MACC1 Antibody - BSA Free
Novus Biologicals, part of Bio-Techne | Catalog # NBP2-82006
Conjugate
Catalog #
Key Product Details
Species Reactivity
Human, Mouse, Rat
Applications
Immunohistochemistry, Immunohistochemistry-Paraffin, Western Blot, ELISA, Immunocytochemistry/ Immunofluorescence
Label
Unconjugated
Antibody Source
Polyclonal Rabbit IgG
Format
BSA Free
Concentration
1 mg/ml
Product Specifications
Immunogen
MACC1 antibody was raised against a 17 amino acid synthetic peptide near the center of human MACC1. The immunogen is located within amino acids 430 - 480 of MACC1. Amino Acid Squence: PDFEVKTEGERKEIKQK
Specificity
At least two isoforms of MACC1 are known to exist.
Clonality
Polyclonal
Host
Rabbit
Isotype
IgG
Theoretical MW
90 kDa.
Disclaimer note: The observed molecular weight of the protein may vary from the listed predicted molecular weight due to post translational modifications, post translation cleavages, relative charges, and other experimental factors.
Disclaimer note: The observed molecular weight of the protein may vary from the listed predicted molecular weight due to post translational modifications, post translation cleavages, relative charges, and other experimental factors.
Description
Novus Biologicals Rabbit MACC1 Antibody - BSA Free (NBP2-82006) is a polyclonal antibody validated for use in IHC, WB, ELISA and ICC/IF. All Novus Biologicals antibodies are covered by our 100% guarantee.
Scientific Data Images for MACC1 Antibody - BSA Free
Western Blot: MACC1 AntibodyBSA Free [NBP2-82006]
Western Blot: MACC1 Antibody [NBP2-82006] - Analysis of MACC1 expression in human liver tissue lysate with MACC1 antibody at (A) 1 and (B) 2 ug/ml.Western Blot: MACC1 AntibodyBSA Free [NBP2-82006]
Western Blot: MACC1 Antibody [NBP2-82006] - Analysis of MACC1 in mouse liver tssue lysate with MACC1 Antibody at (A) 1 and (B) 2 ug/ml.Immunohistochemistry: MACC1 Antibody - BSA Free [NBP2-82006] -
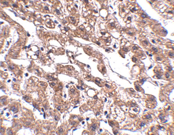
Immunohistochemistry: MACC1 Antibody - BSA Free [NBP2-82006] - Immunohistochemistry of MACC1 in human liver tissue with MACC1 antibody at 2.5 u/mL.Applications for MACC1 Antibody - BSA Free
Application
Recommended Usage
Immunocytochemistry/ Immunofluorescence
20 ug/ml
Immunohistochemistry
2.5 ug/ml
Western Blot
1-2 ug/ml
Formulation, Preparation, and Storage
Purification
Peptide affinity purified
Formulation
PBS
Format
BSA Free
Preservative
0.02% Sodium Azide
Concentration
1 mg/ml
Shipping
The product is shipped with polar packs. Upon receipt, store it immediately at the temperature recommended below.
Stability & Storage
Store at 4C.
Background: MACC1
Alternate Names
metastasis associated in colon cancer 1, SH3 domain-containing protein 7a5,7A5
Gene Symbol
MACC1
Additional MACC1 Products
Product Documents for MACC1 Antibody - BSA Free
Product Specific Notices for MACC1 Antibody - BSA Free
This product is for research use only and is not approved for use in humans or in clinical diagnosis. Primary Antibodies are guaranteed for 1 year from date of receipt.
Loading...
Loading...
Loading...
Loading...