MAGEB genes show considerable variability, suggesting that the existence of this gene family enables the same function to be expressed under different transcriptional controls. This gene is localized in the DSS (dosage-sensitive sex reversal) critical region, and expressed in testis and in a significant fraction of tumors of various histological types. This gene and other MAGEB members are clustered on chromosome Xp22-p21. Multiple alternatively spliced transcript variants encoding the same protein have been found for this gene, however, the full length nature of some variants has not been defined. [provided by RefSeq]

Alternate Names

Cancer/testis antigen 3.1, CT3.1cancer/testis antigen family 3, member 1, DAM10MAGE-B1 antigen, DSS/AHC critical interval MAGE superfamily 10, DSS-AHC critical interval MAGE superfamily 10, MAGEL1MAGE-XP antigen, MAGEXP, MAGE-Xp, melanoma antigen family B, 1, melanoma-associated antigen B1, MGC9322

Gene Symbol

MAGEB1

Additional MAGEB1 Products

Product Documents for MAGEB1 Antibody (OTI4E12) - Azide and BSA Free

Certificate of Analysis

To download a Certificate of Analysis, please enter a lot number in the search box below.

Product Specific Notices for MAGEB1 Antibody (OTI4E12) - Azide and BSA Free

This product is for research use only and is not approved for use in humans or in clinical diagnosis. Primary Antibodies are guaranteed for 1 year from date of receipt.

Loading...
Loading...
Loading...
Loading...
Loading...