Skip to main content

MAGEA1 Antibody (PD00-50)

Novus Biologicals, part of Bio-Techne | Catalog # NBP3-32559

Recombinant Monoclonal Antibody
Novus Biologicals, part of Bio-Techne
Catalog #
Availability
Size / Price
Qty
Loading...
NBP3-32559

Key Product Details

Species Reactivity

Human

Applications

Immunohistochemistry, Immunohistochemistry-Paraffin, Western Blot

Label

Unconjugated

Antibody Source

Recombinant Monoclonal Rabbit IgG Clone # PD00-50 expressed in HEK293

Concentration

1 mg/ml

Product Specifications

Immunogen

Synthetic peptide. (Uniprot: P43355)

Localization

Cytoplasm, Nucleus.

Clonality

Monoclonal

Host

Rabbit

Isotype

IgG

Theoretical MW

34 kDa.
Disclaimer note: The observed molecular weight of the protein may vary from the listed predicted molecular weight due to post translational modifications, post translation cleavages, relative charges, and other experimental factors.

Description

Novus Biologicals Rabbit MAGEA1 Antibody (PD00-50) (NBP3-32559) is a recombinant monoclonal antibody validated for use in IHC and WB. All Novus Biologicals antibodies are covered by our 100% guarantee.

Scientific Data Images for MAGEA1 Antibody (PD00-50)

MAGEA1 Antibody (PD00-50)

Western Blot: MAGEA1 Antibody (PD00-50) [NBP3-32559]

Western Blot: MAGEA1 Antibody (PD00-50) [NBP3-32559] - Western blot analysis of MAGEA1 on A431 cell lysates with Rabbit anti-MAGEA1 antibody (NBP3-32559) at 1/1,000 dilution.

Lysates/proteins at 20 ug/Lane.

Predicted band size: 34 kDa
Observed band size: 45 kDa

Exposure time: 25 seconds; ECL;

4-20% SDS-PAGE gel.

Proteins were transferred to a PVDF membrane and blocked with 5% NFDM/TBST for 1 hour at room temperature. The primary antibody (NBP3-32559) at 1/1,000 dilution was used in 5% NFDM/TBST at 4 overnight. Goat Anti-Rabbit IgG - HRP Secondary Antibody at 1/50,000 dilution was used for 1 hour at room temperature.
MAGEA1 Antibody (PD00-50)

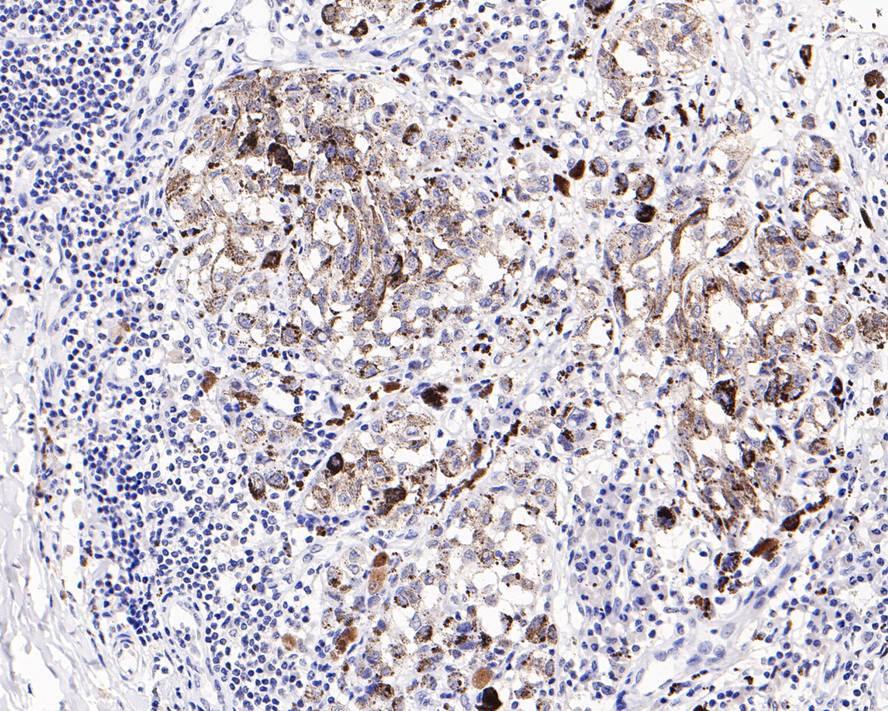
Immunohistochemistry: MAGEA1 Antibody (PD00-50) [NBP3-32559]

Immunohistochemistry: MAGEA1 Antibody (PD00-50) [NBP3-32559] - Immunohistochemical analysis of paraffin-embedded human malignant melanoma tissue with Rabbit anti-MAGEA1 antibody (NBP3-32559) at 1/1,500 dilution.

The section was pre-treated using heat mediated antigen retrieval with sodium citrate buffer (pH 6.0) for 2 minutes. The tissues were blocked in 1% BSA for 20 minutes at room temperature, washed with ddH2O and PBS, and then probed with the primary antibody (NBP3-32559) at 1/1,500 dilution for 1 hour at room temperature. The detection was performed using an HRP conjugated compact polymer system. DAB was used as the chromogen. Tissues were counterstained with hematoxylin and mounted with DPX.

Applications for MAGEA1 Antibody (PD00-50)

Application
Recommended Usage

Immunohistochemistry-Paraffin

1:1500

Western Blot

1:1000

Formulation, Preparation, and Storage

Purification

Protein A purified

Formulation

PBS (pH7.4), 0.1% BSA and 40% Glycerol

Preservative

0.05% Sodium Azide

Concentration

1 mg/ml

Shipping

The product is shipped with polar packs. Upon receipt, store it immediately at the temperature recommended below.

Stability & Storage

Store at 4C short term. Aliquot and store at -20C long term. Avoid freeze-thaw cycles.

Background: MAGEA1

The MAGE 1 gene is a member of the melanoma antigen encoding gene family. These genes encode for HLA-restricted tumor associated rejection antigens recognized by cytotoxic T lymphocytes. Some of these target antigens may be potentially useful for cancer specific immunotherapy. The expression of MAGE genes has been reported not only in melanoma but also in various other malignant tumors such as hepatocellular carcinoma and germ cell tumors.

Long Name

Melanoma-Associated Antigen 1

Alternate Names

CT1.1, MAGE-A1, MAGE1, MGC9326, MZ2-E

Gene Symbol

MAGEA1

Additional MAGEA1 Products

Product Documents for MAGEA1 Antibody (PD00-50)

Certificate of Analysis

To download a Certificate of Analysis, please enter a lot number in the search box below.

Product Specific Notices for MAGEA1 Antibody (PD00-50)

This product is for research use only and is not approved for use in humans or in clinical diagnosis. Primary Antibodies are guaranteed for 1 year from date of receipt.

Loading...
Loading...
Loading...
Loading...