Skip to main content

MafA Antibody

Novus Biologicals, part of Bio-Techne | Catalog # NBP1-00121

Novus Biologicals, part of Bio-Techne
Catalog #
Availability
Size / Price
Qty
Loading...
NBP1-00121

Key Product Details

Species Reactivity

Validated:

Human, Mouse

Cited:

Human, Mouse, Rat

Applications

Validated:

Immunohistochemistry, Immunohistochemistry-Paraffin, Immunohistochemistry-Frozen, Western Blot, Immunocytochemistry/ Immunofluorescence

Cited:

Immunohistochemistry-Frozen, Western Blot, Immunocytochemistry/ Immunofluorescence, IF/IHC

Label

Unconjugated

Antibody Source

Polyclonal Rabbit IgG

Concentration

0.05 mg/ml

Product Specifications

Immunogen

The immunogen recognized by this antibody maps to a region between residue 300 and the C-terminus (residue 359) of mouse v-maf musculoaponeurotic fibrosarcoma oncogene homolog A using the numbering given in entry NP_919331.1 (GeneID 378435).

Reactivity Notes

Human reactivity reported in scientific literature (PMID: 26495868).

Clonality

Polyclonal

Host

Rabbit

Isotype

IgG

Scientific Data Images for MafA Antibody

Immunocytochemistry/ Immunofluorescence: MafA Antibody [NBP1-00121]

Immunocytochemistry/ Immunofluorescence: MafA Antibody [NBP1-00121]

Immunocytochemistry/Immunofluorescence: MafA Antibody [NBP1-00121] - Analysis of MafA in 8-week old mouse pancretic cryosection using anti-MafA antibody (red). Image from verified customer review.
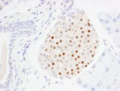
Immunohistochemistry-Paraffin: MafA Antibody [NBP1-00121]

Immunohistochemistry-Paraffin: MafA Antibody [NBP1-00121]

Immunohistochemistry-Paraffin: MafA Antibody [NBP1-00121] - Section of mouse pancreatic islet. Antibody: Affinity purified rabbit anti-MafA (Cat. No. NBP1-00121) used at a dilution of 1:250.
MafA Antibody

Western Blot: MafA Antibody [NBP1-00121] -

Critical beta-cell factors are reduced upon cytokine treatment in mouse and human islets. A-F. Relative mRNA quantification of various beta-cell transcriptional regulator genes (MafA, Pdx1, Nkx6.1, Ldb1, Isl1, and SSBP3, respectively) from primary mouse islets after 4 h culturing with single cytokines (Tnf alpha, Ifn gamma, IL-1 beta) or a cocktail of each, as compared to PBS vehicle controls (set to 1-fold). 36B4 was used as the housekeeping gene; n = 3–4 for each treatment group. G. Left: LDB1, MAFA, NKX6.1, and ISL1 Western blot with Ins-1 cell extracts after 4 h or overnight treatment with single cytokines, or a cocktail, as compared to control. Actin was included as loading control. Right: Densitometry quantification of 4 h or overnight treated LDB1, MAFA, NKX6.1, or ISL1 Western blot protein levels, normalized to Actin. H. Human islets were treated with a DMSO vehicle or a cytokine cocktail,26,27 then mRNA measured. 18S was used as the housekeeping gene; n = 3. I. Quantification of beta-cell mRNAs from primary mouse islets after siRNA-mediated Ldb1 knockdown using Gapdh as the housekeeping gene; n = 3. *, P < .05; **, P < .01; ***, P < .001; ****, P < .0001 based on one-way ANOVA or Student’s t-test. Image collected and cropped by CiteAb from the following open publication (https://pubmed.ncbi.nlm.nih.gov/34968409), licensed under a CC-BY license. Not internally tested by Novus Biologicals.

Applications for MafA Antibody

Application
Recommended Usage

Immunocytochemistry/ Immunofluorescence

Reported in scientific literature (PMID: 28705881), verified customer review

Immunohistochemistry

1:100 - 1:500

Immunohistochemistry-Frozen

Reported in scientific literature (PMID: 31201281)

Immunohistochemistry-Paraffin

1:100-1:500

Western Blot

Reported in scientific literature (PMID: 26495868)
Application Notes
Epitope exposure with citrate bufferexposure is recommended. Epitope exposure with citrate buffer will enhance staining. Likely to work with frozen sections. In some cases, the antibody may be diluted further than indicated.

Reviewed Applications

Read 1 review rated 5 using NBP1-00121 in the following applications:

Formulation, Preparation, and Storage

Purification

Immunogen affinity purified

Formulation

TBS and 0.1% BSA

Preservative

0.09% Sodium Azide

Concentration

0.05 mg/ml

Shipping

The product is shipped with polar packs. Upon receipt, store it immediately at the temperature recommended below.

Stability & Storage

Store at 4C. Do not freeze.

Background: MafA

MafA is a member of the Maf basic leucine-zipper containing transcription factor family. MafA is an islet-enriched protein that plays a role in beta cell-specific and glucose-responsive insulin gene transcription. MafA is expressed exclusively in cell populations that will become islet beta cells. Alternate names for MafA include v-maf musculoaponeurotic fibrosarcoma oncogene homolog A, transcription factor MafA, pancreatic beta-cell-specific transcriptional activator, hMafA, and RIPE3b1.

Alternate Names

hMafA, Pancreatic beta-cell-specific transcriptional activator, RIPE3b1, transcription factor MafA, Transcription factor RIPE3b1, V-maf musculoaponeurotic fibrosarcoma oncogene homolog A, v-maf musculoaponeurotic fibrosarcoma oncogene homolog A (avian)

Entrez Gene IDs

378435 (Mouse)

Gene Symbol

MAFA

Additional MafA Products

Product Documents for MafA Antibody

Certificate of Analysis

To download a Certificate of Analysis, please enter a lot number in the search box below.

Product Specific Notices for MafA Antibody

This product is for research use only and is not approved for use in humans or in clinical diagnosis. Primary Antibodies are guaranteed for 1 year from date of receipt.

Loading...
Loading...
Loading...
Loading...