Skip to main content

MAATS1 Antibody - BSA Free

Novus Biologicals, part of Bio-Techne | Catalog # NBP3-17106

Novus Biologicals, part of Bio-Techne
Catalog #
Availability
Size / Price
Qty
Loading...
NBP3-17106-100ul
NBP3-17106-25ul

Key Product Details

Species Reactivity

Human

Applications

Immunohistochemistry, Immunohistochemistry-Paraffin

Label

Unconjugated

Antibody Source

Polyclonal Rabbit IgG

Format

BSA Free

Concentration

Concentrations vary lot to lot. See vial label for concentration. If unlisted please contact technical services.

Product Specifications

Immunogen

This antibody was developed against Recombinant Protein corresponding to amino acids: DFLSKELVRLQEERRIHAFVMLAERQRRVREAEESGRRQVEKQRLREEDEIFKEVVKVHHSTISSYLEDIILNTEANT

Clonality

Polyclonal

Host

Rabbit

Isotype

IgG

Description

Novus Biologicals Rabbit MAATS1 Antibody - BSA Free (NBP3-17106) is a polyclonal antibody validated for use in IHC. All Novus Biologicals antibodies are covered by our 100% guarantee.

Scientific Data Images for MAATS1 Antibody - BSA Free

Immunohistochemistry-Paraffin: MAATS1 Antibody [NBP3-17106]

Immunohistochemistry-Paraffin: MAATS1 Antibody [NBP3-17106]

Immunohistochemistry-Paraffin: MAATS1 Antibody [NBP3-17106] - Staining of human liver shows low expression as expected.
Immunohistochemistry-Paraffin: MAATS1 Antibody [NBP3-17106]

Immunohistochemistry-Paraffin: MAATS1 Antibody [NBP3-17106]

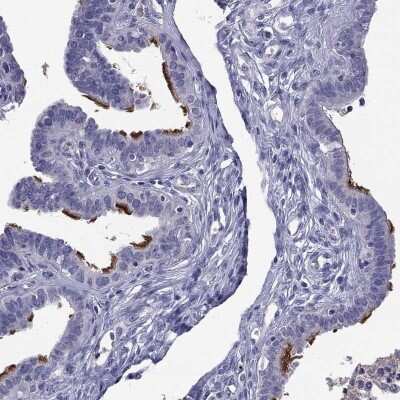
Immunohistochemistry-Paraffin: MAATS1 Antibody [NBP3-17106] - Staining of human fallopian tube shows high expression.
Immunohistochemistry-Paraffin: MAATS1 Antibody [NBP3-17106]

Immunohistochemistry-Paraffin: MAATS1 Antibody [NBP3-17106]

Immunohistochemistry-Paraffin: MAATS1 Antibody [NBP3-17106] - Analysis in human fallopian tube and liver tissues using Anti-MAATS1 antibody. Corresponding MAATS1 RNA-seq data are presented for the same tissues.

Applications for MAATS1 Antibody - BSA Free

Application
Recommended Usage

Immunohistochemistry

1:50 - 1:200

Immunohistochemistry-Paraffin

1:50 - 1:200
Application Notes
For IHC-Paraffin, HIER pH 6 retrieval is recommended.

Formulation, Preparation, and Storage

Purification

Affinity purified

Formulation

PBS (pH 7.2) and 40% Glycerol

Format

BSA Free

Preservative

0.02% Sodium Azide

Concentration

Concentrations vary lot to lot. See vial label for concentration. If unlisted please contact technical services.

Shipping

The product is shipped with polar packs. Upon receipt, store it immediately at the temperature recommended below.

Stability & Storage

Store at 4C short term. Aliquot and store at -20C long term. Avoid freeze-thaw cycles.

Background: MAATS1

Isoform 4 may play a role in spermatogenesis

Alternate Names

AAT1, AAT-1, AAT1alpha, AAT1-alpha, AAT1DKFZp781A2221, AMY-1-associating protein expressed in testis 1, C3orf15, chromosome 3 open reading frame 15, MYCBP/AMY-1-associated, testis expressed 1, MYCBP-binding protein, SPATA26

Gene Symbol

CFAP91

Additional MAATS1 Products

Product Documents for MAATS1 Antibody - BSA Free

Certificate of Analysis

To download a Certificate of Analysis, please enter a lot number in the search box below.

Product Specific Notices for MAATS1 Antibody - BSA Free

This product is for research use only and is not approved for use in humans or in clinical diagnosis. Primary Antibodies are guaranteed for 1 year from date of receipt.

Loading...
Loading...
Loading...
Loading...