Skip to main content

MAGEA4 Antibody

Novus Biologicals, part of Bio-Techne | Catalog # NBP2-17204

Novus Biologicals, part of Bio-Techne
Catalog #
Availability
Size / Price
Qty
Loading...
NBP2-17204

Key Product Details

Species Reactivity

Validated:

Human

Predicted:

Rhesus Macaque (93%). Backed by our 100% Guarantee.

Applications

Immunohistochemistry, Immunohistochemistry-Paraffin, Western Blot, Immunocytochemistry/ Immunofluorescence

Label

Unconjugated

Antibody Source

Polyclonal Rabbit IgG

Concentration

Concentrations vary lot to lot. See vial label for concentration. If unlisted please contact technical services.

Product Specifications

Immunogen

Recombinant protein encompassing a sequence within the center region of human MAGEA4. The exact sequence is proprietary.

Clonality

Polyclonal

Host

Rabbit

Isotype

IgG

Theoretical MW

35 kDa.
Disclaimer note: The observed molecular weight of the protein may vary from the listed predicted molecular weight due to post translational modifications, post translation cleavages, relative charges, and other experimental factors.

Description

Novus Biologicals Rabbit MAGEA4 Antibody (NBP2-17204) is a polyclonal antibody validated for use in IHC, WB and ICC/IF. All Novus Biologicals antibodies are covered by our 100% guarantee.

Scientific Data Images for MAGEA4 Antibody

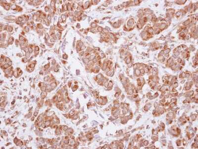
Immunohistochemistry-Paraffin: MAGEA4 Antibody [NBP2-17204]

Immunohistochemistry-Paraffin: MAGEA4 Antibody [NBP2-17204]

Immunohistochemistry-Paraffin: MAGEA4 Antibody [NBP2-17204] - Human breast cancer, using MAGEA4 antibody at 1:500 dilution. Antigen Retrieval: Trilogy™ (EDTA based, pH 8.0) buffer, 15min.
MAGEA4 Antibody

Western Blot: Rabbit Polyclonal MAGEA4 Antibody [NBP2-17204] -

Western Blot: Rabbit Polyclonal MAGEA4 Antibody [NBP2-17204] - Various whole cell extracts (30 ug) were separated by 12% SDS-PAGE, and the membrane was blotted with MAGEA4 antibody diluted at 1:2000. The HRP-conjugated anti-rabbit IgG antibody was used to detect the primary antibody. Corresponding RNA expression data for the same cell lines are based on Human Protein Atlas program.
MAGEA4 Antibody

Immunocytochemistry/ Immunofluorescence: MAGEA4 Antibody [NBP2-17204] -

MAGEA4 antibody detects MAGEA4 protein at cytoplasm by immunofluorescent analysis.
Sample: A375 cells were fixed in 4% paraformaldehyde at RT for 15 min.
Green: MAGEA4 protein stained by MAGEA4 antibody (NBP2-17204) diluted at 1:500.
Blue: Hoechst 33342 staining.
Scale bar = 10 um.

Applications for MAGEA4 Antibody

Application
Recommended Usage

Immunocytochemistry/ Immunofluorescence

1:100-1:1000

Immunohistochemistry

1:100-1:1000

Immunohistochemistry-Paraffin

1:100-1:1000

Western Blot

1:500-1:3000

Formulation, Preparation, and Storage

Purification

Antigen Affinity-purified

Formulation

PBS, 1% BSA, 20% Glycerol

Preservative

0.01% Thimerosal

Concentration

Concentrations vary lot to lot. See vial label for concentration. If unlisted please contact technical services.

Shipping

The product is shipped with polar packs. Upon receipt, store it immediately at the temperature recommended below.

Stability & Storage

Aliquot and store at -20C or -80C. Avoid freeze-thaw cycles.

Background: MAGEA4

This gene is a member of the MAGEA gene family. The members of this family encode proteins with 50 to 80% sequence identity to each other. The promoters and first exons of the MAGEA genes show considerable variability, suggesting that the existence of this gene family enables the same function to be expressed under different transcriptional controls. The MAGEA genes are clustered at chromosomal location Xq28. They have been implicated in some hereditary disorders, such as dyskeratosis congenita. At least four variants encoding the same protein have been found for this gene. [provided by RefSeq]

Long Name

Melanoma-Associated Antigen 4

Alternate Names

CT1.4, MAGE-41, MAGE-X2, MAGE4A, MAGE4B

Gene Symbol

MAGEA4

UniProt

Additional MAGEA4 Products

Product Documents for MAGEA4 Antibody

Certificate of Analysis

To download a Certificate of Analysis, please enter a lot number in the search box below.

Product Specific Notices for MAGEA4 Antibody

This product is for research use only and is not approved for use in humans or in clinical diagnosis. Primary Antibodies are guaranteed for 1 year from date of receipt.

Loading...
Loading...
Loading...
Loading...

⚠ WARNING: This product can expose you to chemicals including mercury, which is known to the State of California to cause reproductive toxicity with developmental effects.  For more information go to www.P65Warnings.ca.gov.